product summary
Loading...
company name :
HUABIO
product type :
antibody
product name :
PP2A(alpha+beta)
catalog :
R1510-31
quantity :
100μl
price :
330 USD
clonality :
polyclonal
host :
domestic rabbit
conjugate :
nonconjugated
reactivity :
human, mouse, rat
application :
western blot, flow cytometry, immunohistochemistry - paraffin section
more info or order :
image
image 1 :

Western blot analysis on different cell lysates using anti-PP2A(alpha+beta) rabbit polyclonal antibody. Positive control: Lane 1: A431 Lane 2: HepG2 Lane 3: F9 Lane 4: PC-12
image 2 :

Immunocytochemical staining of Hela cells using anti-PP2A(alpha+beta) rabbit polyclonal antibody.
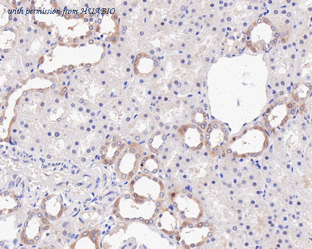
image 3 :

Immunohistochemical analysis of paraffin-embedded human kidney tissue with Rabbit anti-PP2A(alpha+beta) antibody (R1510-31) at 1/200 dilution.
The section was pre-treated using heat mediated antigen retrieval with Tris-EDTA buffer (pH 9.0) for 20 minutes. The tissues were blocked in 1% BSA for 20 minutes at room temperature, washed with ddH2O and PBS, and then probed with the primary antibody (R1510-31) at 1/200 dilution for 1 hour at room temperature. The detection was performed using an HRP conjugated compact polymer system. DAB was used as the chromogen. Tissues were counterstained with hematoxylin and mounted with DPX.
product information
SKU :
R1510-31
Target name :
PP2A(alpha+beta)
Species reactivity :
Human,Mouse,Rat
Applications :
WB,IF-Cell,IHC-P,FC
Conjugate :
Non-conjugated
Immunogen :
Synthetic peptide corresponding to of Human PP2A(alpha+beta) aa 260-309 / 309.
Uniprot id :
P67775>SwissProt: P67775 Human;SwissProt: P63$330 Mouse;SwissProt: P63331 Rat
Host :
Rabbit
Isotype :
IgG
Size :
100μl
List Price :
330 USD
Storage Buffer :
1*PBS (pH7.4), 0.2% BSA, 40% Glycerol. Preservative: 0.05% Sodium Azide.
Form :
Liquid
Storage Instruction :
Shipped at 4℃. Store at +4℃ short term (1-2 weeks). It is recommended to aliquot into single-use upon delivery. Store at -20℃ long term.
Purity :
Immunogen affinity purified.
Product type :
Rabbit polyclonal Antibody
Positive control :
Hela, A431, HepG2, PC12, human breast carcinoma tissue, human kidney tissue.
Molecular wt :
Predicted band size: 35kDa
Subcellular location :
Cytoplasm, Nucleus, Chromosome
Concentration :
1 mg/mL.
Recommended dilutions :
WB: 1:1,000-1:2,000
;IF-Cell: 1:50-1:200
;IHC-P: 1:50-1:200
;FC: 1:50-1:100
more info or order :
company information

HUABIO
Founded in 2007, HUABIO is dedicated to developing high-quality antibodies that advance innovation. We are passionate about the accuracy, efficiency, and consistency of our products. That is why we have invested in new production platforms, like recombinant rabbit monoclonals, alpaca nanobodies, and adopted aggressive QA standards to deliver cutting-edge antibodies with uncompromised quality.
We hope to see you at your next discovery!
We hope to see you at your next discovery!
related products
browse more products
questions and comments
