product summary
Loading...
company name :
HUABIO
product type :
antibody
product name :
Ku80
catalog :
R1511-17
quantity :
100μl
price :
330 USD
clonality :
polyclonal
host :
domestic rabbit
conjugate :
nonconjugated
reactivity :
human, mouse
application :
western blot, immunohistochemistry - paraffin section
more info or order :
image
image 1 :

Western blot analysis of Ku80 on different cell lysate using anti-Ku80 antibody at 1/500 dilution.
Positive control:
Lane 1: A549 Lane 2: Hela
Lane 3: MCF-7
Lane 4: Human liver
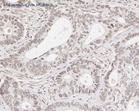
image 2 :

Immunohistochemical analysis of paraffin-embedded human colon cancer tissue with Rabbit anti-Ku80 antibody (R1511-17) at 1/5,000 dilution.
The section was pre-treated using heat mediated antigen retrieval with sodium citrate buffer (pH 6.0) (high pressure) for 2 minutes. The tissues were blocked in 1% BSA for 20 minutes at room temperature, washed with ddH2O and PBS, and then probed with the primary antibody (R1511-17) at 1/5,000 dilution for 1 hour at room temperature. The detection was performed using an HRP conjugated compact polymer system. DAB was used as the chromogen. Tissues were counterstained with hematoxylin and mounted with DPX.
image 3 :

Immunohistochemical analysis of paraffin-embedded human tonsil tissue using anti-Ku80 antibody. Counter stained with hematoxylin.
product information
SKU :
R1511-17
Target name :
Ku80
Species reactivity :
Human,Mouse
Applications :
WB,IF-Cell,IHC-P
Conjugate :
Non-conjugated
Immunogen :
Synthetic peptide within human Ku80 aa 51-104.
Uniprot id :
P13010>SwissProt: P13010 Human
Host :
Rabbit
Isotype :
IgG
Size :
100μl
List Price :
330 USD
Storage Buffer :
1*PBS (pH7.4), 0.2% BSA, 40% Glycerol. Preservative: 0.05% Sodium Azide.
Form :
Liquid
Storage Instruction :
Shipped at 4℃. Store at +4℃ short term (1-2 weeks). It is recommended to aliquot into single-use upon delivery. Store at -20℃ long term.
Purity :
Immunogen affinity purified.
Product type :
Rabbit polyclonal Antibody
Positive control :
A549, Hela, MCF-7, human liver tissue lysate, human colon cancer tissue, human tonsil tissue, human breast cancer tissue, human kidney tissue.
Molecular wt :
Predicted band size: 83 kDa
Subcellular location :
Nucleus. Chromosome.
Concentration :
1 mg/mL.
Recommended dilutions :
WB: 1:500-1:2.000
;IHC-P: 1:500-1:5,000
;IF-Cell: 1:500-1:1,000
Pic img4 :
https://storage.huabio.cn/huabio/productImg/R1511-17_4.jpg
Pic legend4 :
Immunohistochemical analysis of paraffin-embedded human breast cancer tissue using anti-Ku80 antibody. Counter stained with hematoxylin.
Pic img5 :
https://storage.huabio.cn/huabio/productImg/R1511-17_5.jpg
Pic legend5 :
Immunohistochemical analysis of paraffin-embedded human kidney tissue using anti-Ku80 antibody. Counter stained with hematoxylin.
more info or order :
company information

HUABIO
Founded in 2007, HUABIO is dedicated to developing high-quality antibodies that advance innovation. We are passionate about the accuracy, efficiency, and consistency of our products. That is why we have invested in new production platforms, like recombinant rabbit monoclonals, alpaca nanobodies, and adopted aggressive QA standards to deliver cutting-edge antibodies with uncompromised quality.
We hope to see you at your next discovery!
We hope to see you at your next discovery!
related products
browse more products
questions and comments
