Sign in
Sign up
home
>
Invitrogen
> Invitrogen N-cadherin antibody
N-cadherin Monoclonal Antibody (3B9)
Invitrogen
catalog: 33-3900
mouse monoclonal (3B9)
reactivity:
African green monkey
,
human
,
mouse
,
rat
,
dogs
,
chicken
,
pigs
,
domestic rabbit
,
domestic horse
application:
western blot
,
immunohistochemistry
,
immunocytochemistry
,
immunoprecipitation
,
immunohistochemistry - paraffin section
,
immunohistochemistry - frozen section
citations: 235
quantity: 100 ug
price: US 496.00
to the supplier
N-cadherin Monoclonal Antibody (8C11)
Invitrogen
catalog: MA1-2002
mouse monoclonal (8C11)
reactivity:
Chinese hamsters
,
human
,
mouse
,
chicken
,
domestic rabbit
application:
western blot
,
immunohistochemistry
,
immunocytochemistry
,
immunoprecipitation
,
flow cytometry
,
immunohistochemistry - paraffin section
citations: 9
quantity: 100 ug
price: US 496.00
to the supplier
Pan-cadherin Polyclonal Antibody
Invitrogen
catalog: 71-7100
domestic rabbit polyclonal
reactivity:
human
,
mouse
,
rat
,
dogs
,
chicken
,
Xenopus laevis
application:
western blot
,
ELISA
,
immunohistochemistry
,
immunocytochemistry
,
immunohistochemistry - paraffin section
citations: 9
quantity: 100 ug
price: US 494.00
to the supplier
N-cadherin Monoclonal Antibody (CH-19)
Invitrogen
catalog: MA1-91128
mouse monoclonal (CH-19)
reactivity:
guinea pig
,
Chinese hamsters
,
domestic goat
,
human
,
mouse
,
rat
,
dogs
,
chicken
,
bovine
,
pigs
,
cat
,
domestic sheep
,
domestic rabbit
application:
western blot
,
immunohistochemistry
,
immunocytochemistry
,
immunohistochemistry - paraffin section
,
western blot knockout validation
citations: 7
quantity: 100 uL
price: US 538.00
to the supplier
CD325 (N-Cadherin) Monoclonal Antibody (8C11), PE, eBioscience
Invitrogen
catalog: 12-3259-42
mouse monoclonal (8C11)
reactivity:
human
conjugate: PE
application:
flow cytometry
citations: 4
quantity: 100 Tests
price: US 336.00
to the supplier
CD325 (N-Cadherin) Monoclonal Antibody (8C11), Biotin, eBioscience
Invitrogen
catalog: 13-3259-82
mouse monoclonal (8C11)
reactivity:
human
conjugate: biotin
application:
immunohistochemistry
,
flow cytometry
,
immunohistochemistry - paraffin section
citations: 4
quantity: 100 ug
price: US 312.00
to the supplier
CD325 (N-Cadherin) Monoclonal Antibody (8C11), Biotin, eBioscience
Invitrogen
catalog: 13-3259-85
mouse monoclonal (8C11)
reactivity:
human
conjugate: biotin
application:
immunohistochemistry
,
flow cytometry
,
immunohistochemistry - paraffin section
citations: 4
quantity: 500 ug
price: US 590.00
to the supplier
CD325 (N-Cadherin) Monoclonal Antibody (8C11), eBioscience
Invitrogen
catalog: 14-3259-82
mouse monoclonal (8C11)
reactivity:
human
application:
western blot
,
immunohistochemistry
,
immunocytochemistry
,
immunoprecipitation
,
flow cytometry
,
immunohistochemistry - paraffin section
