product summary
Loading...
company name :
HUABIO
product type :
antibody
product name :
CD80
catalog :
M1007-10
quantity :
100μl
price :
360.00 USD
clonality :
monoclonal
host :
mouse
conjugate :
nonconjugated
clone name :
8-E5
reactivity :
human, mouse
application :
western blot, flow cytometry, immunohistochemistry - paraffin section
more info or order :
image
image 1 :

Western blot analysis of CD80 on human brain tissue lysates with Mouse anti-CD80 antibody (M1007-10) at 1/1,000 dilution.
Lysates/proteins at 40 µg/Lane.
Predicted band size: 33 kDa
Observed band size: 60 kDa
Exposure time: 3 minutes 10 seconds;
4-20% SDS-PAGE gel.
Proteins were transferred to a PVDF membrane and blocked with 5% NFDM/TBST for 1 hour at room temperature. The primary antibody (M1007-10) at 1/1,000 dilution was used in 5% NFDM/TBST at 4℃ overnight. Goat Anti-Mouse IgG - HRP Secondary Antibody (HA1006) at 1/50,000 dilution was used for 1 hour at room temperature.
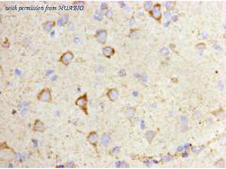
image 2 :

Immunohistochemical analysis of paraffin- embedded human brain tissue using using anti-CD80 Mouse mAb (Cat. # M1007-10).
image 3 :

Flow cytometric analysis of HUVEC (left, negative) and Raji (right, positive) cells labeling CD80.
Cells were washed twice with cold PBS and resuspend. Then stained with the primary antibody (M1007-10, 1/1,000) (red) compared with Mouse IgG Isotype Control (green). After incubation of the primary antibody at +4℃ for an hour, the cells were stained with a iFluor™ 488 conjugate-Goat anti-Mouse IgG Secondary antibody (HA1125) at 1/1,000 dilution for 30 minutes at +4℃. Unlabelled sample was used as a control (cells without incubation with primary antibody; black).
product information
SKU :
M1007-10
Target name :
CD80
Species reactivity :
Human,Mouse
Applications :
WB,IHC-P,FC
Conjugate :
Non-conjugated
Immunogen :
Synthetic peptide within human CD80 aa 74-118 / 288.
Uniprot id :
P33681>SwissProt: P33681 Human;SwissProt: Q00609 Mouse
Host :
Mouse
Clone number :
8-E5
Isotype :
IgG2b
Size :
100μl
List Price :
360.00 USD
Storage Buffer :
1*PBS (pH7.4), 0.2% BSA, 40% Glycerol. Preservative: 0.05% Sodium Azide.
Form :
Liquid
Storage Instruction :
Shipped at 4℃. Store at +4℃ short term (1-2 weeks). It is recommended to aliquot into single-use upon delivery. Store at -20℃ long term.
Purity :
Protein A affinity purified.
Product type :
Mouse monoclonal Antibody
Positive control :
Human brain tissue lysates, human brain tissue, Raji.
Molecular wt :
Predicted band size: 33 kDa
Subcellular location :
Membrane
Concentration :
2 mg/mL.
Recommended dilutions :
WB: 1:1,000
;IHC-P: 1:50
;FC: 1:1,000
Advanced Validation :
Relative expression (RE)
more info or order :
company information

HUABIO
Founded in 2007, HUABIO is dedicated to developing high-quality antibodies that advance innovation. We are passionate about the accuracy, efficiency, and consistency of our products. That is why we have invested in new production platforms, like recombinant rabbit monoclonals, alpaca nanobodies, and adopted aggressive QA standards to deliver cutting-edge antibodies with uncompromised quality.
We hope to see you at your next discovery!
We hope to see you at your next discovery!
related products
browse more products
questions and comments
