Sign in
Sign up
home
>
Invitrogen
> Invitrogen PARP antibody
PARP1 Monoclonal Antibody (C-2-10)
Invitrogen
catalog: MA3-950
mouse monoclonal (C-2-10)
reactivity:
Chinese hamsters
,
human
,
mouse
,
rat
,
bovine
application:
western blot
,
ELISA
,
immunohistochemistry
,
immunocytochemistry
,
immunohistochemistry - paraffin section
citations: 10
Immunofluorescent analysis of PARP in HeLa cells. Cells were grown on chamber slides and fixed with formaldehyde prior to staining. Cells were probed without (control) or with a PARP monoclonal antibody (Product # MA3-950) at a dilution of 1:200 overnight at 4 C, washed with PBS and incubated with a DyLight-488 conjugated secondary antibody (Product # 35503). PARP staining (green), F-Actin staining with Phalloidin (red) and nuclei with DAPI (blue) is shown. Images were taken at 60X magnification.
Immunofluorescent analysis of PARP in HT-29 cells. Cells were grown on chamber slides and fixed with formaldehyde prior to staining. Cells were probed without (control) or with a PARP monoclonal antibody (Product # MA3-950) at a dilution of 1:200 overnight at 4 C, washed with PBS and incubated with a DyLight-488 conjugated secondary antibody (Product # 35503). PARP staining (green), F-Actin staining with Phalloidin (red) and nuclei with DAPI (blue) is shown. Images were taken at 60X magnification.
quantity: 50 uL
price: US 524.00
to the supplier
PARP1 Monoclonal Antibody (123)
Invitrogen
catalog: 436400
mouse monoclonal (123)
reactivity:
human
,
mouse
,
rat
,
dogs
,
domestic horse
,
rhesus macaque
application:
western blot
,
immunohistochemistry
,
immunocytochemistry
,
immunoprecipitation
,
flow cytometry
,
immunohistochemistry - paraffin section
,
RNA immunoprecipitation
citations: 14
quantity: 100 ug
price: US 520.00
to the supplier
PARP1 (cleaved Asp214, Asp215) Polyclonal Antibody
Invitrogen
catalog: 44-698G
domestic rabbit polyclonal
reactivity:
human
,
mouse
,
rat
,
bovine
application:
western blot
,
immunohistochemistry
,
immunohistochemistry - paraffin section
citations: 9
quantity: 100 uL
price: US 520.00
to the supplier
PARP1 Monoclonal Antibody (HC2R8), eBioscience
Invitrogen
catalog: 14-6667-82
mouse monoclonal (HC2R8)
reactivity:
human
application:
western blot
,
immunocytochemistry
citations: 7
quantity: 100 ug
price: US 239.00
to the supplier
PARP1 (cleaved Asp214) Monoclonal Antibody (HLNC4), eBioscience
Invitrogen
catalog: 14-6668-82
mouse monoclonal (HLNC4)
reactivity:
human
application:
western blot
citations: 7
quantity: 100 ug
price: US 440.00
to the supplier
PARP1 (cleaved Asp214) Monoclonal Antibody (HLNC4), Alexa Fluor 488, eBioscienc ...
Invitrogen
catalog: 53-6668-42
mouse monoclonal (HLNC4)
reactivity:
human
conjugate: AF488
application:
flow cytometry
citations: 5
quantity: 100 Tests
price: US 368.00
to the supplier
PARP1 Monoclonal Antibody (C.384.8)
Invitrogen
catalog: MA5-15031
domestic rabbit monoclonal (C.384.8)
reactivity:
human
,
mouse
,
rat
application:
western blot
,
immunocytochemistry
,
immunoprecipitation
,
western blot knockout validation
citations: 7
quantity: 100 uL
price: US 524.00
to the supplier
PARP1 Polyclonal Antibody
Invitrogen
catalog: PA3-951
domestic rabbit polyclonal
reactivity:
human
,
mouse
,
rat
,
bovine
application:
western blot
,
ELISA
quantity: 100 µL
price: US 522
to the supplier
PARP1 (cleaved Asp214) Monoclonal Antibody (HLNC4), PE, eBioscience
Invitrogen
catalog: 12-6668-42
mouse monoclonal (HLNC4)
reactivity:
human
conjugate: PE
application:
flow cytometry
citations: 1
quantity: 100 Tests
price: US 372.00
to the supplier
PARP1 Polyclonal Antibody
Invitrogen
catalog: PA5-34802
domestic rabbit polyclonal
reactivity:
human
,
rat
application:
western blot
,
immunohistochemistry
,
immunocytochemistry
,
immunoprecipitation
,
immunohistochemistry - paraffin section
citations: 1
quantity: 100 uL
price: US 470.00
to the supplier
PARP1 Polyclonal Antibody
Invitrogen
catalog: PA5-34803
domestic rabbit polyclonal
reactivity:
human
,
mouse
application:
western blot
,
immunohistochemistry
,
