product summary
Loading...
company name :
HUABIO
product type :
antibody
product name :
FAM3A
catalog :
M1008-10
quantity :
100μl
price :
360.00 USD
clonality :
monoclonal
host :
mouse
conjugate :
nonconjugated
clone name :
7-B9
reactivity :
human, mouse, rat
application :
western blot, flow cytometry, immunohistochemistry - paraffin section
more info or order :
image
image 1 :

Western blot analysis of FAM3A on rat smooth muscle tissue lysates with Mouse anti-FAM3A antibody (M1008-10) at 1/500 dilution.
Lysates/proteins at 20 µg/Lane.
Predicted band size: 25 kDa
Observed band size: 25 kDa
Exposure time: 30 seconds;
15% SDS-PAGE gel.
Proteins were transferred to a PVDF membrane and blocked with 5% NFDM/TBST for 1 hour at room temperature. The primary antibody (M1008-10) at 1/500 dilution was used in 5% NFDM/TBST at room temperature for 2 hours. Goat Anti-Mouse IgG - HRP Secondary Antibody (HA1006) at 1:100,000 dilution was used for 1 hour at room temperature.
image 2 :

Immunohistochemical analysis of paraffin-embedded human kidney tissue using anti-FAM3A antibody. Counter stained with hematoxylin.
image 3 :

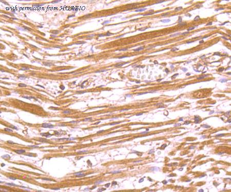
Immunohistochemical analysis of paraffin-embedded human fetal skeletal muscle tissue using anti-FAM3A antibody. Counter stained with hematoxylin.
product information
SKU :
M1008-10
Target name :
FAM3A
Species reactivity :
Human,Mouse,Rat
Applications :
WB,IHC-P,FC
Conjugate :
Non-conjugated
Immunogen :
Recombinant protein within Human FAM3A 1-230 / 230.
Uniprot id :
P98173>SwissProt: P98173 Human;SwissProt: Q9D8T0 Mouse;Entrez Gene: 501664 Rat
Host :
Mouse
Clone number :
7-B9
Isotype :
IgG1
Size :
100μl
List Price :
360.00 USD
Storage Buffer :
1*PBS (pH7.4), 0.2% BSA, 50% Glycerol. Preservative: 0.05% Sodium Azide.
Form :
Liquid
Storage Instruction :
Shipped at 4℃. Store at +4℃ short term (1-2 weeks). It is recommended to aliquot into single-use upon delivery. Store at -20℃ long term.
Purity :
Protein A affinity purified.
Product type :
Mouse monoclonal Antibody
Positive control :
Rat smooth muscle tissue lysates, human kidney tissue, human fetal skeletal muscle tissue, mouse heart tissue, A431.
Molecular wt :
Predicted band size: 25 kDa
Subcellular location :
Secreted.
Concentration :
2 mg/mL.
Recommended dilutions :
WB: 1:2,000-1:5,000
;IHC-P: 1:50-1:200
;FC: 1:50-1:200
Pic img4 :
https://storage.huabio.cn/huabio/productImg/M1008-10_4.jpg
Pic legend4 :
Immunohistochemical analysis of paraffin-embedded mouse heart tissue using anti-FAM3A antibody. Counter stained with hematoxylin.
Pic img5 :
https://storage.huabio.cn/huabio/productImg/M1008-10_5.jpg
Pic legend5 :
Flow cytometric analysis of A431 cells with FAM3A antibody at 1/100 dilution (red) compared with an unlabelled control (cells without incubation with primary antibody; black).
more info or order :
company information

HUABIO
Founded in 2007, HUABIO is dedicated to developing high-quality antibodies that advance innovation. We are passionate about the accuracy, efficiency, and consistency of our products. That is why we have invested in new production platforms, like recombinant rabbit monoclonals, alpaca nanobodies, and adopted aggressive QA standards to deliver cutting-edge antibodies with uncompromised quality.
We hope to see you at your next discovery!
We hope to see you at your next discovery!
browse more products
questions and comments