citations: 5
quantity: 100 ug
price: US 158.00
to the supplier
CD325 (N-Cadherin) Monoclonal Antibody (8C11), APC, eBioscience
Invitrogen
catalog: 17-3259-42
mouse monoclonal (8C11)
reactivity:
human
conjugate: APC
application:
flow cytometry
citations: 5
quantity: 100 Tests
price: US 415.00
to the supplier
CD325 (N-Cadherin) Monoclonal Antibody (8C11), PerCP-eFluor 710, eBioscience
Invitrogen
catalog: 46-3259-41
mouse monoclonal (8C11)
reactivity:
human
,
mouse
conjugate: Percp/efluor 710
application:
flow cytometry
,
immunohistochemistry - paraffin section
citations: 5
quantity: 25 Tests
price: US 178.00
to the supplier
CD325 (N-Cadherin) Monoclonal Antibody (8C11), PerCP-eFluor 710, eBioscience
Invitrogen
catalog: 46-3259-42
mouse monoclonal (8C11)
reactivity:
human
,
mouse
conjugate: Percp/efluor 710
application:
flow cytometry
,
immunohistochemistry - paraffin section
citations: 5
quantity: 100 Tests
price: US 459.00
to the supplier
N-cadherin Monoclonal Antibody (5D5)
Invitrogen
catalog: MA5-15633
mouse monoclonal (5D5)
reactivity:
human
,
mouse
,
rat
application:
western blot
,
ELISA
,
immunohistochemistry
,
immunocytochemistry
,
flow cytometry
,
immunohistochemistry - paraffin section
citations: 7
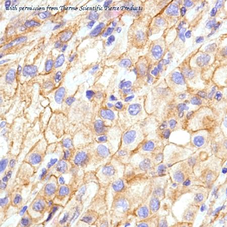
Immunohistochemical analysis of paraffin-embedded human lung cancer (A), colon cancer (B), ovarian cancer (C) and mammary cancer(D), using CDH2 antibody with DAB staining.
quantity: 100 uL
price: US 562.00
to the supplier
N-cadherin Polyclonal Antibody
Invitrogen
catalog: PA5-29570
domestic rabbit polyclonal
reactivity:
human
,
mouse
,
rat
application:
western blot
,
immunohistochemistry
,
immunocytochemistry
,
immunohistochemistry - paraffin section
citations: 7
Immunohistochemical analysis of paraffin-embedded Mahlarvu xenograft using N-cadherin (PA5-29570) antibody at 1:500 dilution.
Western Blot analysis of N-cadherin using anti-N-cadherin Polyclonal Antibody (PA5-29570), in K562 Cell Lysate (30 ug of cell lysate) and at a dilution of 1:1000.
Western Blot analysis of N-cadherin using anti-N-cadherin Polyclonal Antibody (PA5-29570), in Mouse Brain (50 ug of cell lysate) and at a dilution of 1:1000.
quantity: 100 uL
price: US 486.00
to the supplier
N-cadherin Polyclonal Antibody
Invitrogen
catalog: PA5-19486
domestic rabbit polyclonal
reactivity:
human
,
mouse
,
rat
application:
western blot
,
immunohistochemistry
,
immunocytochemistry
,
immunoprecipitation
,
immunohistochemistry - paraffin section
citations: 7
Western blot analysis of Mouse Brain Tissue Lysate using PA5-19486, N Cadherin primary antibody at a dilution of 1 ug/ml (lane 1). PA5-19486 staining of Rat Brain Tissue Lysate at a dilution of 1 ug/ml (lane 2). Blot treated with a secondary HRP-conjugated Goat polyclonal anti-Rabbit antibody was used at a dilution of 1:3000.
