product summary
Loading...
company name :
HUABIO
product type :
antibody
product name :
IDO
catalog :
HA751445
quantity :
100μl
price :
649.00 USD
clonality :
monoclonal
host :
domestic rabbit
conjugate :
nonconjugated
clone name :
PSH12-31
reactivity :
human
application :
western blot, immunoprecipitation, flow cytometry, immunohistochemistry - paraffin section
more info or order :
image
image 1 :

Western blot analysis of IDO on different lysates with Rabbit anti-IDO antibody (HA751445) at 1/5,000 dilution.
Lane 1: HeLa cell lysate
Lane 2: HeLa treated with 50ng/mL hIFN-γ for 16 hours cell lysate
Lane 3: A549 cell lysate
Lane 4: A549 treated with 50ng/mL hIFN-γ for 24 hours cell lysate
Lysates/proteins at 20 µg/Lane.
Predicted band size: 45 kDa
Observed band size: 45 kDa
Exposure time: 2 seconds; ECL: K1801;
4-20% SDS-PAGE gel.
Proteins were transferred to a PVDF membrane and blocked with 5% NFDM/TBST for 1 hour at room temperature. The primary antibody (HA751445) at 1/5,000 dilution was used in primary antibody dilution (K1803) at 4℃ overnight. Goat Anti-Rabbit IgG - HRP Secondary Antibody (HA1001) at 1/50,000 dilution was used for 1 hour at room temperature.
image 2 :

Immunocytochemistry analysis of HeLa cells untreated / treated with 50ng/mL hIFN-γ for 16 hours labeling IDO with Rabbit anti-IDO antibody (HA751445) at 1/100 dilution.
Cells were fixed in 4% paraformaldehyde for 15 minutes at room temperature, permeabilized with 0.1% Triton X-100 in PBS for 15 minutes at room temperature, then blocked with 1% BSA in 10% negative goat serum for 1 hour at room temperature. Cells were then incubated with Rabbit anti-IDO antibody (HA751445) at 1/100 dilution in 1% BSA in PBST overnight at 4 ℃. Goat Anti-Rabbit IgG H&L (iFluor™ 488, HA1121) was used as the secondary antibody at 1/1,000 dilution. PBS instead of the primary antibody was used as the secondary antibody only control. Nuclear DNA was labelled in blue with DAPI.
Beta tubulin (HA601187, red) was stained at 1/100 dilution overnight at +4℃. Goat Anti-Mouse IgG H&L (iFluor™ 594, HA1126) was used as the secondary antibody at 1/1,000 dilution.
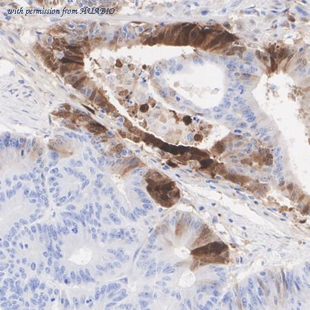
image 3 :

