Sign in
Sign up
home
>
Invitrogen
> Invitrogen Cttn antibody
Cortactin Polyclonal Antibody
Invitrogen
catalog: PA1-9030
domestic goat polyclonal
reactivity:
human
,
mouse
,
rat
application:
western blot
citations: 1
quantity: 100 ug
price: US 464.00
to the supplier
Cortactin Polyclonal Antibody
Invitrogen
catalog: PA5-27134
domestic rabbit polyclonal
reactivity:
human
,
mouse
,
rat
application:
western blot
,
immunohistochemistry
,
immunocytochemistry
,
flow cytometry
,
immunohistochemistry - paraffin section
citations: 1
Western Blot analysis using anti-Cortactin Polyclonal Antibody on the following cells: (30 ug of whole cell lysate) A: NIH-3T3 B: JC. Primary antibody (PA5-27134) diluted at 1:1000
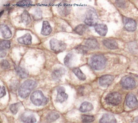
Immunohistochemical analysis of paraffin-embedded Breast ca using Cortactin (PA5-27134) antibody at 1:250 dilution.
Western Blot analysis of Cortactin using anti-Cortactin Polyclonal Antibody (PA5-27134), in Hep G2 Cell Lysate (30 ug of cell lysate) and at a dilution of 1:1000.
quantity: 100 uL
price: US 514.00
to the supplier
Cortactin Polyclonal Antibody
Invitrogen
catalog: PA5-29799
domestic rabbit polyclonal
reactivity:
human
,
mouse
,
rat
application:
western blot
,
immunohistochemistry
,
immunocytochemistry
,
immunohistochemistry - paraffin section
citations: 1
Immunofluorescence analysis of methanol-fixed HeLa cells using Cortactin (PA5-29799) antibody at 1:200 dilution.
Immunohistochemical analysis of paraffin-embedded Cal27 xenograft using Cortactin (PA5-29799) antibody at 1:100 dilution.
Western Blot analysis of Cortactin using anti-Cortactin Polyclonal Antibody (PA5-29799), in H1299 Cell Lysate (30 ug of cell lysate) and at a dilution of 1:10000.
quantity: 100 uL
price: US 514.00
to the supplier
Cortactin Polyclonal Antibody
Invitrogen
catalog: PA5-17730
domestic rabbit polyclonal
reactivity:
human
,
mouse
,
rat
application:
western blot
,
immunohistochemistry
,
immunohistochemistry - paraffin section
quantity: 100 uL
price: US 404.00
to the supplier
Cortactin Recombinant Rabbit Monoclonal Antibody (SC61-08)
Invitrogen
catalog: MA5-32250
domestic rabbit recombinant (SC61-08)
reactivity:
human
,
mouse
,
rat
application:
western blot
,
immunohistochemistry
,
immunocytochemistry
,
flow cytometry
,
immunohistochemistry - paraffin section
quantity: 100 uL
price: US 464.00
to the supplier
Cortactin Polyclonal Antibody
Invitrogen
catalog: PA5-86614
domestic rabbit polyclonal
reactivity:
human
,
mouse
,
rat
application:
immunohistochemistry
,
immunohistochemistry - paraffin section
quantity: 100 uL
price: US 464.00
to the supplier
Cortactin Polyclonal Antibody
Invitrogen
catalog: PA5-86615
domestic rabbit polyclonal
reactivity:
human
,
mouse
,
rat
application:
western blot
,
immunohistochemistry
,
immunocytochemistry
,
immunohistochemistry - paraffin section
quantity: 100 uL
price: US 464.00
to the supplier
Cortactin Recombinant Rabbit Monoclonal Antibody (ARC1613)
Invitrogen
catalog: MA5-35798
domestic rabbit recombinant (ARC1613)
reactivity:
human
,
mouse
,
rat
application:
western blot
,
ELISA
,
immunohistochemistry
,
immunocytochemistry
,
immunoprecipitation
,
immunohistochemistry - paraffin section
quantity: 100 uL
price: US 474.00
to the supplier
Cortactin Polyclonal Antibody
Invitrogen
catalog: PA5-120325
domestic rabbit polyclonal
reactivity:
human
,
mouse
,
rat
application:
western blot
,
ELISA
,
immunohistochemistry
,
immunohistochemistry - paraffin section
quantity: 100 uL
price: US 460.00
to the supplier
Cortactin Recombinant Rabbit Monoclonal Antibody (23GB5130)
Invitrogen
catalog: MA5-52798
domestic rabbit recombinant (23GB5130)
reactivity:
human
,
mouse
,
rat
application:
western blot
,
flow cytometry
quantity: 100 uL
price: US 429.00
to the supplier
Cortactin Recombinant Rabbit Monoclonal Antibody (23GB5130)
Invitrogen
catalog: MA5-52799
domestic rabbit recombinant (23GB5130)
reactivity:
human
,
mouse
,
rat
application:
western blot
,
flow cytometry
quantity: 20 uL
price: US 179.00
to the supplier