immunocytochemistry
,
immunoprecipitation
,
immunohistochemistry - paraffin section
citations: 1
quantity: 100 uL
price: US 514.00
to the supplier
PARP1 (cleaved Asp214) Polyclonal Antibody
Invitrogen
catalog: PA5-77850
domestic rabbit polyclonal
reactivity:
human
application:
western blot
,
immunocytochemistry
citations: 1
quantity: 100 uL
price: US 470.00
to the supplier
PARP1 (cleaved Asp214, Asp215) Monoclonal Antibody (194C1439)
Invitrogen
catalog: MA1-41020
mouse monoclonal (194C1439)
reactivity:
human
,
mouse
application:
western blot
,
immunocytochemistry
,
flow cytometry
Immunofluorescent analysis of Cleaved PARP (green) in HeLa cells either left untreated (left panel) or treated with 1µM Staurosporine for 3 hours (right panel). Formalin fixed cells were permeabilized with 0.1% Triton X-100 in TBS for 10 minutes at room temperature and blocked with 1% Blocker BSA (Product # 37525) for 15 minutes at room temperature. Cells were probed with a Cleaved PARP monoclonal antibody (Product # MA1-41020) at a dilution of 1:100 for at least 1 hour at room temperature, washed with PBS, and incubated with DyLight 488 goat anti-mouse IgG secondary antibody (Product # 35502) at a dilution of 1:400 for 30 minutes at room temperature. F-Actin (red) was stained with Dylight 554 phalloidin (Product # 21834) and nuclei (blue) were stained with Hoechst 33342 dye (Product # 62249). Images were taken on a Thermo Scientific ArrayScan or ToxInsight Instrument at 20X magnification.
quantity: 100 ug
price: US 474.00
to the supplier
PARP1 Polyclonal Antibody
Invitrogen
catalog: PA1-38414
domestic rabbit polyclonal
reactivity:
human
application:
western blot
,
immunohistochemistry
,
immunohistochemistry - paraffin section
quantity: 1 mL
price: US 576.00
to the supplier
PARP1 Monoclonal Antibody (7A10)
Invitrogen
catalog: MA5-15607
mouse monoclonal (7A10)
reactivity:
human
application:
western blot
,
ELISA
,
flow cytometry
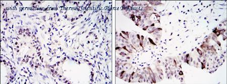
Immunohistochemical analysis of paraffin-embedded lung cancer (left) and ovary tumour tissues (right) using CCNB1 antibody with DAB staining.
quantity: 100 uL
price: US 491.00
to the supplier
PARP1 Polyclonal Antibody
Invitrogen
catalog: PA5-13386
domestic rabbit polyclonal
reactivity:
human
application:
western blot
,
flow cytometry
quantity: 400 uL
price: US 464.00
to the supplier
PARP1 Polyclonal Antibody
Invitrogen
catalog: PA5-27219
domestic rabbit polyclonal
reactivity:
human
,
mouse
,
rat
application:
western blot
,
immunohistochemistry
,
immunocytochemistry
,
immunoprecipitation
,
immunohistochemistry - paraffin section
Immunofluorescence analysis of paraformaldehyde-fixed HeLa cells using PARP1 (PA5-27219) antibody at 1:200 dilution.
Western Blot analysis using anti-PARP1 Polyclonal Antibody on the following cells: (30 ug of whole cell lysate) A: 293T B: HeLa. Primary antibody (PA5-27219) diluted at 1:1000
quantity: 100 uL
price: US 514.00
to the supplier
PARP1 (cleaved Asp214) Monoclonal Antibody (HLNC4), eFluor 450, eBioscience
Invitrogen
catalog: 48-6668-42
mouse monoclonal (HLNC4)
reactivity:
human
conjugate: eFluor 450
application:
flow cytometry
quantity: 100 Tests
price: US 416.00
to the supplier
PARP1 Recombinant Rabbit Monoclonal Antibody (8H2L9)
Invitrogen
catalog: 702343
domestic rabbit recombinant (8H2L9)
reactivity:
human
application:
western blot
,
immunocytochemistry
quantity: 100 ug
price: US 520.00
to the supplier
PARP1 (cleaved Asp214) Recombinant Rabbit Monoclonal Antibody (SU0314)
Invitrogen
catalog: MA5-32104
domestic rabbit recombinant (SU0314)
reactivity:
human
application:
western blot
,
immunocytochemistry
,
flow cytometry
quantity: 100 uL
price: US 474.00
to the supplier
PARP1 (cleaved Asp214) Recombinant Rabbit Monoclonal Antibody (ARC0091)
Invitrogen
catalog: MA5-35322
domestic rabbit recombinant (ARC0091)
reactivity:
human
,
mouse
application:
western blot
,
ELISA
,
immunoprecipitation
quantity: 100 uL
price: US 464.00
to the supplier
PARP1 (cleaved Asp214) Recombinant Rabbit Monoclonal Antibody (PARP-H8)
