product summary
Loading...
company name :
HUABIO
product type :
antibody
product name :
SLC12A1 / NKCC2
catalog :
IRS236RB
quantity :
50T
price :
278.00 USD
clonality :
monoclonal
host :
domestic rabbit
conjugate :
nonconjugated
reactivity :
mouse
more info or order :
image
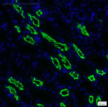
image 1 :

mIHC analysis of mouse kidney tissue (Formalin/PFA-fixed paraffin-embedded sections) with Rabbit anti-SLC12A1 / NKCC2 antibody (IRS236RB) at 1/100 dilution. The immunostaining was performed with the IRISKitCmTSA Kit (900808). Heat mediated antigen retrieval with Tris-EDTA buffer (pH 9.0) for 30 mins at 95℃. DAPI (blue) was used as a nuclear counter stain. Image acquisition was performed with Olympus VS200 Slide Scanner.
product information
SKU :
IRS236RB
Target name :
SLC12A1 / NKCC2
Species reactivity :
Mouse
Applications :
mIHC
Conjugate :
Non-conjugated
Immunogen :
Recombinant protein within Human SLC12A1 / NKCC2 aa 593-813 / 1,099.
Uniprot id :
P55014>SwissProt: P55014 Mouse
Host :
Rabbit
Isotype :
IgG
Size :
50T
List Price :
278.00 USD
Storage Buffer :
PBS (pH7.4), 0.1% BSA, 40% Glycerol. Preservative: 0.05% Sodium Azide.
Form :
Liquid
Storage Instruction :
Shipped at 4℃. Store at +4℃ short term (1-2 weeks). It is recommended to aliquot into single-use upon delivery. Store at -20℃ long term.
Purity :
Protein A affinity purified.
Product type :
Recombinant Rabbit monoclonal Antibody
Positive control :
Mouse kidney tissue.
Molecular wt :
Predicted band size: 121 kDa
Subcellular location :
Cell membrane
Recommended dilutions :
mIHC: 1:100
more info or order :
company information

HUABIO
Founded in 2007, HUABIO is dedicated to developing high-quality antibodies that advance innovation. We are passionate about the accuracy, efficiency, and consistency of our products. That is why we have invested in new production platforms, like recombinant rabbit monoclonals, alpaca nanobodies, and adopted aggressive QA standards to deliver cutting-edge antibodies with uncompromised quality.
We hope to see you at your next discovery!
We hope to see you at your next discovery!
related products
browse more products
questions and comments
