Sign in
Sign up
home
>
Invitrogen
> Invitrogen IKKbeta antibody
Phospho-IKK alpha/beta (Ser176, Ser177) Monoclonal Antibody (J.10.3)
Invitrogen
catalog: MA5-14857
domestic rabbit monoclonal (J.10.3)
reactivity:
human
,
mouse
modification: phosphorylated
application:
western blot
citations: 2
quantity: 100 uL
price: US 464.00
to the supplier
IKK beta Monoclonal Antibody (10AG2)
Invitrogen
catalog: MA5-16154
mouse monoclonal (10AG2)
reactivity:
human
,
mouse
,
rat
application:
western blot
,
immunohistochemistry
,
immunocytochemistry
,
immunoprecipitation
,
flow cytometry
,
immunohistochemistry - paraffin section
citations: 2
quantity: 100 ug
price: US 480.00
to the supplier
Phospho-IKK alpha/beta (Ser176, Ser180) Recombinant Superclonal Antibody (7HCLC ...
Invitrogen
catalog: 710676
domestic rabbit monoclonal (7HCLC)
reactivity:
human
application:
immunocytochemistry
citations: 2
quantity: 100 ug
price: US 500.00
to the supplier
IKK beta Monoclonal Antibody (10A9B6)
Invitrogen
catalog: MA5-16162
mouse monoclonal (10A9B6)
reactivity:
human
,
mouse
application:
western blot
,
immunohistochemistry
,
immunocytochemistry
,
immunoprecipitation
,
flow cytometry
,
immunohistochemistry - frozen section
citations: 1
quantity: 100 ug
price: US 474.00
to the supplier
Phospho-IKK beta (Tyr188) Polyclonal Antibody
Invitrogen
catalog: PA5-36653
domestic rabbit polyclonal
reactivity:
human
,
mouse
,
rat
application:
western blot
,
immunohistochemistry
,
immunohistochemistry - paraffin section
citations: 1
quantity: 100 uL
price: US 464.00
to the supplier
IKK beta Monoclonal Antibody (J.414.5)
Invitrogen
catalog: MA5-15080
domestic rabbit monoclonal (J.414.5)
reactivity:
human
,
mouse
,
rat
application:
western blot
A549 cells were lysed 72 hours after transfection. Cells were transfected with Transfection Reagent alone (Lane 1), 100nM ON-TARGETplus siCONTROL Non-Targeting Pool (Lane 2), or 100nM ON-TARGETplus IKBKB siRNA (Lane 3). Western blot data for GAPDH is included as a control for equal protein loading.
quantity: 100 uL
price: US 524.00
to the supplier
Phospho-IKK alpha/beta (Ser176, Ser180) Polyclonal Antibody
Invitrogen
catalog: PA5-17593
domestic rabbit polyclonal
reactivity:
human
,
mouse
,
rat
modification: phosphorylated
application:
western blot
quantity: 100 uL
price: US 464.00
to the supplier
IKK beta Polyclonal Antibody
Invitrogen
catalog: PA5-17804
domestic rabbit polyclonal
reactivity:
human
application:
western blot
quantity: 100 uL
price: US 404.00
to the supplier
IKK beta Monoclonal Antibody (10A2)
Invitrogen
catalog: MA5-15319
mouse monoclonal (10A2)
reactivity:
human
application:
western blot
,
ELISA
quantity: 100 uL
price: US 491.00
to the supplier
IKK beta Monoclonal Antibody (10A2C5B3)
Invitrogen
catalog: MA5-15320
mouse monoclonal (10A2C5B3)
reactivity:
human
application:
western blot
,
ELISA
,
immunohistochemistry
,
immunohistochemistry - paraffin section
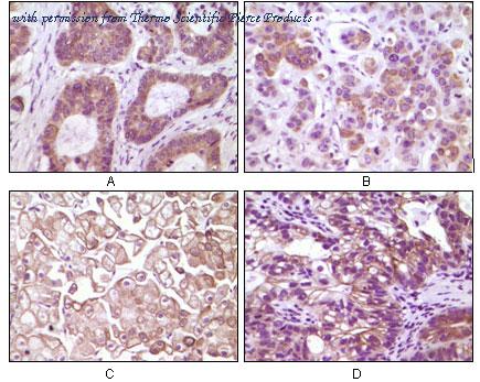
Immunohistochemical analysis of paraffin-embedded human colon carcinoma(A), breast carcinoma(B), kidney cell carcinoma(C), bladder carcinoma tumor(D), showing membrane and cytoplasmic localization using IKBKB antibody with DAB staining.
