product summary
Loading...
company name :
HUABIO
product type :
antibody
product name :
USP15
catalog :
HA751585
quantity :
100μl
price :
385.00 USD
clonality :
monoclonal
host :
domestic rabbit
conjugate :
nonconjugated
clone name :
PSH15-94
reactivity :
human, mouse, rat
application :
western blot, immunoprecipitation, immunohistochemistry - paraffin section
more info or order :
image
image 1 :

Western blot analysis of USP15 on different lysates with Rabbit anti-USP15 antibody (HA751585) at 1/20,000 dilution.
Lane 1: HeLa cell lysate (20 µg/Lane)
Lane 2: K-562 cell lysate (20 µg/Lane)
Lane 3: NIH/3T3 cell lysate (20 µg/Lane)
Lane 4: PC-12 cell lysate (20 µg/Lane)
Lane 5: COS-1 cell lysate (20 µg/Lane)
Lane 6: Mouse liver tissue lysate (40 µg/Lane)
Lane 7: Rat liver tissue lysate (40 µg/Lane)
Predicted band size: 112 kDa
Observed band size: 112 kDa
Exposure time: 4 seconds; ECL: K1801;
4-20% SDS-PAGE gel.
Proteins were transferred to a PVDF membrane and blocked with 5% NFDM/TBST for 1 hour at room temperature. The primary antibody (HA751585) at 1/20,000 dilution was used in 5% NFDM/TBST at 4℃ overnight. Goat Anti-Rabbit IgG - HRP Secondary Antibody (HA1001) at 1/50,000 dilution was used for 1 hour at room temperature.
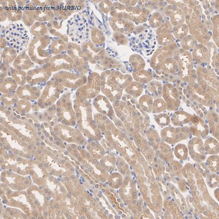
image 2 :

Immunohistochemical analysis of paraffin-embedded mouse kidney tissue with Rabbit anti-USP15 antibody (HA751585) at 1/1,000 dilution.
The section was pre-treated using heat mediated antigen retrieval with Tris-EDTA buffer (pH 9.0) for 20 minutes. The tissues were blocked in 1% BSA for 20 minutes at room temperature, washed with ddH2O and PBS, and then probed with the primary antibody (HA751585) at 1/1,000 dilution for 1 hour at room temperature. The detection was performed using an HRP conjugated compact polymer system. DAB was used as the chromogen. Tissues were counterstained with hematoxylin and mounted with DPX.
image 3 :

Immunohistochemical analysis of paraffin-embedded mouse liver tissue with Rabbit anti-USP15 antibody (HA751585) at 1/200 dilution.
The section was pre-treated using heat mediated antigen retrieval with Tris-EDTA buffer (pH 9.0) for 20 minutes. The tissues were blocked in 1% BSA for 20 minutes at room temperature, washed with ddH2O and PBS, and then probed with the primary antibody (HA751585) at 1/200 dilution for 1 hour at room temperature. The detection was performed using an HRP conjugated compact polymer system. DAB was used as the chromogen. Tissues were counterstained with hematoxylin and mounted with DPX.
product information
SKU :
HA751585
Target name :
USP15
Species reactivity :
Human,Mouse,Rat,Monkey
Applications :
WB,IHC-P,IP
Conjugate :
Non-conjugated
Immunogen :
Recombinant protein within human USP15 aa 500-795.
Uniprot id :
Q9Y4E8>SwissProt: Q9Y4E8 Human;SwissProt: Q8R5H1 Mouse;SwissProt: Q9R085 Rat
Host :
Rabbit
Clone number :
PSH15-94
Isotype :
IgG
Size :
100μl
List Price :
385.00 USD
Storage Buffer :
PBS (pH7.4).
Form :
Liquid
Storage Instruction :
Store at +4℃ after thawing. Aliquot store at -20℃. Avoid repeated freeze / thaw cycles.
Purity :
Protein A affinity purified.
Product type :
Recombinant Rabbit monoclonal Antibody
Positive control :
HeLa cell lysate, K-562 cell lysate, NIH/3T3 cell lysate, PC-12 cell lysate, COS-1 cell lysate, Mouse liver tissue lysate, Rat liver tissue lysate, mouse kidney tissue, mouse liver tissue, rat kidney tissue, rat liver tissue.
Molecular wt :
Predicted band size: 112 kDa
Subcellular location :
Cytoplasm, Nucleus, Mitochondrion.
Concentration :
1 mg/mL.
Recommended dilutions :
WB: 1:20,000
;IHC-P: 1:200-1:1,000
;IP: 1-2μg/sample
Pic img4 :
https://storage.huabio.cn/huabio/productImg/HA751585_4.jpg
Pic legend4 :
Immunohistochemical analysis of paraffin-embedded rat kidney tissue with Rabbit anti-USP15 antibody (HA751585) at 1/1,000 dilution.
The section was pre-treated using heat mediated antigen retrieval with Tris-EDTA buffer (pH 9.0) for 20 minutes. The tissues were blocked in 1% BSA for 20 minutes at room temperature, washed with ddH2O and PBS, and then probed with the primary antibody (HA751585) at 1/1,000 dilution for 1 hour at room temperature. The detection was performed using an HRP conjugated compact polymer system. DAB was used as the chromogen. Tissues were counterstained with hematoxylin and mounted with DPX.
Pic img5 :
https://storage.huabio.cn/huabio/productImg/HA751585_5.jpg
Pic legend5 :
Immunohistochemical analysis of paraffin-embedded rat liver tissue with Rabbit anti-USP15 antibody (HA751585) at 1/1,000 dilution.
The section was pre-treated using heat mediated antigen retrieval with Tris-EDTA buffer (pH 9.0) for 20 minutes. The tissues were blocked in 1% BSA for 20 minutes at room temperature, washed with ddH2O and PBS, and then probed with the primary antibody (HA751585) at 1/1,000 dilution for 1 hour at room temperature. The detection was performed using an HRP conjugated compact polymer system. DAB was used as the chromogen. Tissues were counterstained with hematoxylin and mounted with DPX.
Pic img6 :
https://storage.huabio.cn/huabio/productImg/HA751585_6.jpg
Pic legend6 :
USP15 was immunoprecipitated from 0.2 mg HeLa cell lysate with HA751585 at 2 µg/10 µl beads. Western blot was performed from the immunoprecipitate using HA751585 at 1/5,000 dilution. HRP Conjugated Anti-Rabbit IgG for IP Nano-secondary antibody at 1/5,000 dilution was used for 1 hour at room temperature.
Lane 1: HeLa cell lysate (input)
Lane 2: HA751585 IP in HeLa cell lysate
Lane 3: Rabbit IgG instead of HA751585 in HeLa cell lysate
Blocking/Dilution buffer: primary antibody dilution (K1803)
Exposure time: 25 seconds; ECL: K1801
more info or order :
company information

HUABIO
Founded in 2007, HUABIO is dedicated to developing high-quality antibodies that advance innovation. We are passionate about the accuracy, efficiency, and consistency of our products. That is why we have invested in new production platforms, like recombinant rabbit monoclonals, alpaca nanobodies, and adopted aggressive QA standards to deliver cutting-edge antibodies with uncompromised quality.
We hope to see you at your next discovery!
We hope to see you at your next discovery!
browse more products
questions and comments