Immunohistochemical (formalin-fixed, paraffin-embedded) staining of Human Liver Cancer tissue using PA5-19486, anti-N Cadherin antibody. Primary antibody was used at a concentration of 1 ug/ml and exposed for 15 mins at room temp. The sample was pretreated using heat mediated antigen retrieval with Sodium Citrate Buffer (pH6 / 20mins). The detection method was a HRP conjugated polymer, DAB chromogen and the sample was counterstained with haematoxylin and mounted with DPX.
quantity: 100 ug
price: US 538.00
to the supplier
N-cadherin Monoclonal Antibody (13A9)
Invitrogen
catalog: MA1-159
mouse monoclonal (13A9)
reactivity:
human
,
mouse
application:
western blot
,
immunocytochemistry
,
immunoprecipitation
,
immunohistochemistry - paraffin section
citations: 5
quantity: 100 ug
price: US 538.00
to the supplier
N-cadherin Polyclonal Antibody
Invitrogen
catalog: PA5-17526
domestic rabbit polyclonal
reactivity:
human
,
mouse
,
rat
,
bovine
,
zebrafish
application:
western blot
,
immunohistochemistry
,
immunoprecipitation
,
immunohistochemistry - paraffin section
citations: 2
quantity: 100 uL
price: US 514.00
to the supplier
N-cadherin Monoclonal Antibody (SP90)
Invitrogen
catalog: MA5-16324
domestic rabbit monoclonal (SP90)
reactivity:
human
,
mouse
application:
immunohistochemistry
,
flow cytometry
,
immunohistochemistry - paraffin section
citations: 2
Immunohistochemical analysis of Cadherin-N/N-Cadherin using anti-Cadherin-N/N-Cadherin Monoclonal Antibody (MA5-16324) in Mesothelioma Cancer Tissue. The recommened dilution for this antibody in immunohistochemistry applications is 1:100.
quantity: 500 uL
price: US 582.00
to the supplier
N-cadherin Recombinant Rabbit Monoclonal Antibody (SY02-46)
Invitrogen
catalog: MA5-32088
domestic rabbit recombinant (SY02-46)
reactivity:
human
,
mouse
,
rat
,
dogs
application:
western blot
,
immunohistochemistry
,
immunohistochemistry - paraffin section
citations: 2
quantity: 100 uL
price: US 483.00
to the supplier
Pan-cadherin Monoclonal Antibody (R.976.9)
Invitrogen
catalog: MA5-15036
domestic rabbit monoclonal (R.976.9)
reactivity:
human
,
mouse
,
rat
application:
western blot
citations: 1
quantity: 100 uL
price: US 524.00
to the supplier
N-cadherin Recombinant Rabbit Monoclonal Antibody (014)
Invitrogen
catalog: MA5-29138
domestic rabbit recombinant (14)
reactivity:
human
application:
ELISA
citations: 1
quantity: 100 uL
price: US 422.00
to the supplier
N-cadherin Polyclonal Antibody
Invitrogen
catalog: PA5-85495
domestic rabbit polyclonal
reactivity:
human
,
mouse
,
rat
application:
western blot
,
immunohistochemistry
,
immunocytochemistry
,
immunohistochemistry - paraffin section
,
immunohistochemistry - frozen section
citations: 1
quantity: 100 uL
price: US 538.00
to the supplier
N-cadherin Polyclonal Antibody
Invitrogen
catalog: PA5-85916
domestic rabbit polyclonal
reactivity:
human
,
mouse
application:
western blot
,
immunohistochemistry
,
immunocytochemistry
,
flow cytometry
,
immunohistochemistry - paraffin section
citations: 1
quantity: 100 uL
price: US 486.00
to the supplier
Pan-cadherin Monoclonal Antibody (GT2610)
Invitrogen
catalog: MA5-27736
mouse monoclonal (GT2610)
reactivity:
human
application:
western blot
quantity: 100 uL
price: US 480.00
to the supplier
