domestic rabbit polyclonal
reactivity: human, mouse
application: western blot, immunohistochemistry, immunohistochemistry - paraffin section
citations: 1
reactivity: human, mouse
application: western blot, immunohistochemistry, immunohistochemistry - paraffin section
citations: 1

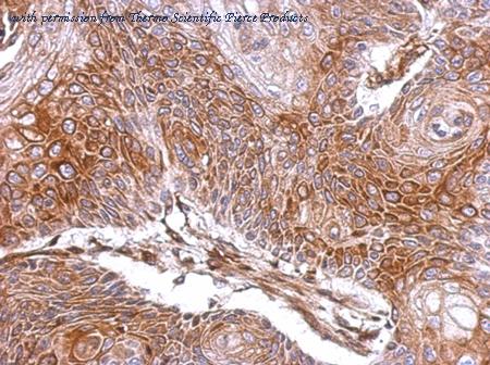
Immunohistochemical analysis of paraffin-embedded Cal27 xenograft using ELA3A (PA5-28155) antibody at 1:500 dilution.

Western Blot analysis of ELA3A using anti-ELA3A Polyclonal Antibody (PA5-28155), in PC-3 Cell Lysate (30 ug of cell lysate) and at a dilution of 1:2000.
quantity: 100 uL
price: US 474.00
to the supplier
domestic rabbit polyclonal
reactivity: human
application: immunohistochemistry, immunohistochemistry - paraffin section
reactivity: human
application: immunohistochemistry, immunohistochemistry - paraffin section
domestic rabbit polyclonal
reactivity: human
application: immunocytochemistry
reactivity: human
application: immunocytochemistry
domestic rabbit polyclonal
reactivity: human, mouse
application: western blot, ELISA
reactivity: human, mouse
application: western blot, ELISA
