product summary
Loading...
company name :
HUABIO
product type :
antibody
product name :
IL-33
catalog :
HA751625
quantity :
100μl
price :
385.00 USD
clonality :
monoclonal
host :
domestic rabbit
conjugate :
nonconjugated
clone name :
PSH17-37
reactivity :
mouse, rat
application :
western blot, immunohistochemistry - paraffin section
more info or order :
image
image 1 :

Western blot analysis of IL-33 on different lysates with Rabbit anti-IL-33 antibody (HA751625) at 1/5,000 dilution.
Lane 1: RAW264.7 cell lysate
Lane 2: RAW264.7 treated with 100nM TPA overnight then 100ng/mL LPS for 7 hours add 1μg/mL BFA for last 3 hours cell lysate
Lane 3: Mouse lung tissue lysate
Lane 4: Mouse brain tissue lysate (negative)
Lane 5: Rat lung tissue lysate
Lysates/proteins at 20 µg/Lane.
Predicted band size: 30 kDa
Observed band size: 35 kDa
Exposure time: 3 minutes; ECL: K1801;
4-20% SDS-PAGE gel.
Proteins were transferred to a PVDF membrane and blocked with 5% NFDM/TBST for 1 hour at room temperature. The primary antibody (HA751625) at 1/5,000 dilution was used in primary antibody dilution (K1803) at 4℃ overnight. Goat Anti-Rabbit IgG - HRP Secondary Antibody (HA1001) at 1/50,000 dilution was used for 1 hour at room temperature.
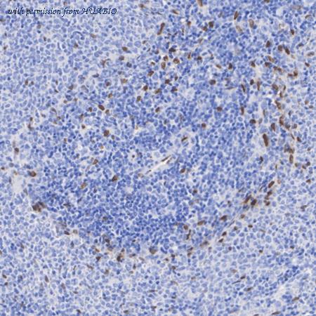
image 2 :

Immunohistochemical analysis of paraffin-embedded mouse spleen tissue with Rabbit anti-IL-33 antibody (HA751625) at 1/1,000 dilution.
The section was pre-treated using heat mediated antigen retrieval with Tris-EDTA buffer (pH 9.0) for 20 minutes. The tissues were blocked in 1% BSA for 20 minutes at room temperature, washed with ddH2O and PBS, and then probed with the primary antibody (HA751625) at 1/1,000 dilution for 1 hour at room temperature. The detection was performed using an HRP conjugated compact polymer system. DAB was used as the chromogen. Tissues were counterstained with hematoxylin and mounted with DPX.
image 3 :

Immunohistochemical analysis of paraffin-embedded rat spleen tissue with Rabbit anti-IL-33 antibody (HA751625) at 1/1,000 dilution.
The section was pre-treated using heat mediated antigen retrieval with Tris-EDTA buffer (pH 9.0) for 20 minutes. The tissues were blocked in 1% BSA for 20 minutes at room temperature, washed with ddH2O and PBS, and then probed with the primary antibody (HA751625) at 1/1,000 dilution for 1 hour at room temperature. The detection was performed using an HRP conjugated compact polymer system. DAB was used as the chromogen. Tissues were counterstained with hematoxylin and mounted with DPX.
product information
SKU :
HA751625
Target name :
IL-33
Species reactivity :
Mouse,Rat
Applications :
WB,IHC-P
Conjugate :
Non-conjugated
Immunogen :
Recombinant protein within mouse IL-33 aa 81-266.
Uniprot id :
Q8BVZ5>SwissProt: Q8BVZ5 Mouse;SwissProt: Q66H70 Rat
Host :
Rabbit
Clone number :
PSH17-37
Isotype :
IgG
Size :
100μl
List Price :
385.00 USD
Storage Buffer :
PBS (pH7.4).
Form :
Liquid
Storage Instruction :
Store at +4℃ after thawing. Aliquot store at -20℃. Avoid repeated freeze / thaw cycles.
Purity :
Protein A affinity purified.
Product type :
Recombinant Rabbit monoclonal Antibody
Positive control :
RAW264.7 treated with 100nM TPA overnight then 100ng/mL LPS for 7 hours add 1μg/mL BFA for last 3 hours cell lysate, Mouse lung tissue lysate, Rat lung tissue lysate, mouse spleen tissue, rat spleen tissue, rat lung tissue.
Molecular wt :
Predicted band size: 30 kDa
Subcellular location :
Nucleus, Chromosome, Cytoplasm, Cytoplasmic vesicle, secretory vesicle, Secreted.
Concentration :
1 mg/mL.
Recommended dilutions :
WB: 1:5,000
;IHC-P: 1:1,000
Advanced Validation :
Relative expression (RE),Cell treatment (CT)
Pic img4 :
https://storage.huabio.cn/huabio/productImg/HA751625_4.jpg
Pic legend4 :
Immunohistochemical analysis of paraffin-embedded rat lung tissue with Rabbit anti-IL-33 antibody (HA751625) at 1/1,000 dilution.
The section was pre-treated using heat mediated antigen retrieval with Tris-EDTA buffer (pH 9.0) for 20 minutes. The tissues were blocked in 1% BSA for 20 minutes at room temperature, washed with ddH2O and PBS, and then probed with the primary antibody (HA751625) at 1/1,000 dilution for 1 hour at room temperature. The detection was performed using an HRP conjugated compact polymer system. DAB was used as the chromogen. Tissues were counterstained with hematoxylin and mounted with DPX.
more info or order :
company information

HUABIO
Founded in 2007, HUABIO is dedicated to developing high-quality antibodies that advance innovation. We are passionate about the accuracy, efficiency, and consistency of our products. That is why we have invested in new production platforms, like recombinant rabbit monoclonals, alpaca nanobodies, and adopted aggressive QA standards to deliver cutting-edge antibodies with uncompromised quality.
We hope to see you at your next discovery!
We hope to see you at your next discovery!
related products
browse more products
questions and comments
