product summary
Loading...
company name :
HUABIO
product type :
antibody
product name :
Cytochrome C
catalog :
R1510-41
quantity :
100μl
price :
330 USD
clonality :
polyclonal
host :
domestic rabbit
conjugate :
nonconjugated
reactivity :
human, mouse, rat
application :
western blot, immunohistochemistry - paraffin section
more info or order :
image
image 1 :

Western blot analysis of Cytochrome C on different lysates with Rabbit anti-Cytochrome C antibody (R1510-41) at 1/1,000 dilution.
Lane 1: HeLa cell lysate (20 µg/Lane)
Lane 2: L-929 cell lysate (20 µg/Lane)
Lane 3: C6 cell lysate (20 µg/Lane)
Lane 4: Human liver tissue lysate (40 µg/Lane)
Lane 5: Mouse liver tissue lysate (40 µg/Lane)
Lane 6: Rat liver tissue lysate (40 µg/Lane)
Predicted band size: 12 kDa
Observed band size: 12 kDa
Exposure time: 10 seconds; ECL: K1801;
4-20% SDS-PAGE gel.
Proteins were transferred to a PVDF membrane and blocked with 5% NFDM/TBST for 1 hour at room temperature. The primary antibody (R1510-41) at 1/1,000 dilution was used in 5% NFDM/TBST at 4℃ overnight. Goat Anti-Rabbit IgG - HRP Secondary Antibody (HA1001) at 1/50,000 dilution was used for 1 hour at room temperature.
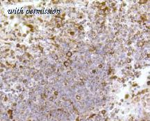
image 2 :

Immunohistochemical analysis of paraffin- embedded human spleen tissue using anti-Cytochrome C rabbit polyclonal antibody.
image 3 :

Immunohistochemical analysis of paraffin- embedded human kidney tissue using anti-Cytochrome C rabbit polyclonal antibody.
product information
SKU :
R1510-41
Target name :
Cytochrome C
Species reactivity :
Human,Mouse,Rat
Applications :
WB,IHC-P
Conjugate :
Non-conjugated
Immunogen :
Synthetic peptide within Human Cytochrome C aa 1-50 / 105.
Uniprot id :
P99999>SwissProt: P99999 Human;SwissProt: P62897 Mouse;SwissProt: P62898 Rat
Host :
Rabbit
Isotype :
IgG
Size :
100μl
List Price :
330 USD
Storage Buffer :
1*PBS (pH7.4), 0.2% BSA, 40% Glycerol. Preservative: 0.05% Sodium Azide.
Form :
Liquid
Storage Instruction :
Shipped at 4℃. Store at +4℃ short term (1-2 weeks). It is recommended to aliquot into single-use upon delivery. Store at -20℃ long term.
Purity :
Immunogen affinity purified.
Product type :
Rabbit polyclonal Antibody
Positive control :
HeLa cell lysate, L-929 cell lysate, C6 cell lysate, human liver tissue lysate, mouse liver tissue lysate, rat liver tissue lysate, human spleen tissue, human kidney tissue, human liver tissue, mouse liver tissue, mouse spleen tissue, mouse heart tissue, mouse kidney tissue.
Molecular wt :
Predicted band size: 12kDa
Subcellular location :
Mitochondrion intermembrane space
Concentration :
1 mg/mL.
Recommended dilutions :
WB: 1:1,000-1:5,000
;IHC-P: 1:50-1:200
Pic img4 :
https://storage.huabio.cn/huabio/productImg/R1510-41_4.jpg
Pic legend4 :
Immunohistochemical analysis of paraffin- embedded mouse liver tissue using anti-Cytochrome C rabbit polyclonal antibody.
Pic img5 :
https://storage.huabio.cn/huabio/productImg/R1510-41_5.jpg
Pic legend5 :
Immunohistochemical analysis of paraffin- embedded mouse spleen tissue using anti-Cytochrome C rabbit polyclonal antibody.
Pic img6 :
https://storage.huabio.cn/huabio/productImg/R1510-41_6.jpg
Pic legend6 :
Immunohistochemical analysis of paraffin- embedded mouse kidney tissue using anti-Cytochrome C rabbit polyclonal antibody.
Pic img7 :
https://storage.huabio.cn/huabio/productImg/R1510-41_7.jpg
Pic legend7 :
Immunohistochemical analysis of paraffin- embedded human liver tissue using anti-Cytochrome C rabbit polyclonal antibody.
Pic img8 :
https://storage.huabio.cn/huabio/productImg/R1510-41_8.jpg
Pic legend8 :
Immunohistochemical analysis of paraffin- embedded mouse heart tissue using anti-Cytochrome C rabbit polyclonal antibody.
more info or order :
company information

HUABIO
Founded in 2007, HUABIO is dedicated to developing high-quality antibodies that advance innovation. We are passionate about the accuracy, efficiency, and consistency of our products. That is why we have invested in new production platforms, like recombinant rabbit monoclonals, alpaca nanobodies, and adopted aggressive QA standards to deliver cutting-edge antibodies with uncompromised quality.
We hope to see you at your next discovery!
We hope to see you at your next discovery!
related products
browse more products
questions and comments
