product summary
Loading...
company name :
HUABIO
product type :
antibody
product name :
HA tag
catalog :
M1008-1
quantity :
100μl
price :
360.00 USD
clonality :
monoclonal
host :
mouse
conjugate :
nonconjugated
clone name :
2-G10
application :
western blot, immunohistochemistry - paraffin section
more info or order :
image
image 1 :

Western blot analysis of HA tag on different lysates with Mouse anti-HA tag antibody (M1008-1) at 1/10,000 dilution.
Lane 1: 293T cell lysate
Lane 2: 293T transfected with HA-tagged Nanos homolog 3 (N-terminal) cell lysate
Lane 3: 293T transfected with HA-tagged LIPT1 (N-terminal) cell lysate
Lysates/proteins at 10 µg/Lane.
Exposure time: 4 seconds; ECL: K1801;
4-20% SDS-PAGE gel.
Proteins were transferred to a PVDF membrane and blocked with 5% NFDM/TBST for 1 hour at room temperature. The primary antibody (M1008-1) at 1/10,000 dilution was used in 5% NFDM/TBST at 4℃ overnight. Goat Anti-Mouse IgG - HRP Secondary Antibody (HA1006) at 1/50,000 dilution was used for 1 hour at room temperature.
image 2 :

Western blot analysis of HA tag on different lysates with Mouse anti-HA tag antibody (M1008-1) at 1/25,000 dilution.
Lane 1: 293T cell lysate (10 µg/Lane)
Lane 2: 293T transfected with HA-tagged Nanos homolog 3 (N-terminal) cell lysate (10 µg/Lane)
Lane 3: 293T transfected with HA-tagged CLK4 (C-terminal) cell lysate (20 µg/Lane)
Exposure time: 1minute 50 seconds; ECL: K1801;
4-20% SDS-PAGE gel.
Proteins were transferred to a PVDF membrane and blocked with 5% NFDM/TBST for 1 hour at room temperature. The primary antibody (M1008-1) at 1/25,000 dilution was used in 5% NFDM/TBST at 4℃ overnight. Goat Anti-Mouse IgG - HRP Secondary Antibody (HA1006) at 1/50,000 dilution was used for 1 hour at room temperature.
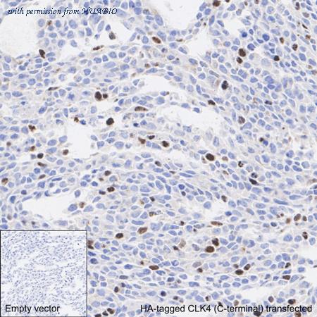
image 3 :

Immunohistochemical analysis of paraffin-embedded 293T cells transfected with HA-tagged CLK4 (C-terminal) with Mouse anti-HA tag antibody (M1008-1) at 1/1,000 dilution.
The section was pre-treated using heat mediated antigen retrieval with Tris-EDTA buffer (pH 9.0) for 20 minutes. The tissues were blocked in 1% BSA for 20 minutes at room temperature, washed with ddH2O and PBS, and then probed with the primary antibody (M1008-1) at 1/1,000 dilution for 1 hour at room temperature. The detection was performed using an HRP conjugated compact polymer system. DAB was used as the chromogen. Tissues were counterstained with hematoxylin and mounted with DPX.
product information
SKU :
M1008-1
Target name :
HA tag
Species reactivity :
Species independent
Applications :
WB,IHC-P,IF-Cell
Conjugate :
Non-conjugated
Immunogen :
Synthetic peptide corresponding to HA tag conjugated to KLH.
Uniprot id :
>
Host :
Mouse
Clone number :
2-G10
Isotype :
IgG1
Size :
100μl
List Price :
360.00 USD
Storage Buffer :
PBS (pH7.4), 0.1% BSA, 40% Glycerol. Preservative: 0.05% Sodium Azide.
Form :
Liquid
Storage Instruction :
Shipped at 4℃. Store at +4℃ short term (1-2 weeks). It is recommended to aliquot into single-use upon delivery. Store at -20℃ long term.
Purity :
Protein A affinity purified.
Product type :
Recombinant Mouse monoclonal Antibody
Concentration :
1 mg/mL.
Recommended dilutions :
WB: 1:10,000-1:25,000
;IHC-P: 1:1,000-1:10,000
;IF-Cell: 1:1,000
Pic img4 :
https://storage.huabio.cn/huabio/productImg/M1008-1_4.jpg
Pic legend4 :
Immunohistochemical analysis of paraffin-embedded 293T cells transfected with HA-tagged Nanos homolog 3 (N-terminal) with Mouse anti-HA tag antibody (M1008-1) at 1/10,000 dilution.
The section was pre-treated using heat mediated antigen retrieval with Tris-EDTA buffer (pH 9.0) for 20 minutes. The tissues were blocked in 1% BSA for 20 minutes at room temperature, washed with ddH2O and PBS, and then probed with the primary antibody (M1008-1) at 1/10,000 dilution for 1 hour at room temperature. The detection was performed using an HRP conjugated compact polymer system. DAB was used as the chromogen. Tissues were counterstained with hematoxylin and mounted with DPX.
Pic img5 :
https://storage.huabio.cn/huabio/productImg/M1008-1_5.jpg
Pic legend5 :
Immunocytochemistry analysis of 293T cells labeling HA tag with Mouse anti-HA tag antibody (M1008-1) at 1/1,000 dilution.
293T cells, transfected with empty control (upper, negative) / HA-tagged Nanos homolog 3 (N-terminal) (lower, positive) expression vector, respectively, were fixed in 4% paraformaldehyde for 15 minutes at room temperature, permeabilized with 0.1% Triton X-100 in PBS for 15 minutes at room temperature, then blocked with 1% BSA in 10% negative goat serum for 1 hour at room temperature. Cells were then incubated with Mouse anti-HA tag antibody (M1008-1) at 1/1,000 dilution in 1% BSA in PBST overnight at 4 ℃. Goat Anti-Mouse IgG H&L (iFluor™ 488, HA1125) was used as the secondary antibody at 1/1,000 dilution. PBS instead of the primary antibody was used as the secondary antibody only control. Nuclear DNA was labelled in blue with DAPI.
beta Tubulin (ET1602-4, red) was stained at 1/100 dilution overnight at +4℃. Goat Anti-Rabbit IgG H&L (iFluor™ 594, HA1122) were used as the secondary antibody at 1/1,000 dilution.
more info or order :
company information

HUABIO
Founded in 2007, HUABIO is dedicated to developing high-quality antibodies that advance innovation. We are passionate about the accuracy, efficiency, and consistency of our products. That is why we have invested in new production platforms, like recombinant rabbit monoclonals, alpaca nanobodies, and adopted aggressive QA standards to deliver cutting-edge antibodies with uncompromised quality.
We hope to see you at your next discovery!
We hope to see you at your next discovery!
browse more products
questions and comments