Invitrogen
catalog: MA5-37112
domestic rabbit recombinant (PARP-H8)
reactivity:
human
application:
western blot
,
flow cytometry
quantity: 200 uL
price: US 612.00
to the supplier
PARP1 (cleaved Asp214) Recombinant Rabbit Monoclonal Antibody (PARP-H8), PE
Invitrogen
catalog: MA5-37113
domestic rabbit recombinant (PARP-H8)
reactivity:
human
conjugate: PE
application:
flow cytometry
quantity: 100 Tests
price: US 484.00
to the supplier
PARP1 (cleaved Asp214) Recombinant Rabbit Monoclonal Antibody (PARP-H8), FITC
Invitrogen
catalog: MA5-37114
domestic rabbit recombinant (PARP-H8)
reactivity:
human
conjugate: FITC
application:
flow cytometry
quantity: 100 Tests
price: US 474.00
to the supplier
PARP1 (cleaved Asp214) Recombinant Rabbit Monoclonal Antibody (PARP-H8), APC
Invitrogen
catalog: MA5-37115
domestic rabbit recombinant (PARP-H8)
reactivity:
human
conjugate: APC
application:
flow cytometry
quantity: 100 Tests
price: US 474.00
to the supplier
PARP1 (cleaved Asp214) Recombinant Rabbit Monoclonal Antibody (PARP-H8)
Invitrogen
catalog: MA5-37358
domestic rabbit recombinant (PARP-H8)
reactivity:
human
application:
western blot
,
flow cytometry
quantity: 20 uL
price: US 329.00
to the supplier
PARP1 (cleaved Asp214) Recombinant Rabbit Monoclonal Antibody (PARP-H8), PE
Invitrogen
catalog: MA5-37359
domestic rabbit recombinant (PARP-H8)
reactivity:
human
conjugate: PE
application:
flow cytometry
quantity: 10 Tests
price: US 197.00
to the supplier
PARP1 (cleaved Asp214) Recombinant Rabbit Monoclonal Antibody (PARP-H8), FITC
Invitrogen
catalog: MA5-37360
domestic rabbit recombinant (PARP-H8)
reactivity:
human
conjugate: FITC
application:
flow cytometry
quantity: 10 Tests
price: US 197.00
to the supplier
PARP1 (cleaved Asp214) Recombinant Rabbit Monoclonal Antibody (PARP-H8), APC
Invitrogen
catalog: MA5-37361
domestic rabbit recombinant (PARP-H8)
reactivity:
human
conjugate: APC
application:
flow cytometry
quantity: 10 Tests
price: US 197.00
to the supplier
PARP1 Recombinant Rabbit Monoclonal Antibody (SU03-68)
Invitrogen
catalog: MA5-41125
domestic rabbit recombinant (SU03-68)
reactivity:
human
,
mouse
,
rat
application:
western blot
,
immunohistochemistry
,
immunocytochemistry
,
flow cytometry
,
immunohistochemistry - paraffin section
quantity: 100 uL
price: US 470.00
to the supplier
PARP1 Recombinant Rabbit Monoclonal Antibody (HL1364)
Invitrogen
catalog: MA5-47015
domestic rabbit recombinant (HL1364)
reactivity:
human
,
mouse
application:
western blot
,
immunohistochemistry
,
immunocytochemistry
,
immunohistochemistry - paraffin section
quantity: 100 uL
price: US 444.00
to the supplier
PARP1 Recombinant Rabbit Monoclonal Antibody (HL1365)
Invitrogen
catalog: MA5-47016
domestic rabbit recombinant (HL1365)
reactivity:
human
,
mouse
application:
western blot
,
immunohistochemistry
,
immunocytochemistry
,
immunohistochemistry - paraffin section
quantity: 100 uL
price: US 444.00
to the supplier
PARP1 Recombinant Rabbit Monoclonal Antibody (8C7)
Invitrogen
catalog: MA5-49849
domestic rabbit recombinant (8C7)
reactivity:
human
application:
western blot
,
ELISA
,
immunohistochemistry
,
immunocytochemistry
,
flow cytometry
,
immunohistochemistry - paraffin section
quantity: 100 uL
price: US 414.00
to the supplier
PARP1 Recombinant Rabbit Monoclonal Antibody (2G8N7)
Invitrogen
catalog: MA5-51198
domestic rabbit recombinant (2G8N7)
reactivity:
human
,
mouse
,
rat
application:
western blot
,
ELISA
,
immunohistochemistry
,
immunocytochemistry
,
immunohistochemistry - paraffin section
quantity: 100 uL
price: US 424.00
to the supplier
PARP1 (Cleaved Asp214) Polyclonal Antibody
Invitrogen
catalog: PA5-114686
domestic rabbit polyclonal
reactivity:
human
,
mouse
,
rat
application:
western blot
quantity: 100 uL
price: US 464.00
to the supplier
PARP1 (cleaved Asp214) Recombinant Rabbit Monoclonal Antibody (JE00-15)
Invitrogen
catalog: MA5-56438
domestic rabbit recombinant (JE00-15)
reactivity:
human
,
mouse
,
rat
application:
western blot
quantity: 100 uL
price: US 479.00
to the supplier