product summary
Loading...
company name :
HUABIO
product type :
antibody
product name :
IMP3
catalog :
R1512-10
quantity :
100μl
price :
330 USD
clonality :
polyclonal
host :
domestic rabbit
conjugate :
nonconjugated
reactivity :
human, mouse, rat
application :
western blot, flow cytometry, immunohistochemistry - paraffin section
more info or order :
image
image 1 :

Western blot analysis of IMP3 on different lysates with Rabbit anti-IMP3 antibody (R1512-10) at 1/1,000 dilution.
Lane 1: HeLa cell lysate
Lane 2: 293T cell lysate
Lane 3: MCF7 cell lysate
Lane 4: THP-1 cell lysate
Lysates/proteins at 10 µg/Lane.
Predicted band size: 64 kDa
Observed band size: 70 kDa
Exposure time: 2 minutes;
4-20% SDS-PAGE gel.
Proteins were transferred to a PVDF membrane and blocked with 5% NFDM/TBST for 1 hour at room temperature. The primary antibody (R1512-10) at 1/1,000 dilution was used in 5% NFDM/TBST at 4℃ overnight. Goat Anti-Rabbit IgG - HRP Secondary Antibody (HA1001) at 1/50,000 dilution was used for 1 hour at room temperature.
image 2 :

Western blot analysis of IMP3 on different lysates with Rabbit anti-IMP3 antibody (R1512-10) at 1/2,000 dilution.
Lane 1: HAP1-parental cell lysate
Lane 2: HAP1-IMP3 KD cell lysate
Lysates/proteins at 10 µg/Lane.
Predicted band size: 64 kDa
Observed band size: 64 kDa
Exposure time: 3 seconds; ECL: K1801;
4-20% SDS-PAGE gel.
Proteins were transferred to a PVDF membrane and blocked with 5% NFDM/TBST for 1 hour at room temperature. The primary antibody (R1512-10) at 1/2,000 dilution was used in primary antibody dilution (K1803) at 4℃ overnight. Goat Anti-Rabbit IgG - HRP Secondary Antibody (HA1001) at 1/50,000 dilution was used for 1 hour at room temperature.
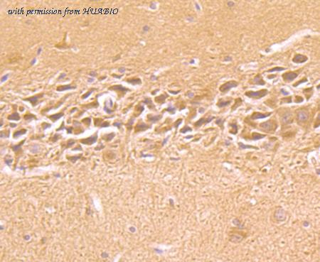
image 3 :

Immunohistochemical analysis of paraffin-embedded rat brain tissue using anti-IMP-3 antibody. Counter stained with hematoxylin.
product information
SKU :
R1512-10
Target name :
IMP3
Species reactivity :
Human,Mouse,Rat
Applications :
WB,IHC-P,FC
Conjugate :
Non-conjugated
Immunogen :
Recombinant protein within Human IMP-3 aa 352-579 / 579.
Uniprot id :
O00425>SwissProt: O00425 Human;SwissProt: Q9CPN8 Mouse;Entrez Gene: 312320 Rat
Host :
Rabbit
Isotype :
IgG
Size :
100μl
List Price :
330 USD
Storage Buffer :
1*PBS (pH7.4), 0.2% BSA, 40% Glycerol. Preservative: 0.05% Sodium Azide.
Form :
Liquid
Storage Instruction :
Shipped at 4℃. Store at +4℃ short term (1-2 weeks). It is recommended to aliquot into single-use upon delivery. Store at -20℃ long term.
Purity :
Protein A affinity purified.
Product type :
Rabbit polyclonal Antibody
Positive control :
HeLa cell lysate, 293T cell lysate, MCF7 cell lysate, THP-1 cell lysate, rat brain tissue, human placental tissue, mouse testis tissue, mouse brain tissue, HepG2.
Molecular wt :
Predicted band size: 64 kDa
Subcellular location :
Nucleus, Cytoplasm.
Concentration :
1 mg/mL.
Recommended dilutions :
WB: 1:1,000-1:2,000
;IHC-P: 1:50-1:400
;FC: 1:50-1:100
Advanced Validation :
Knockdown (KD)
Pic img4 :
https://storage.huabio.cn/huabio/productImg/R1512-10_4.jpg
Pic legend4 :
Immunohistochemical analysis of paraffin-embedded human placental tissue using anti-IMP-3 antibody. Counter stained with hematoxylin.
Pic img5 :
https://storage.huabio.cn/huabio/productImg/R1512-10_5.jpg
Pic legend5 :
Immunohistochemical analysis of paraffin-embedded mouse testis tissue using anti-IMP-3 antibody. Counter stained with hematoxylin.
Pic img6 :
https://storage.huabio.cn/huabio/productImg/R1512-10_6.jpg
Pic legend6 :
Immunohistochemical analysis of paraffin-embedded mouse brain tissue with Rabbit anti-IMP3 antibody (R1512-10) at 1/400 dilution.
The section was pre-treated using heat mediated antigen retrieval with Tris-EDTA buffer (pH 9.0) for 20 minutes. The tissues were blocked in 1% BSA for 20 minutes at room temperature, washed with ddH2O and PBS, and then probed with the primary antibody (R1512-10) at 1/400 dilution for 1 hour at room temperature. The detection was performed using an HRP conjugated compact polymer system. DAB was used as the chromogen. Tissues were counterstained with hematoxylin and mounted with DPX.
Pic img7 :
https://storage.huabio.cn/huabio/productImg/R1512-10_7.jpg
Pic legend7 :
Flow cytometric analysis of HepG2 cells with IPM-3 antibody at 1/100 dilution (red) compared with an unlabelled control (cells without incubation with primary antibody; black).
more info or order :
company information

HUABIO
Founded in 2007, HUABIO is dedicated to developing high-quality antibodies that advance innovation. We are passionate about the accuracy, efficiency, and consistency of our products. That is why we have invested in new production platforms, like recombinant rabbit monoclonals, alpaca nanobodies, and adopted aggressive QA standards to deliver cutting-edge antibodies with uncompromised quality.
We hope to see you at your next discovery!
We hope to see you at your next discovery!
related products
browse more products
questions and comments
