product summary
Loading...
company name :
HUABIO
product type :
antibody
product name :
KAP1
catalog :
R1210-2
quantity :
100μl
price :
330 USD
clonality :
polyclonal
host :
domestic rabbit
conjugate :
nonconjugated
reactivity :
human, mouse
application :
western blot, flow cytometry, immunohistochemistry - paraffin section
more info or order :
image
image 1 :

Western blot analysis of TRIM28 on different cell lysates using anti-TRIM28 antibody at 1/1,000 dilution.
Predicted band size: 89 kDa
Observed band size: 100 kDa
image 2 :

ICC staining TRIM28 in MCF-7 cells (green). The nuclear counter stain is DAPI (blue). Cells were fixed in paraformaldehyde, permeabilised with 0.25% Triton X100/PBS.
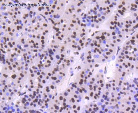
image 3 :

Immunohistochemical analysis of paraffin-embedded human liver cancer tissue using anti-TRIM28 antibody. Counter stained with hematoxylin.
product information
SKU :
R1210-2
Target name :
KAP1
Species reactivity :
Human,Mouse
Applications :
WB,IF-Cell,IHC-P,FC
Conjugate :
Non-conjugated
Immunogen :
Synthetic peptide within human TRIM28 aa 415-459.
Uniprot id :
Q13263>SwissProt: Q13263 Human;SwissProt: Q62318 Mouse
Host :
Rabbit
Isotype :
IgG
Size :
100μl
List Price :
330 USD
Storage Buffer :
1*PBS (pH7.4), 0.2% BSA, 40% Glycerol. Preservative: 0.05% Sodium Azide.
Form :
Liquid
Storage Instruction :
Shipped at 4℃. Store at +4℃ short term (1-2 weeks). It is recommended to aliquot into single-use upon delivery. Store at -20℃ long term.
Purity :
Immunogen affinity purified.
Product type :
Rabbit polyclonal Antibody
Positive control :
Hela, NCCIT, F9, PC-3M, MCF-7, A431, human liver cancer tissue, human spleen tissue, human breast cancer tissue, human kidney tissue, mouse colon tissue, mouse kidney tissue.
Molecular wt :
Predicted band size: 89 kDa
Subcellular location :
Nucleus
Concentration :
1 mg/mL.
Recommended dilutions :
WB: 1:500-1:2,000
;IF-Cell: 1:50-1:200
;IHC-P: 1:50-1:200
;FC: 1:50-1:100
Pic img4 :
https://storage.huabio.cn/huabio/productImg/R1210-2_4.jpg
Pic legend4 :
Immunohistochemical analysis of paraffin-embedded human spleen tissue using anti-TRIM28 antibody. Counter stained with hematoxylin.
Pic img5 :
https://storage.huabio.cn/huabio/productImg/R1210-2_5.jpg
Pic legend5 :
Immunohistochemical analysis of paraffin-embedded human breast cancer tissue using anti-TRIM28 antibody. Counter stained with hematoxylin.
Pic img6 :
https://storage.huabio.cn/huabio/productImg/R1210-2_6.jpg
Pic legend6 :
Immunohistochemical analysis of paraffin-embedded human kidney tissue using anti-TRIM28 antibody. Counter stained with hematoxylin.
Pic img7 :
https://storage.huabio.cn/huabio/productImg/R1210-2_7.jpg
Pic legend7 :
Immunohistochemical analysis of paraffin-embedded mouse colon tissue using anti-TRIM28 antibody. Counter stained with hematoxylin.
Pic img8 :
https://storage.huabio.cn/huabio/productImg/R1210-2_8.jpg
Pic legend8 :
Immunohistochemical analysis of paraffin-embedded mouse kidney tissue using anti-TRIM28 antibody. Counter stained with hematoxylin.
Pic img9 :
https://storage.huabio.cn/huabio/productImg/R1210-2_9.jpg
Pic legend9 :
Flow cytometric analysis of Hela cells with TRIM28 antibody at 1/100 dilution (blue) compared with an unlabelled control (cells without incubation with primary antibody; red). Alexa Fluor 488-conjugated goat anti-rabbit IgG was used as the secondary antibody.
more info or order :
company information

HUABIO
Founded in 2007, HUABIO is dedicated to developing high-quality antibodies that advance innovation. We are passionate about the accuracy, efficiency, and consistency of our products. That is why we have invested in new production platforms, like recombinant rabbit monoclonals, alpaca nanobodies, and adopted aggressive QA standards to deliver cutting-edge antibodies with uncompromised quality.
We hope to see you at your next discovery!
We hope to see you at your next discovery!
related products
browse more products
questions and comments
