Sign in
Sign up
home
>
Invitrogen
> Invitrogen RABEPK antibody
p40 Monoclonal Antibody (4C9)
Invitrogen
catalog: MA5-20977
mouse monoclonal (4C9)
reactivity:
human
application:
western blot
,
ELISA
,
immunohistochemistry - paraffin section
citations: 1
quantity: 100 ug
price: US 474.00
to the supplier
p40 Polyclonal Antibody
Invitrogen
catalog: PA5-28477
domestic rabbit polyclonal
reactivity:
human
application:
western blot
,
immunohistochemistry
,
immunocytochemistry
,
immunoprecipitation
,
immunohistochemistry - paraffin section
Immunofluorescence analysis of paraformaldehyde-fixed A549 cells using p40 (PA5-28477) antibody at 1:200 dilution.
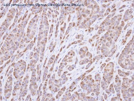
Immunohistochemical analysis of paraffin-embedded A549 xenograft using p40 (PA5-28477) antibody at 1:100 dilution.
Western Blot analysis of p40 using anti-p40 Polyclonal Antibody (PA5-28477), in Hep G2 Cell Lysate (30 ug of cell lysate) and at a dilution of 1:1000.
quantity: 100 uL
price: US 470.00
to the supplier
p40 Polyclonal Antibody
Invitrogen
catalog: PA5-34872
domestic rabbit polyclonal
reactivity:
human
application:
western blot
quantity: 100 uL
price: US 464.00
to the supplier
p40 Polyclonal Antibody
Invitrogen
catalog: PA5-82855
domestic rabbit polyclonal
reactivity:
human
application:
immunohistochemistry
,
immunohistochemistry - paraffin section
quantity: 100 uL
price: US 514.00
to the supplier
p40 Recombinant Rabbit Monoclonal Antibody (ARC2194)
Invitrogen
catalog: MA5-37928
domestic rabbit recombinant (ARC2194)
reactivity:
human
,
mouse
,
rat
application:
western blot
,
ELISA
quantity: 100 uL
price: US 484.00
to the supplier
p40 Polyclonal Antibody
Invitrogen
catalog: PA5-115708
domestic rabbit polyclonal
reactivity:
human
,
mouse
,
rat
application:
western blot
,
immunocytochemistry
quantity: 100 uL
price: US 454.00
to the supplier
p40 Polyclonal Antibody
Invitrogen
catalog: PA5-144730
domestic rabbit polyclonal
reactivity:
human
application:
immunocytochemistry
quantity: 100 uL
price: US 562.00
to the supplier
p40 Recombinant Rabbit Monoclonal Antibody (24GB1540)
Invitrogen
catalog: MA5-57668
domestic rabbit recombinant (24GB1540)
reactivity:
human
application:
western blot
,
flow cytometry
quantity: 100 uL
price: US 539.00
to the supplier
p40 Recombinant Rabbit Monoclonal Antibody (24GB1540)
Invitrogen
catalog: MA5-57669
domestic rabbit recombinant (24GB1540)
reactivity:
human
application:
western blot
,
flow cytometry
quantity: 20 uL
price: US 189.00
to the supplier