Sign in
Sign up
home
>
Invitrogen
> Invitrogen EGF antibody
EGF Monoclonal Antibody (4E11)
Invitrogen
catalog: MA5-15606
mouse monoclonal (4.00E+11)
reactivity:
human
,
mouse
application:
western blot
,
ELISA
,
immunocytochemistry
citations: 2
Immunofluorescence analysis of NIH-3T3 cells using EGF antibody (green). Blue: DRAQ5 fluorescent DNA dye. Red: Actin filaments have been labeled with Alexa Fluor-555 phalloidin.
quantity: 100 uL
price: US 504.00
to the supplier
EGF Monoclonal Antibody (1H11)
Invitrogen
catalog: M805
mouse monoclonal (1H11)
reactivity:
human
application:
western blot
,
ELISA
,
immunocytochemistry
citations: 1
Immunofluorescent analysis of EGF (green) in HeLa cells either left untreated (left panel) or treated with 10ng/ml EGF (right panel) for 5 minutes. Formalin fixed cells were permeabilized with 0.1% Triton X-100 in TBS for 10 minutes at room temperature and blocked with 1% Blocker BSA (Product # 37525) for 15 minutes at room temperature. Cells were probed with an EGF monoclonal antibody (Product # M805) at a dilution of 1:50 for at least 1 hour at room temperature, washed with PBS, and incubated with DyLight 488 goat anti-mouse IgG secondary antibody (Product # 35502) at a dilution of 1:400 for 30 minutes at room temperature. F-Actin (red) was stained with DyLight 554 Phalloidin (Product # 21834) and nuclei (blue) were stained with Hoechst 33342 dye (Product # 62249). Images were taken on a Thermo Scientific ArrayScan at 20X magnification.
Western blot analysis of Human EGF was performed by loading 2 µg of recombinant human EGF (Lane 1) or supernatant from an EGF expression clone transfected in 293T cells onto a 4-20% Tris-HCl polyacrylamide gel. Proteins were transferred to a PVDF membrane and blocked with 5% Milk/TBST for at least 1 hour. Membranes were probed with an EGF monoclonal antibody recognizing Human EGF (Product # M805) at a dilution of 1:5000 overnight at 4°C on a rocking platform. Membranes were washed in TBS-0.1%Tween 20 and probed with a goat anti-rabbit-HRP secondary antibody (Product # 31430) at a dilution of 1:10,000 for at least one hour. Membranes were washed and chemiluminescent detection performed using Super Signal West Dura (Product # 34075).
quantity: 200 ug
price: US 440.00
to the supplier
EGF Recombinant Rabbit Monoclonal Antibody (3H11L6)
Invitrogen
catalog: 701538
domestic rabbit recombinant (3H11L6)
reactivity:
human
application:
ELISA
,
immunocytochemistry
citations: 1
quantity: 100 ug
price: US 471.00
to the supplier
EGF Polyclonal Antibody
Invitrogen
catalog: PA5-96195
domestic rabbit polyclonal
reactivity:
human
,
mouse
application:
western blot
,
ELISA
,
dot blot
citations: 1
quantity: 100 uL
price: US 464.00
to the supplier
EGF Polyclonal Antibody, PeproTech
Invitrogen
catalog: 500-P45-100UG
domestic rabbit polyclonal
reactivity:
human
application:
western blot
,
ELISA
citations: 1
quantity: 100 ug
price: US 304.00
to the supplier
EGF Polyclonal Antibody, PeproTech
Invitrogen
catalog: 500-P45-1MG
domestic rabbit polyclonal
reactivity:
human
application:
western blot
,
ELISA
citations: 1
quantity: 1 mg
price: US 2070.00
to the supplier
EGF Polyclonal Antibody, PeproTech
Invitrogen
catalog: 500-P45-50UG
domestic rabbit polyclonal
reactivity:
human
application:
western blot
,
ELISA
citations: 1
quantity: 50 ug
price: US 238.00
to the supplier
EGF Monoclonal Antibody (S-177)
Invitrogen
catalog: MA1-21367
mouse monoclonal (S-177)
reactivity:
human
application:
ELISA
quantity: 250 ug
price: US 484.00
to the supplier
EGF Monoclonal Antibody (KT2)
Invitrogen
catalog: MA1-72503
mouse monoclonal (KT2)
reactivity:
human
application:
western blot
,
ELISA
quantity: 100 ug
price: US 414.00
to the supplier
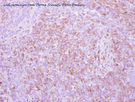
EGF Monoclonal Antibody (9D7F11)
Invitrogen
catalog: MA5-15571
mouse monoclonal (9D7F11)
reactivity:
human
application:
western blot
,
ELISA
,
immunohistochemistry
,
immunohistochemistry - paraffin section
Immunohistochemical analysis of paraffin-embedded human breast cancer,Lung breast tissues using EGF antibody
Immunohistochemical analysis of paraffin-embedded human Uterus tissues using anFtEG antibody