CD325 (N-Cadherin) Monoclonal Antibody (8C11), PE-Cyanine7, eBioscience
Invitrogen
catalog: 25-3259-42
mouse monoclonal (8C11)
reactivity:
human
conjugate: PE/Cy7
application:
flow cytometry
quantity: 100 Tests
price: US 437.00
to the supplier
N-cadherin Recombinant Rabbit Monoclonal Antibody (020)
Invitrogen
catalog: MA5-29140
domestic rabbit recombinant (20)
reactivity:
human
application:
western blot
,
ELISA
,
immunocytochemistry
,
flow cytometry
quantity: 100 uL
price: US 422.00
to the supplier
N-cadherin Polyclonal Antibody
Invitrogen
catalog: PA5-85341
domestic rabbit polyclonal
reactivity:
human
,
mouse
,
rat
application:
western blot
,
immunohistochemistry
,
immunocytochemistry
,
immunohistochemistry - paraffin section
,
immunohistochemistry - frozen section
quantity: 100 uL
price: US 464.00
to the supplier
N-cadherin Polyclonal Antibody
Invitrogen
catalog: PA5-86421
domestic rabbit polyclonal
reactivity:
human
,
mouse
,
rat
application:
western blot
,
immunohistochemistry
,
immunocytochemistry
,
immunohistochemistry - paraffin section
quantity: 100 uL
price: US 464.00
to the supplier
N-cadherin Polyclonal Antibody
Invitrogen
catalog: PA5-87169
domestic rabbit polyclonal
reactivity:
human
,
mouse
,
rat
application:
western blot
,
immunohistochemistry
,
immunohistochemistry - paraffin section
quantity: 100 uL
price: US 481.00
to the supplier
N-cadherin Polyclonal Antibody
Invitrogen
catalog: PA5-94960
domestic rabbit polyclonal
reactivity:
human
,
mouse
,
rat
application:
western blot
,
immunohistochemistry
,
flow cytometry
,
immunohistochemistry - paraffin section
quantity: 100 ug
price: US 464.00
to the supplier
N-cadherin Polyclonal Antibody
Invitrogen
catalog: PA5-87437
domestic rabbit polyclonal
reactivity:
human
,
mouse
,
rat
application:
western blot
,
ELISA
,
immunohistochemistry
,
immunohistochemistry - paraffin section
quantity: 100 uL
price: US 464.00
to the supplier
N-cadherin Polyclonal Antibody
Invitrogen
catalog: PA5-87436
domestic rabbit polyclonal
reactivity:
human
,
mouse
,
rat
application:
western blot
,
ELISA
,
immunohistochemistry
,
immunocytochemistry
,
immunohistochemistry - paraffin section
quantity: 100 uL
price: US 464.00
to the supplier
CD325 (N-Cadherin) Monoclonal Antibody (8C11), eBioscience
Invitrogen
catalog: 14-3259-37
mouse monoclonal (8C11)
reactivity:
human
application:
western blot
,
immunohistochemistry
,
immunocytochemistry
,
immunoprecipitation
,
flow cytometry
,
immunohistochemistry - paraffin section
quantity: 2 mg
price: US 1474.00
to the supplier
Pan-cadherin Recombinant Rabbit Monoclonal Antibody (ARC1135)
Invitrogen
catalog: MA5-35605
domestic rabbit recombinant (ARC1135)
reactivity:
human
,
mouse
application:
western blot
,
ELISA
,
immunohistochemistry
,
immunohistochemistry - paraffin section
quantity: 100 uL
price: US 474.00
to the supplier
N-cadherin Recombinant Rabbit Monoclonal Antibody (ARC0371)
Invitrogen
catalog: MA5-37860
domestic rabbit recombinant (ARC0371)
reactivity:
human
,
mouse
,
rat
,
dogs
application:
western blot
,
ELISA
,
immunohistochemistry
,
immunocytochemistry
,
immunohistochemistry - paraffin section
quantity: 100 uL
price: US 484.00
to the supplier
Pan-cadherin Recombinant Rabbit Monoclonal Antibody (ST54-01)
Invitrogen
catalog: MA5-41143
