product summary
Loading...
company name :
HUABIO
product type :
antibody
product name :
GRP94
catalog :
M1701-12
quantity :
100μl
price :
360.00 USD
clonality :
monoclonal
host :
mouse
conjugate :
nonconjugated
clone name :
F1-D10-G3
reactivity :
human, mouse, rat
application :
western blot, immunohistochemistry - paraffin section
more info or order :
image
image 1 :

Western blot analysis of GRP94 on different lysates with Mouse anti-GRP94 antibody (M1701-12) at 1/1,000 dilution.
Lane 1: HepG2 cell lysate (10 µg/Lane)
Lane 2: HeLa cell lysate (10 µg/Lane)
Lane 3: Human brain tissue lysate (20 µg/Lane)
Lane 4: NIH/3T3 cell lysate (10 µg/Lane)
Lane 5: Mouse placenta tissue lysate (20 µg/Lane)
Lane 6: Mouse brain tissue lysate (20 µg/Lane)
Lane 7: PC-12 cell lysate (10 µg/Lane)
Lane 8: Rat placenta tissue lysate (20 µg/Lane)
Lane 9: Rat brain tissue lysate (20 µg/Lane)
Predicted band size: 92 kDa
Observed band size: 94 kDa
Exposure time: 25 seconds;
4-20% SDS-PAGE gel.
Proteins were transferred to a PVDF membrane and blocked with 5% NFDM/TBST for 1 hour at room temperature. The primary antibody (M1701-12) at 1/1,000 dilution was used in 5% NFDM/TBST at 4℃ overnight. Goat Anti-Mouse IgG - HRP Secondary Antibody (HA1006) at 1/50,000 dilution was used for 1 hour at room temperature.
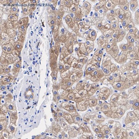
image 2 :

Immunohistochemical analysis of paraffin-embedded human liver tissue with Mouse anti-GRP94 antibody (M1701-12) at 1/200 dilution.
The section was pre-treated using heat mediated antigen retrieval with Tris-EDTA buffer (pH 9.0) for 20 minutes. The tissues were blocked in 1% BSA for 20 minutes at room temperature, washed with ddH2O and PBS, and then probed with the primary antibody (M1701-12) at 1/200 dilution for 1 hour at room temperature. The detection was performed using an HRP conjugated compact polymer system. DAB was used as the chromogen. Tissues were counterstained with hematoxylin and mounted with DPX.
image 3 :

Immunohistochemical analysis of paraffin-embedded human kidney tissue using anti-GRP94 antibody. Counter stained with hematoxylin.
product information
SKU :
M1701-12
Target name :
GRP94
Species reactivity :
Human,Mouse,Rat
Applications :
WB,IHC-P
Conjugate :
Non-conjugated
Immunogen :
Recombinant protein within Human GRP94 aa 201-400 / 803.
Uniprot id :
P14625>SwissProt: P14625 Human;SwissProt: P08113 Mouse;SwissProt: Q66HD0 Rat
Host :
Mouse
Clone number :
F1-D10-G3
Isotype :
IgM
Size :
100μl
List Price :
360.00 USD
Storage Buffer :
1*PBS (pH7.4), 0.2% BSA, 50% Glycerol. Preservative: 0.05% Sodium Azide.
Form :
Liquid
Storage Instruction :
Shipped at 4℃. Store at +4℃ short term (1-2 weeks). It is recommended to aliquot into single-use upon delivery. Store at -20℃ long term.
Purity :
Protein A affinity purified.
Product type :
Mouse monoclonal Antibody
Positive control :
HepG2 cell lysate, HeLa cell lysate, human brain tissue lysate, NIH/3T3 cell lysate, mouse placenta tissue lysate, mouse brain tissue lysate, PC-12 cell lysate, rat placenta tissue lysate, rat brain tissue lysate, human liver cancer tissue, human kidney tissue.
Molecular wt :
Predicted band size: 94 kDa
Subcellular location :
Endoplasmic reticulum lumen, melanosome.
Concentration :
2 mg/mL.
Recommended dilutions :
WB: 1:1,000-1:10,000
;IHC-P: 1:50-1:200
more info or order :
company information

HUABIO
Founded in 2007, HUABIO is dedicated to developing high-quality antibodies that advance innovation. We are passionate about the accuracy, efficiency, and consistency of our products. That is why we have invested in new production platforms, like recombinant rabbit monoclonals, alpaca nanobodies, and adopted aggressive QA standards to deliver cutting-edge antibodies with uncompromised quality.
We hope to see you at your next discovery!
We hope to see you at your next discovery!
related products
browse more products
questions and comments
