product summary
Loading...
company name :
HUABIO
product type :
antibody
product name :
FAM62B
catalog :
M1009-1
quantity :
100μl
price :
360.00 USD
clonality :
monoclonal
host :
mouse
conjugate :
nonconjugated
clone name :
C4-D0
reactivity :
human, mouse, rat
application :
immunohistochemistry - paraffin section
more info or order :
image
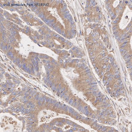
image 1 :

Immunohistochemical analysis of paraffin-embedded human colon cancer tissue with Mouse anti-FAM62B antibody (M1009-1) at 1/200 dilution.
The section was pre-treated using heat mediated antigen retrieval with Tris-EDTA buffer (pH 9.0) for 20 minutes. The tissues were blocked in 1% BSA for 20 minutes at room temperature, washed with ddH2O and PBS, and then probed with the primary antibody (M1009-1) at 1/200 dilution for 1 hour at room temperature. The detection was performed using an HRP conjugated compact polymer system. DAB was used as the chromogen. Tissues were counterstained with hematoxylin and mounted with DPX.
image 2 :

Immunohistochemical analysis of paraffin-embedded human kidney tissue with Mouse anti-FAM62B antibody (M1009-1) at 1/200 dilution.
The section was pre-treated using heat mediated antigen retrieval with Tris-EDTA buffer (pH 9.0) for 20 minutes. The tissues were blocked in 1% BSA for 20 minutes at room temperature, washed with ddH2O and PBS, and then probed with the primary antibody (M1009-1) at 1/200 dilution for 1 hour at room temperature. The detection was performed using an HRP conjugated compact polymer system. DAB was used as the chromogen. Tissues were counterstained with hematoxylin and mounted with DPX.
product information
SKU :
M1009-1
Target name :
FAM62B
Species reactivity :
Human,Mouse,Rat
Applications :
IHC-P
Conjugate :
Non-conjugated
Immunogen :
Recombinant protein within human FAM62B aa 300-550.
Uniprot id :
A0FGR8>SwissProt: A0FGR8 Human
Host :
Mouse
Clone number :
C4-D0
Isotype :
IgG1
Size :
100μl
List Price :
360.00 USD
Storage Buffer :
1*TBS (pH7.4), 0.2% BSA, 50% Glycerol. Preservative: 0.05% Sodium Azide.
Form :
Liquid
Storage Instruction :
Shipped at 4℃. Store at +4℃ short term (1-2 weeks). It is recommended to aliquot into single-use upon delivery. Store at -20℃ long term.
Purity :
Protein G affinity purified.
Product type :
Mouse monoclonal Antibody
Positive control :
Human colon cancer tissue, human kidney tissue.
Molecular wt :
Predicted band size: 102 kDa
Subcellular location :
Cell membrane, Endoplasmic reticulum, Membrane.
Concentration :
2 mg/mL.
Recommended dilutions :
IHC-P: 1:200
more info or order :
company information

HUABIO
Founded in 2007, HUABIO is dedicated to developing high-quality antibodies that advance innovation. We are passionate about the accuracy, efficiency, and consistency of our products. That is why we have invested in new production platforms, like recombinant rabbit monoclonals, alpaca nanobodies, and adopted aggressive QA standards to deliver cutting-edge antibodies with uncompromised quality.
We hope to see you at your next discovery!
We hope to see you at your next discovery!
browse more products
questions and comments