domestic rabbit recombinant (ST54-01)
reactivity:
human
,
mouse
,
rat
application:
western blot
,
immunohistochemistry
,
immunocytochemistry
,
immunohistochemistry - paraffin section
quantity: 100 uL
price: US 470.00
to the supplier
CD325 (N-Cadherin) Recombinant Rabbit Monoclonal Antibody (BLR097G)
Invitrogen
catalog: MA5-44385
domestic rabbit recombinant (BLR097G)
reactivity:
human
application:
western blot
,
immunocytochemistry
,
immunoprecipitation
quantity: 100 uL
price: US 444.00
to the supplier
CD325 (N-Cadherin) Recombinant Rabbit Monoclonal Antibody (BLR097G)
Invitrogen
catalog: MA5-44386
domestic rabbit recombinant (BLR097G)
reactivity:
human
application:
western blot
,
immunocytochemistry
,
immunoprecipitation
quantity: 10 uL
price: US 147.00
to the supplier
N-cadherin Recombinant Rabbit Monoclonal Antibody (020), APC
Invitrogen
catalog: MA5-46718
domestic rabbit recombinant (20)
reactivity:
human
conjugate: APC
application:
flow cytometry
quantity: 100 Tests
price: US 420.00
to the supplier
N-cadherin Recombinant Rabbit Monoclonal Antibody (020), FITC
Invitrogen
catalog: MA5-46719
domestic rabbit recombinant (20)
reactivity:
human
conjugate: FITC
application:
flow cytometry
quantity: 100 Tests
price: US 420.00
to the supplier
N-cadherin Recombinant Rabbit Monoclonal Antibody (020), PE
Invitrogen
catalog: MA5-46720
domestic rabbit recombinant (20)
reactivity:
human
conjugate: PE
application:
flow cytometry
quantity: 100 Tests
price: US 420.00
to the supplier
Pan-cadherin Polyclonal Antibody
Invitrogen
catalog: PA5-116886
domestic rabbit polyclonal
reactivity:
human
,
mouse
,
rat
,
dogs
application:
western blot
,
ELISA
,
immunocytochemistry
,
immunoprecipitation
quantity: 100 uL
price: US 464.00
to the supplier
N-cadherin Polyclonal Antibody
Invitrogen
catalog: PA5-116981
domestic rabbit polyclonal
reactivity:
human
,
mouse
,
rat
application:
western blot
,
ELISA
,
immunohistochemistry
,
immunocytochemistry
,
immunohistochemistry - paraffin section
quantity: 100 uL
price: US 474.00
to the supplier
Phospho-N-cadherin (Tyr820) Polyclonal Antibody
Invitrogen
catalog: PA5-143658
domestic rabbit polyclonal
reactivity:
human
,
mouse
,
rat
application:
western blot
,
immunocytochemistry
quantity: 100 uL
price: US 510.00
to the supplier
Non-Phospho-N-Cadherin (Tyr820) Polyclonal Antibody
Invitrogen
catalog: PA5-143659
domestic rabbit polyclonal
reactivity:
human
,
mouse
,
rat
application:
western blot
quantity: 100 uL
price: US 510.00
to the supplier
Phospho-N-cadherin/E-cadherin (Tyr820, Tyr835, Tyr860) Polyclonal Antibody
Invitrogen
catalog: PA5-143660
domestic rabbit polyclonal
reactivity:
human
,
mouse
,
rat
application:
western blot
,
immunocytochemistry
quantity: 100 uL
price: US 510.00
to the supplier
Pan-cadherin Recombinant Rabbit Monoclonal Antibody (23GB5050)
Invitrogen
catalog: MA5-52774
domestic rabbit recombinant (23GB5050)
reactivity:
human
,
mouse
application:
western blot
,
flow cytometry
quantity: 100 uL
price: US 429.00
to the supplier
Pan-cadherin Recombinant Rabbit Monoclonal Antibody (23GB5050)
Invitrogen
catalog: MA5-52775
domestic rabbit recombinant (23GB5050)
reactivity:
human
,
mouse
application:
western blot
,
flow cytometry
quantity: 20 uL
price: US 179.00
to the supplier