product summary
Loading...
company name :
HUABIO
product type :
antibody
product name :
Caspase-7
catalog :
HA751482
quantity :
100μl
price :
649.00 USD
clonality :
monoclonal
host :
domestic rabbit
conjugate :
nonconjugated
clone name :
PSH13-69
reactivity :
human, mouse, rat
application :
western blot, immunohistochemistry - paraffin section
more info or order :
image
image 1 :

Western blot analysis of Caspase-7 on different lysates with Rabbit anti-Caspase-7 antibody (HA751482) at 1/5,000 dilution.
Lane 1: HeLa cell lysate
Lane 2: HeLa treated with 1μM staurosporine for 3 hours cell lysate
Lane 3: C2C12 cell lysate
Lane 4: C2C12 treated with 1μM staurosporine for 3 hours cell lysate
Lysates/proteins at 20 µg/Lane.
Predicted band size: 34 kDa
Observed band size: 34/32/20/18 kDa
Exposure time: 2 minute 30 seconds; ECL: K1801;
4-20% SDS-PAGE gel.
Proteins were transferred to a PVDF membrane and blocked with 5% NFDM/TBST for 1 hour at room temperature. The primary antibody (HA751482) at 1/5,000 dilution was used in primary antibody dilution (K1803) at 4℃ overnight. Goat Anti-Rabbit IgG - HRP Secondary Antibody (HA1001) at 1/50,000 dilution was used for 1 hour at room temperature.
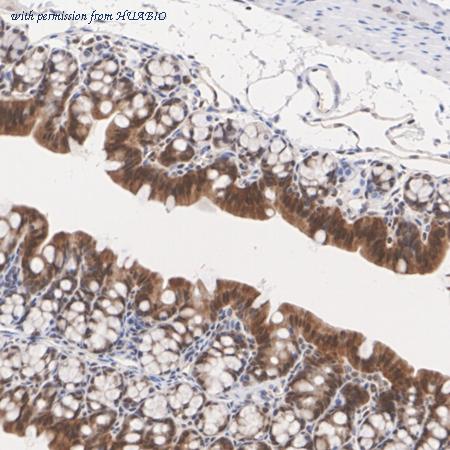
image 2 :

Immunohistochemical analysis of paraffin-embedded human colon tissue with Rabbit anti-Caspase-7 antibody (HA751482) at 1/200 dilution.
The section was pre-treated using heat mediated antigen retrieval with Tris-EDTA buffer (pH 9.0) for 20 minutes. The tissues were blocked in 1% BSA for 20 minutes at room temperature, washed with ddH2O and PBS, and then probed with the primary antibody (HA751482) at 1/200 dilution for 1 hour at room temperature. The detection was performed using an HRP conjugated compact polymer system. DAB was used as the chromogen. Tissues were counterstained with hematoxylin and mounted with DPX.
image 3 :

Immunohistochemical analysis of paraffin-embedded mouse colon tissue with Rabbit anti-Caspase-7 antibody (HA751482) at 1/1,000 dilution.
The section was pre-treated using heat mediated antigen retrieval with Tris-EDTA buffer (pH 9.0) for 20 minutes. The tissues were blocked in 1% BSA for 20 minutes at room temperature, washed with ddH2O and PBS, and then probed with the primary antibody (HA751482) at 1/1,000 dilution for 1 hour at room temperature. The detection was performed using an HRP conjugated compact polymer system. DAB was used as the chromogen. Tissues were counterstained with hematoxylin and mounted with DPX.
product information
SKU :
HA751482
Target name :
Caspase-7
Species reactivity :
Human,Mouse,Rat
Applications :
WB,IHC-P
Conjugate :
Non-conjugated
Immunogen :
Recombinant protein within human Caspase-7 aa 1-303.
Uniprot id :
P55210>SwissProt: P55210 Human;SwissProt: P97864 Mouse;Entrez Gene: 64026 Rat
Host :
Rabbit
Clone number :
PSH13-69
Isotype :
IgG
Size :
100μl
List Price :
649.00 USD
Storage Buffer :
PBS (pH7.4).
Form :
Liquid
Storage Instruction :
Store at +4℃ after thawing. Aliquot store at -20℃. Avoid repeated freeze / thaw cycles.
Purity :
Protein A affinity purified.
Product type :
Recombinant Rabbit monoclonal Antibody
Positive control :
HeLa cell lysate, HeLa treated with 1μM staurosporine for 3 hours cell lysate, C2C12 cell lysate, C2C12 treated with 1μM staurosporine for 3 hours cell lysate, human colon tissue, mouse colon tissue, rat colon tissue.
Molecular wt :
Predicted band size: 34 kDa
Subcellular location :
Cytoplasm, cytosol, Nucleus, Secreted, extracellular space.
Concentration :
1 mg/mL.
Recommended dilutions :
WB: 1:5,000
;IHC-P: 1:200-1:1,000
Advanced Validation :
Cell treatment (CT)
Pic img4 :
https://storage.huabio.cn/huabio/productImg/HA751482_4.jpg
Pic legend4 :
Immunohistochemical analysis of paraffin-embedded rat colon tissue with Rabbit anti-Caspase-7 antibody (HA751482) at 1/1,000 dilution.
The section was pre-treated using heat mediated antigen retrieval with Tris-EDTA buffer (pH 9.0) for 20 minutes. The tissues were blocked in 1% BSA for 20 minutes at room temperature, washed with ddH2O and PBS, and then probed with the primary antibody (HA751482) at 1/1,000 dilution for 1 hour at room temperature. The detection was performed using an HRP conjugated compact polymer system. DAB was used as the chromogen. Tissues were counterstained with hematoxylin and mounted with DPX.
more info or order :
company information

HUABIO
Founded in 2007, HUABIO is dedicated to developing high-quality antibodies that advance innovation. We are passionate about the accuracy, efficiency, and consistency of our products. That is why we have invested in new production platforms, like recombinant rabbit monoclonals, alpaca nanobodies, and adopted aggressive QA standards to deliver cutting-edge antibodies with uncompromised quality.
We hope to see you at your next discovery!
We hope to see you at your next discovery!
related products
browse more products
questions and comments