quantity: 100 uL
price: US 491.00
to the supplier
EGF Monoclonal Antibody (3A8)
Invitrogen
catalog: M806
mouse monoclonal (3A8)
reactivity:
human
application:
western blot
,
ELISA
,
immunocytochemistry
Immunofluorescent analysis of EGF (green) in HeLa cells either left untreated (left panel) or treated with 10ng/ml EGF (right panel) for 5 minutes. Formalin fixed cells were permeabilized with 0.1% Triton X-100 in TBS for 10 minutes at room temperature and blocked with 1% Blocker BSA (Product # 37525) for 15 minutes at room temperature. Cells were probed with an EGF monoclonal antibody (Product # M806) at a dilution of 1:50 for at least 1 hour at room temperature, washed with PBS, and incubated with DyLight 488 goat anti-mouse IgG secondary antibody (Product # 35502) at a dilution of 1:400 for 30 minutes at room temperature. F-Actin (red) was stained with DyLight 554 Phalloidin (Product # 21834) and nuclei (blue) were stained with Hoechst 33342 dye (Product # 62249). Images were taken on a Thermo Scientific ArrayScan at 20X magnification.
Western blot analysis of Human EGF was performed by loading 2ug of recombinant human EGF (Lane 1) or supernatant from an EGF expression clone transfected in 293T cells onto a 4-20% Tris-HCl polyacrylamide gel. Proteins were transferred to a PVDF membrane and blocked with 5% Milk/TBST for at least 1 hour. Membranes were probed with an EGF monoclonal antibody recognizing Human EGF (Product # M806) at a dilution of 1:5000 overnight at 4°C on a rocking platform. Membranes were washed in TBS-0.1%Tween 20 and probed with a goat anti-rabbit-HRP secondary antibody (Product # 31430) at a dilution of 1:10,000 for at least one hour. Membranes were washed and chemiluminescent detection performed using Super Signal West Dura (Product # 34075).
quantity: 200 ug
price: US 414.00
to the supplier
EGF Monoclonal Antibody (3A8), Biotin
Invitrogen
catalog: M806B
mouse monoclonal (3A8)
reactivity:
human
conjugate: biotin
application:
western blot
,
ELISA
,
immunocytochemistry
quantity: 100 ug
price: US 471.00
to the supplier
EGF Monoclonal Antibody (9A1)
Invitrogen
catalog: M807
mouse monoclonal (9A1)
reactivity:
human
application:
western blot
,
ELISA
,
immunocytochemistry
Western blot analysis of Human EGF was performed by loading 2ug of recombinant human EGF (Lane 1) or supernatant from an EGF expression clone transfected in 293T cells onto a 4-20% Tris-HCl polyacrylamide gel. Proteins were transferred to a PVDF membrane and blocked with 5% Milk/TBST for at least 1 hour. Membranes were probed with an EGF monoclonal antibody recognizing Human EGF (Product # M807) at a dilution of 1:5000 overnight at 4°C on a rocking platform. Membranes were washed in TBS-0.1%Tween 20 and probed with a goat anti-rabbit-HRP secondary antibody (Product # 31430) at a dilution of 1:10,000 for at least one hour. Membranes were washed and chemiluminescent detection performed using Super Signal West Dura (Product # 34075).
Immunofluorescent analysis of EGF (green) in HeLa cells either left serum starved (left panel) or treated with serum (right panel) for 30 minutes. Formalin fixed cells were permeabilized with 0.1% Triton X-100 in TBS for 10 minutes at room temperature and blocked with 1% Blocker BSA (Product # 37525) for 15 minutes at room temperature. Cells were probed with an EGF monoclonal antibody (Product # M807) at a dilution of 1:50 for at least 1 hour at room temperature, washed with PBS, and incubated with DyLight 488 goat anti-mouse IgG secondary antibody (Product # 35502) at a dilution of 1:400 for 30 minutes at room temperature. F-Actin (red) was stained with DyLight 554 Phalloidin (Product # 21834) and nuclei (blue) were stained with Hoechst 33342 dye (Product # 62249). Images were taken on a Thermo Scientific ArrayScan at 20X magnification.
quantity: 200 ug
price: US 414.00
to the supplier
pro-EGF Polyclonal Antibody
Invitrogen
catalog: PA5-29229
domestic rabbit polyclonal
reactivity:
human
,
rat
application:
western blot
,
immunohistochemistry
,
immunohistochemistry - paraffin section
Immunohistochemical analysis of paraffin-embedded Breast ca using EGF (PA5-29229) antibody at 1:250 dilution.
