product summary
Loading...
company name :
HUABIO
product type :
antibody
product name :
GRP78 / BIP
catalog :
M1506-2
quantity :
100μl
price :
360.00 USD
clonality :
monoclonal
host :
mouse
conjugate :
nonconjugated
clone name :
C9-9
reactivity :
human, mouse, rat, zebrafish
application :
western blot, immunohistochemistry - paraffin section
more info or order :
image
image 1 :

Western blot analysis of GRP78 / BIP on different lysates with Mouse anti-GRP78 / BIP antibody (M1506-2) at 1/1,000 dilution.
Lane 1: MCF7 cell lysate (15 µg/Lane)
Lane 2: HepG2 cell lysate (15 µg/Lane)
Lane 3: Human brain tissue lysate (30 µg/Lane)
Lane 4: Mouse brain tissue lysate (30 µg/Lane)
Lane 5: U-87 MG cell lysate (30 µg/Lane)
Lane 6: RAW264.7 cell lysate (30 µg/Lane)
Lane 7: RAW264.7 treated with 300nM Thapsigargin for 18 hours cell lysate (30 µg/Lane)
Lane 8: Mouse liver tissue lysate (30 µg/Lane)
Lane 9: Rat liver tissue lysate (30 µg/Lane)
Lane 10: Rat pancreas tissue lysate (30 µg/Lane)
Predicted band size: 72 kDa
Observed band size: 70/72 kDa
Exposure time: Lane 1-4: 11 seconds; Lane 5-10: 4 seconds; ECL: K1801;
4-20% SDS-PAGE gel.
Proteins were transferred to a PVDF membrane and blocked with 5% NFDM/TBST for 1 hour at room temperature. The primary antibody (M1506-2) at 1/1,000 dilution was used in 5% NFDM/TBST at 4℃ overnight. Goat Anti-Mouse IgG - HRP Secondary Antibody (HA1006) at 1/50,000 dilution was used for 1 hour at room temperature.
image 2 :

Immunohistochemical analysis of paraffin-embedded human liver tissue with Mouse anti-GRP78 / BIP antibody (M1506-2) at 1/1,000 dilution.
The section was pre-treated using heat mediated antigen retrieval with Tris-EDTA buffer (pH 9.0) for 20 minutes. The tissues were blocked in 1% BSA for 20 minutes at room temperature, washed with ddH2O and PBS, and then probed with the primary antibody (M1506-2) at 1/1,000 dilution for 1 hour at room temperature. The detection was performed using an HRP conjugated compact polymer system. DAB was used as the chromogen. Tissues were counterstained with hematoxylin and mounted with DPX.
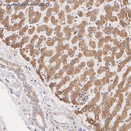
image 3 :

Immunohistochemical analysis of paraffin-embedded mouse liver tissue with Mouse anti-GRP78 / BIP antibody (M1506-2) at 1/1,000 dilution.
The section was pre-treated using heat mediated antigen retrieval with Tris-EDTA buffer (pH 9.0) for 20 minutes. The tissues were blocked in 1% BSA for 20 minutes at room temperature, washed with ddH2O and PBS, and then probed with the primary antibody (M1506-2) at 1/1,000 dilution for 1 hour at room temperature. The detection was performed using an HRP conjugated compact polymer system. DAB was used as the chromogen. Tissues were counterstained with hematoxylin and mounted with DPX.
product information
SKU :
M1506-2
Target name :
GRP78 / BIP
Species reactivity :
Human,Mouse,Rat,Zebrafish
Applications :
WB,IF-Cell,IHC-P
Conjugate :
Non-conjugated
Immunogen :
Recombinant protein within human GRP78 aa 100-400.
Uniprot id :
P11021>SwissProt: P11021 Human;SwissProt: P20029 Mouse;SwissProt: P06761 Rat
Host :
Mouse
Clone number :
C9-9
Isotype :
IgG1
Size :
100μl
List Price :
360.00 USD
Storage Buffer :
1*PBS (pH7.4), 0.2% BSA, 40% Glycerol. Preservative: 0.05% Sodium Azide.
Form :
Liquid
Storage Instruction :
Shipped at 4℃. Store at +4℃ short term (1-2 weeks). It is recommended to aliquot into single-use upon delivery. Store at -20℃ long term.
Purity :
Protein A affinity purified.
Product type :
Mouse monoclonal Antibody
Positive control :
MCF7 cell lysate, HepG2 cell lysate, Human brain tissue lysate, Mouse brain tissue lysate, U-87 MG cell lysate, RAW264.7 cell lysate, RAW264.7 treated with 300nM Thapsigargin for 18 hours cell lysate, Mouse liver tissue lysate, Rat liver tissue lysate, Rat pancreas tissue lysate, human liver tissue, mouse liver tissue, rat liver tissue, HepG2.
Molecular wt :
Predicted band size: 72 kDa
Subcellular location :
Cytoplasm, endoplasmic reticulum lumen
Concentration :
2 mg/mL.
Recommended dilutions :
WB: 1:1,000-1:5,000
;IF-Cell: 1:100
;IHC-P: 1:1,000
Advanced Validation :
Cell treatment (CT)
Pic img4 :
https://storage.huabio.cn/huabio/productImg/M1506-2_4.jpg
Pic legend4 :
Immunohistochemical analysis of paraffin-embedded rat liver tissue with Mouse anti-GRP78 / BIP antibody (M1506-2) at 1/1,000 dilution.
The section was pre-treated using heat mediated antigen retrieval with Tris-EDTA buffer (pH 9.0) for 20 minutes. The tissues were blocked in 1% BSA for 20 minutes at room temperature, washed with ddH2O and PBS, and then probed with the primary antibody (M1506-2) at 1/1,000 dilution for 1 hour at room temperature. The detection was performed using an HRP conjugated compact polymer system. DAB was used as the chromogen. Tissues were counterstained with hematoxylin and mounted with DPX.
Pic img5 :
https://storage.huabio.cn/huabio/productImg/M1506-2_5.jpg
Pic legend5 :
Immunocytochemistry analysis of HepG2 cells labeling GRP78 / BIP with Mouse anti-GRP78 / BIP antibody (M1506-2) at 1/100 dilution.
Cells were fixed in 4% paraformaldehyde for 20 minutes at room temperature, permeabilized with 0.1% Triton X-100 in PBS for 5 minutes at room temperature, then blocked with 1% BSA in 10% negative goat serum for 1 hour at room temperature. Cells were then incubated with Mouse anti-GRP78 / BIP antibody (M1506-2) at 1/100 dilution in 1% BSA in PBST overnight at 4 ℃. Goat Anti-Mouse IgG H&L (iFluor™ 488, HA1125) was used as the secondary antibody at 1/1,000 dilution. PBS instead of the primary antibody was used as the secondary antibody only control. Nuclear DNA was labelled in blue with DAPI.
beta Tubulin (ET1602-4, red) was stained at 1/100 dilution overnight at +4℃. Goat Anti-Rabbit IgG H&L (iFluor™ 594, HA1122) were used as the secondary antibody at 1/1,000 dilution.
more info or order :
company information

HUABIO
Founded in 2007, HUABIO is dedicated to developing high-quality antibodies that advance innovation. We are passionate about the accuracy, efficiency, and consistency of our products. That is why we have invested in new production platforms, like recombinant rabbit monoclonals, alpaca nanobodies, and adopted aggressive QA standards to deliver cutting-edge antibodies with uncompromised quality.
We hope to see you at your next discovery!
We hope to see you at your next discovery!
related products
browse more products
questions and comments
