product summary
Loading...
company name :
HUABIO
product type :
antibody
product name :
gamma tubulin
catalog :
M1701-13
quantity :
100μl
price :
360.00 USD
clonality :
monoclonal
host :
mouse
conjugate :
nonconjugated
clone name :
10-A4
reactivity :
human, mouse, rat
application :
western blot, immunohistochemistry - paraffin section
more info or order :
image
image 1 :

Western blot analysis of gamma tubulin on different lysates using anti-gamma tubulin antibody at 1/2,000 dilution.
Positive control:
Lane 1: Jurkat Lane 2: Hela Lane 3: Human fetal brain tissue
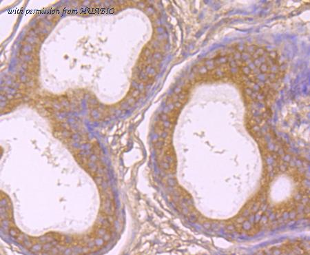
image 2 :

Immunohistochemical analysis of paraffin-embedded rat epididymis tissue using anti-gamma tubulin antibody. Counter stained with hematoxylin.
image 3 :

Immunohistochemical analysis of paraffin-embedded human tonsil tissue using anti-gamma tubulin antibody. Counter stained with hematoxylin.
product information
SKU :
M1701-13
Target name :
gamma tubulin
Species reactivity :
Human,Mouse,Rat
Applications :
WB,IHC-P,IF-Cell
Conjugate :
Non-conjugated
Immunogen :
Synthetic peptide within Human gamma tubulin aa 402-451 / 451.
Uniprot id :
P23258>SwissProt: P23258 Human;SwissProt: P83887 Mouse;SwissProt: P83888 Rat
Host :
Mouse
Clone number :
10-A4
Isotype :
IgG2a
Size :
100μl
List Price :
360.00 USD
Storage Buffer :
1*PBS (pH7.4), 0.2% BSA, 50% Glycerol. Preservative: 0.05% Sodium Azide.
Form :
Liquid
Storage Instruction :
Shipped at 4℃. Store at +4℃ short term (1-2 weeks). It is recommended to aliquot into single-use upon delivery. Store at -20℃ long term.
Purity :
Protein G affinity purified.
Product type :
Mouse monoclonal Antibody
Positive control :
Rat epididymis tissue, human tonsil tissue, human colon cancer tissue, mouse testis tissue.
Molecular wt :
Predicted band size: 51 kDa
Subcellular location :
Cytoplasm, cytoskeleton, centrosome.
Concentration :
2 mg/mL.
Recommended dilutions :
WB: 1:1,000-1:5,000
;IF-Cell: 1:100-1:500
;IHC-P: 1:50-1:200
Pic img4 :
https://storage.huabio.cn/huabio/productImg/M1701-13_4.jpg
Pic legend4 :
Immunohistochemical analysis of paraffin-embedded human colon cancer tissue using anti-gamma tubulin antibody. Counter stained with hematoxylin.
Pic img5 :
https://storage.huabio.cn/huabio/productImg/M1701-13_5.jpg
Pic legend5 :
Immunohistochemical analysis of paraffin-embedded mouse testis tissue using anti-gamma tubulin antibody. Counter stained with hematoxylin.
Pic img6 :
https://storage.huabio.cn/huabio/productImg/M1701-13_6.jpg
Pic legend6 :
Immunocytochemistry analysis of Hela cells labeling gamma tubulin with Mouse anti-gamma tubulin antibody (M1701-13) at 1/200 dilution.
Cells were fixed in 4% paraformaldehyde for 20 minutes at RT, permeabilized with 0.05% Triton X-100 in PBS for 20 minutes, and then blocked with 2% negative goat serum for 30 minutes at room temperature. Cells were then incubated with Mouse anti-gamma tubulin antibody (M1701-13) at 1/200 dilution in 2% negative goat serum overnight at 4 ℃. Goat Anti-Mouse IgG H&L (iFluor™ 488, HA1125) was used as the secondary antibody at 1/1,000 dilution. Nuclear DNA was labelled in blue with DAPI.
beta Tubulin (ET1602-4, red) was stained at 1/100 dilution overnight at +4℃. Goat Anti-Rabbit IgG H&L (iFluor™ 594, HA1122) were used as the secondary antibody at 1/1,000 dilution.
more info or order :
company information

HUABIO
Founded in 2007, HUABIO is dedicated to developing high-quality antibodies that advance innovation. We are passionate about the accuracy, efficiency, and consistency of our products. That is why we have invested in new production platforms, like recombinant rabbit monoclonals, alpaca nanobodies, and adopted aggressive QA standards to deliver cutting-edge antibodies with uncompromised quality.
We hope to see you at your next discovery!
We hope to see you at your next discovery!
related products
browse more products
questions and comments