Immunohistochemical analysis of paraffin-embedded human colon adenocarcinoma tissue with Rabbit anti-IDO antibody (HA751445) at 1/1,000 dilution.
The section was pre-treated using heat mediated antigen retrieval with Tris-EDTA buffer (pH 9.0) for 20 minutes. The tissues were blocked in 1% BSA for 20 minutes at room temperature, washed with ddH2O and PBS, and then probed with the primary antibody (HA751445) at 1/1,000 dilution for 1 hour at room temperature. The detection was performed using an HRP conjugated compact polymer system. DAB was used as the chromogen. Tissues were counterstained with hematoxylin and mounted with DPX.
product information
SKU :
HA751445
Target name :
IDO
Species reactivity :
Human
Applications :
WB,IF-Cell,IHC-P,FC,IP
Conjugate :
Non-conjugated
Immunogen :
Recombinant protein within human IDO aa 1-403.
Uniprot id :
P14902>SwissProt: P14902 Human
Host :
Rabbit
Clone number :
PSH12-31
Isotype :
IgG
Size :
100μl
List Price :
649.00 USD
Storage Buffer :
PBS (pH7.4).
Form :
Liquid
Storage Instruction :
Store at +4℃ after thawing. Aliquot store at -20℃. Avoid repeated freeze / thaw cycles.
Purity :
Protein A affinity purified.
Product type :
Recombinant Rabbit monoclonal Antibody
Positive control :
HeLa treated with 50ng/mL hIFN-γ for 16 hours cell lysate, A549 treated with 50ng/mL hIFN-γ for 24 hours cell lysate, HeLa cells treated with 50ng/mL hIFN-γ for 16 hours, human colon adenocarcinoma tissue, human placenta tissue, human spleen tissue.
Molecular wt :
Predicted band size: 45 kDa
Subcellular location :
Cytoplasm, cytosol.
Concentration :
1 mg/mL.
Recommended dilutions :
WB: 1:5,000
;IF-Cell: 1:100
;IHC-P: 1:1,000
;FC: 1:1,000
;IP: 1-2μg/sample
Advanced Validation :
Cell treatment (CT),Relative expression (RE)
Pic img4 :
https://storage.huabio.cn/huabio/productImg/HA751445_4.jpg
Pic legend4 :
Immunohistochemical analysis of paraffin-embedded human placenta tissue with Rabbit anti-IDO antibody (HA751445) at 1/1,000 dilution.
The section was pre-treated using heat mediated antigen retrieval with Tris-EDTA buffer (pH 9.0) for 20 minutes. The tissues were blocked in 1% BSA for 20 minutes at room temperature, washed with ddH2O and PBS, and then probed with the primary antibody (HA751445) at 1/1,000 dilution for 1 hour at room temperature. The detection was performed using an HRP conjugated compact polymer system. DAB was used as the chromogen. Tissues were counterstained with hematoxylin and mounted with DPX.
Pic img5 :
https://storage.huabio.cn/huabio/productImg/HA751445_5.jpg
Pic legend5 :
Immunohistochemical analysis of paraffin-embedded human spleen tissue with Rabbit anti-IDO antibody (HA751445) at 1/1,000 dilution.
The section was pre-treated using heat mediated antigen retrieval with Tris-EDTA buffer (pH 9.0) for 20 minutes. The tissues were blocked in 1% BSA for 20 minutes at room temperature, washed with ddH2O and PBS, and then probed with the primary antibody (HA751445) at 1/1,000 dilution for 1 hour at room temperature. The detection was performed using an HRP conjugated compact polymer system. DAB was used as the chromogen. Tissues were counterstained with hematoxylin and mounted with DPX.
Pic img6 :
https://storage.huabio.cn/huabio/productImg/HA751445_6.jpg
Pic legend6 :
Immunohistochemical analysis of paraffin-embedded human liver tissue (negative) with Rabbit anti-IDO antibody (HA751445) at 1/1,000 dilution.
The section was pre-treated using heat mediated antigen retrieval with Tris-EDTA buffer (pH 9.0) for 20 minutes. The tissues were blocked in 1% BSA for 20 minutes at room temperature, washed with ddH2O and PBS, and then probed with the primary antibody (HA751445) at 1/1,000 dilution for 1 hour at room temperature. The detection was performed using an HRP conjugated compact polymer system. DAB was used as the chromogen. Tissues were counterstained with hematoxylin and mounted with DPX.
Pic img7 :
https://storage.huabio.cn/huabio/productImg/HA751445_7.jpg
Pic legend7 :
Flow cytometric analysis of HeLa cells untreated (left) / treated with 50ng/mL hIFN-γ for 16 hours (right) labeling IDO.
Cells were fixed and permeabilized. Then stained with the primary antibody (HA751445, 1/1,000) (red) compared with Rabbit IgG Isotype Control (green). After incubation of the primary antibody at +4℃ for an hour, the cells were stained with a iFluor™ 488 conjugate-Goat anti-Rabbit IgG Secondary antibody (HA1121) at 1/1,000 dilution for 30 minutes at +4℃. Unlabelled sample was used as a control (cells without incubation with primary antibody; black).
Pic img8 :
https://storage.huabio.cn/huabio/productImg/HA751445_8.jpg
Pic legend8 :
IDO was immunoprecipitated from 0.2 mg HeLa treated with 50ng/mL hIFN-γ for 16 hours cell lysate with HA751445 at 2 µg/10 µl beads. Western blot was performed from the immunoprecipitate using HA751445 at 1/2,000 dilution. HRP Conjugated Anti-Rabbit IgG for IP Nano-secondary antibody at 1/5,000 dilution was used for 1 hour at room temperature.
Lane 1: HeLa treated with 50ng/mL hIFN-γ for 16 hours cell lysate (input)
Lane 2: HA751445 IP in HeLa treated with 50ng/mL hIFN-γ for 16 hours cell lysate
Lane 3: Rabbit IgG instead of HA751445 in HeLa treated with 50ng/mL hIFN-γ for 16 hours cell lysate
Blocking/Dilution buffer: 5% NFDM/TBST
Exposure time: 6 seconds; ECL: K1801
more info or order :
company information

HUABIO
Founded in 2007, HUABIO is dedicated to developing high-quality antibodies that advance innovation. We are passionate about the accuracy, efficiency, and consistency of our products. That is why we have invested in new production platforms, like recombinant rabbit monoclonals, alpaca nanobodies, and adopted aggressive QA standards to deliver cutting-edge antibodies with uncompromised quality.
We hope to see you at your next discovery!
We hope to see you at your next discovery!
related products
browse more products
questions and comments