quantity: 100 uL
price: US 491.00
to the supplier
IKK beta Polyclonal Antibody
Invitrogen
catalog: PA5-19916
domestic rabbit polyclonal
reactivity:
human
application:
western blot
,
immunocytochemistry
quantity: 100 ug
price: US 464.00
to the supplier
IKK beta Polyclonal Antibody
Invitrogen
catalog: PA5-21683
domestic rabbit polyclonal
reactivity:
human
,
mouse
,
rat
application:
western blot
,
immunohistochemistry
,
immunocytochemistry
,
immunohistochemistry - paraffin section
Immunofluorescence analysis of paraformaldehyde-fixed A431 cells using PA5-21683 anti-IKK beta antibody at 1:200 dilution.
Immunohistochemical analysis of paraffin-embedded Colon ca tissue using PA5-21683 anti-IKK beta antibody at 1:500 dilution.
quantity: 100 uL
price: US 474.00
to the supplier
Phospho-IKK alpha/beta (Ser176, Ser180) Recombinant Rabbit Monoclonal Antibody ( ...
Invitrogen
catalog: 701643
domestic rabbit recombinant (7H17L17)
reactivity:
human
application:
immunocytochemistry
quantity: 100 ug
price: US 520.00
to the supplier
Phospho-IKK alpha/beta (Ser180, Ser181) Polyclonal Antibody
Invitrogen
catalog: PA5-36718
domestic rabbit polyclonal
reactivity:
human
,
mouse
,
rat
application:
western blot
,
immunohistochemistry
,
immunohistochemistry - paraffin section
quantity: 100 uL
price: US 464.00
to the supplier
IKK beta Polyclonal Antibody
Invitrogen
catalog: PA5-79456
domestic rabbit polyclonal
reactivity:
human
application:
western blot
,
immunohistochemistry
,
immunocytochemistry
,
flow cytometry
,
immunohistochemistry - paraffin section
quantity: 100 ug
price: US 404.00
to the supplier
IKK alpha/beta Recombinant Rabbit Monoclonal Antibody (SN63-02)
Invitrogen
catalog: MA5-32274
domestic rabbit recombinant (SN63-02)
reactivity:
human
,
mouse
,
rat
application:
western blot
,
immunocytochemistry
quantity: 100 uL
price: US 474.00
to the supplier
IKK beta Polyclonal Antibody
Invitrogen
catalog: PA5-81927
domestic rabbit polyclonal
reactivity:
human
application:
western blot
,
immunohistochemistry
,
immunocytochemistry
,
immunohistochemistry - paraffin section
quantity: 100 uL
price: US 514.00
to the supplier
IKK beta Polyclonal Antibody
Invitrogen
catalog: PA5-85246
domestic rabbit polyclonal
reactivity:
human
application:
western blot
,
immunohistochemistry
,
immunocytochemistry
,
immunoprecipitation
,
immunohistochemistry - paraffin section
quantity: 100 uL
price: US 464.00
to the supplier
IKK beta Polyclonal Antibody
Invitrogen
catalog: PA5-86059
domestic rabbit polyclonal
reactivity:
human
,
mouse
,
rat
application:
western blot
,
immunohistochemistry
,
immunocytochemistry
,
flow cytometry
,
immunohistochemistry - paraffin section
quantity: 100 uL
price: US 464.00
to the supplier
IKK beta Polyclonal Antibody
Invitrogen
catalog: PA5-86228
domestic rabbit polyclonal
reactivity:
human
,
mouse
,
rat
application:
immunohistochemistry
,
immunohistochemistry - paraffin section
quantity: 100 uL
price: US 464.00
to the supplier
IKK beta Polyclonal Antibody
Invitrogen
catalog: PA5-86283
domestic rabbit polyclonal
reactivity:
human
,
mouse
,
rat
application:
immunohistochemistry
,
immunohistochemistry - paraffin section
quantity: 100 uL
price: US 464.00
to the supplier
IKK beta Polyclonal Antibody
Invitrogen
catalog: PA5-95113
domestic rabbit polyclonal
reactivity:
human
,
mouse
,
rat
application:
western blot
quantity: 100 ug
price: US 464.00
to the supplier
IKK beta Polyclonal Antibody
Invitrogen
catalog: PA5-87491
