product summary
Loading...
company name :
HUABIO
product type :
antibody
product name :
C19orf35
catalog :
M1506-5
quantity :
100μl
price :
360.00 USD
clonality :
monoclonal
host :
mouse
conjugate :
nonconjugated
clone name :
3-B7
reactivity :
human
application :
immunohistochemistry - paraffin section
more info or order :
image
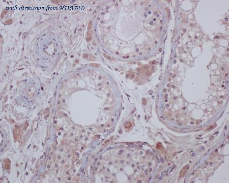
image 1 :

Immunohistochemical analysis of paraffin-embedded human testis tissue with Mouse anti-C19orf35 antibody (M1506-5) at 1/100 dilution.
The section was pre-treated using heat mediated antigen retrieval with Tris-EDTA buffer (pH 9.0) for 20 minutes. The tissues were blocked in 1% BSA for 20 minutes at room temperature, washed with ddH2O and PBS, and then probed with the primary antibody (M1506-5) at 1/100 dilution for 1 hour at room temperature. The detection was performed using an HRP conjugated compact polymer system. DAB was used as the chromogen. Tissues were counterstained with hematoxylin and mounted with DPX.
image 2 :

ICC staining C19orf35 in human embryonic stem cells (red). Cells were fixed in paraformaldehyde, permeabilised with 0.25% Triton X100/PBS.
image 3 :

ICC staining C19orf35 in Hela cells (red). Cells were fixed in paraformaldehyde, permeabilised with 0.25% Triton X100/PBS.
product information
SKU :
M1506-5
Target name :
C19orf35
Species reactivity :
Human,Mouse
Applications :
IF-Cell,IHC-P
Conjugate :
Non-conjugated
Immunogen :
Recombinant protein within Human C19orf35 aa 1-473 / 473.
Uniprot id :
Q6ZS72>SwissProt: Q6ZS72 Human
Host :
Mouse
Clone number :
3-B7
Isotype :
IgG1
Size :
100μl
List Price :
360.00 USD
Storage Buffer :
1*PBS (pH7.4), 0.2% BSA, 40% Glycerol. Preservative: 0.05% Sodium Azide.
Form :
Liquid
Storage Instruction :
Shipped at 4℃. Store at +4℃ short term (1-2 weeks). It is recommended to aliquot into single-use upon delivery. Store at -20℃ long term.
Purity :
Protein A affinity purified.
Product type :
Mouse monoclonal Antibody
Positive control :
Human testis tissue, Hela, hES cells
Molecular wt :
Predicted band size: 51 kDa
Subcellular location :
Actin cytoskeleton, focal adhesion.
Concentration :
2 mg/mL.
Recommended dilutions :
IHC-P: 1:200-1:500;IF-Cell: 1:200
more info or order :
company information

HUABIO
Founded in 2007, HUABIO is dedicated to developing high-quality antibodies that advance innovation. We are passionate about the accuracy, efficiency, and consistency of our products. That is why we have invested in new production platforms, like recombinant rabbit monoclonals, alpaca nanobodies, and adopted aggressive QA standards to deliver cutting-edge antibodies with uncompromised quality.
We hope to see you at your next discovery!
We hope to see you at your next discovery!
related products
browse more products
questions and comments