Western Blot analysis of pro-EGF using anti-pro-EGF Polyclonal Antibody (PA5-29229), in HCT116 Cell Lysate (30 ug of cell lysate) and at a dilution of 1:2000.
quantity: 100 uL
price: US 454.00
to the supplier
EGF Monoclonal Antibody (10827)
Invitrogen
catalog: MA5-23704
mouse monoclonal (10827)
reactivity:
human
application:
ELISA
,
immunohistochemistry
quantity: 500 ug
price: US 480.00
to the supplier
EGF Polyclonal Antibody
Invitrogen
catalog: PA5-79185
domestic rabbit polyclonal
reactivity:
human
application:
western blot
,
ELISA
quantity: 100 ug
price: US 400.00
to the supplier
EGF Polyclonal Antibody
Invitrogen
catalog: PA5-85301
domestic rabbit polyclonal
reactivity:
human
application:
western blot
,
immunohistochemistry
,
immunohistochemistry - paraffin section
quantity: 100 uL
price: US 464.00
to the supplier
EGF Polyclonal Antibody
Invitrogen
catalog: PA5-86588
domestic rabbit polyclonal
reactivity:
human
,
mouse
,
rat
application:
immunohistochemistry
,
immunohistochemistry - paraffin section
quantity: 100 uL
price: US 454.00
to the supplier
EGF Polyclonal Antibody
Invitrogen
catalog: PA5-87146
domestic rabbit polyclonal
reactivity:
human
,
mouse
,
rat
application:
western blot
,
immunocytochemistry
quantity: 100 uL
price: US 522.00
to the supplier
EGF Polyclonal Antibody, Biotin, PeproTech
Invitrogen
catalog: 500-P45BT-25UG
domestic rabbit polyclonal
reactivity:
human
conjugate: biotin
application:
western blot
,
ELISA
quantity: 25 ug
price: US 238.00
to the supplier
EGF Polyclonal Antibody, Biotin, PeproTech
Invitrogen
catalog: 500-P45BT-50UG
domestic rabbit polyclonal
reactivity:
human
conjugate: biotin
application:
western blot
,
ELISA
quantity: 50 ug
price: US 304.00
to the supplier
EGF Recombinant Rabbit Monoclonal Antibody (JA14-15)
Invitrogen
catalog: MA5-42471
domestic rabbit recombinant (JA14-15)
reactivity:
human
application:
western blot
,
immunohistochemistry
,
immunoprecipitation
,
immunohistochemistry - paraffin section
quantity: 100 uL
price: US 470.00
to the supplier
EGF Monoclonal Antibody (KT57)
Invitrogen
catalog: MA5-49584
mouse monoclonal (KT57)
reactivity:
human
application:
western blot
,
ELISA
quantity: 100 ug
price: US 592.00
to the supplier
EGF Recombinant Rabbit Monoclonal Antibody (18B12)
Invitrogen
catalog: MA5-50191
domestic rabbit recombinant (18B12)
reactivity:
human
application:
ELISA
,
immunohistochemistry
,
flow cytometry
,
immunohistochemistry - paraffin section
quantity: 100 uL
price: US 414.00
to the supplier
EGF Polyclonal Antibody
Invitrogen
catalog: PA5-120228
domestic rabbit polyclonal
reactivity:
human
,
mouse
,
rat
application:
western blot
,
ELISA
,
immunocytochemistry
quantity: 100 uL
price: US 460.00
to the supplier
pro-EGF Polyclonal Antibody
Invitrogen
catalog: PA5-142961
domestic goat polyclonal
reactivity:
human
application:
western blot
,
immunohistochemistry
,
immunohistochemistry - paraffin section
quantity: 100 ug
price: US 444.00
to the supplier
EGF Polyclonal Antibody, Biotin, PeproTech
Invitrogen
catalog: 500-P45BT-500UG
domestic rabbit polyclonal
reactivity:
human
conjugate: biotin
application:
western blot
,
ELISA
quantity: 500 ug
price: US 2070.00
to the supplier