domestic rabbit polyclonal
reactivity:
human
application:
western blot
,
ELISA
quantity: 100 uL
price: US 464.00
to the supplier
Phospho-IKK beta (Tyr188) Polyclonal Antibody
Invitrogen
catalog: PA5-104693
domestic rabbit polyclonal
reactivity:
human
,
mouse
,
rat
application:
western blot
,
immunohistochemistry
,
immunocytochemistry
,
immunohistochemistry - paraffin section
quantity: 100 uL
price: US 414.00
to the supplier
Phospho-IKK beta (Tyr199) Polyclonal Antibody
Invitrogen
catalog: PA5-104694
domestic rabbit polyclonal
reactivity:
human
,
mouse
,
rat
application:
western blot
,
immunohistochemistry
,
immunocytochemistry
,
immunohistochemistry - paraffin section
quantity: 100 uL
price: US 470.00
to the supplier
Phospho-IKK alpha/beta (Ser180, Ser181) Polyclonal Antibody
Invitrogen
catalog: PA5-104696
domestic rabbit polyclonal
reactivity:
human
,
mouse
,
rat
application:
western blot
,
immunohistochemistry
,
immunocytochemistry
,
immunohistochemistry - paraffin section
quantity: 100 uL
price: US 450.00
to the supplier
Phospho-IKK alpha/beta (Ser176, Ser177) Polyclonal Antibody
Invitrogen
catalog: PA5-104697
domestic rabbit polyclonal
reactivity:
human
,
mouse
,
rat
application:
western blot
,
immunohistochemistry
,
immunocytochemistry
,
immunohistochemistry - paraffin section
quantity: 100 uL
price: US 414.00
to the supplier
IKK alpha/beta Polyclonal Antibody
Invitrogen
catalog: PA5-105292
domestic rabbit polyclonal
reactivity:
human
,
mouse
,
rat
application:
western blot
,
immunohistochemistry
,
immunocytochemistry
,
immunohistochemistry - paraffin section
quantity: 100 uL
price: US 454.00
to the supplier
IKK alpha/beta Polyclonal Antibody
Invitrogen
catalog: PA5-99496
domestic rabbit polyclonal
reactivity:
human
,
mouse
,
rat
application:
western blot
,
immunohistochemistry
,
immunocytochemistry
,
immunohistochemistry - paraffin section
quantity: 100 uL
price: US 464.00
to the supplier
IKK beta Monoclonal Antibody (GT685)
Invitrogen
catalog: MA5-38263
mouse monoclonal (GT685)
reactivity:
human
application:
western blot
,
immunohistochemistry
,
flow cytometry
,
immunohistochemistry - paraffin section
quantity: 100 uL
price: US 474.00
to the supplier
IKK beta Recombinant Rabbit Monoclonal Antibody (3E1)
Invitrogen
catalog: MA5-38332
domestic rabbit recombinant (3.00E+01)
reactivity:
human
application:
western blot
,
immunohistochemistry
,
immunocytochemistry
,
immunohistochemistry - paraffin section
quantity: 100 uL
price: US 530.00
to the supplier
IKK beta Recombinant Rabbit Monoclonal Antibody (5D12)
Invitrogen
catalog: MA5-49817
domestic rabbit recombinant (5D12)
reactivity:
human
application:
western blot
,
ELISA
quantity: 100 uL
price: US 414.00
to the supplier
Phospho-IKK alpha/beta (Ser176, Ser180) Polyclonal Antibody
Invitrogen
catalog: PA5-114586
domestic rabbit polyclonal
reactivity:
human
,
mouse
,
rat
application:
western blot
quantity: 100 uL
price: US 464.00
to the supplier
IKK beta Polyclonal Antibody
Invitrogen
catalog: PA5-120783
domestic rabbit polyclonal
reactivity:
human
,
mouse
,
rat
application:
western blot
,
ELISA
,
immunohistochemistry
,
immunocytochemistry
,
immunohistochemistry - paraffin section
quantity: 100 uL
price: US 460.00
to the supplier
Phospho-IKK alpha/beta (Ser176, Ser180) Polyclonal Antibody
Invitrogen
catalog: PA5-121313
domestic rabbit polyclonal
reactivity:
human
application:
western blot
,
ELISA
quantity: 100 uL
price: US 460.00
to the supplier