product summary
Loading...
company name :
HUABIO
product type :
antibody
product name :
ENPP1 / PC1
catalog :
HA751440
quantity :
100μl
price :
649.00 USD
clonality :
monoclonal
host :
domestic rabbit
conjugate :
nonconjugated
clone name :
PSH12-11
reactivity :
human
application :
western blot, immunohistochemistry
more info or order :
image
image 1 :

Western blot analysis of ENPP1 / PC1 on different lysates with Rabbit anti-ENPP1 / PC1 antibody (HA751440) at 1/1,000 dilution.
Lane 1: HepG2 cell lysate
Lane 2: MDA-MB-231 cell lysate
Lane 3: Huh7 cell lysate
Lane 4: THP-1 cell lysate (negative)
Lysates/proteins at 20 ug/Lane.
Predicted band size: 105 kDa
Observed band size: 140 kDa
Exposure time: 10 seconds; ECL: K1801;
4-20% SDS-PAGE gel.
Proteins were transferred to a PVDF membrane and blocked with 5% NFDM/TBST for 1 hour at room temperature. The primary antibody (HA751440) at 1/5,000 dilution was used in 5% NFDM/TBST at 4℃ overnight. Goat Anti-Rabbit IgG - HRP Secondary Antibody (HA1001) at 1/50,000 dilution was used for 1 hour at room temperature.
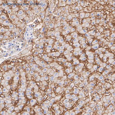
image 2 :

Immunohistochemical analysis of paraffin-embedded human liver tissue with Rabbit anti-ENPP1 / PC1 antibody (HA751440) at 1/1,000 dilution.
The section was pre-treated using heat mediated antigen retrieval with Tris-EDTA buffer (pH 9.0) for 20 minutes. The tissues were blocked in 1% BSA for 20 minutes at room temperature, washed with ddH2O and PBS, and then probed with the primary antibody (HA751440) at 1/1,000 dilution for 1 hour at room temperature. The detection was performed using an HRP conjugated compact polymer system. DAB was used as the chromogen. Tissues were counterstained with hematoxylin and mounted with DPX.
product information
SKU :
HA751440
Target name :
ENPP1 / PC1
Species reactivity :
Human
Applications :
WB,IHC
Conjugate :
Non-conjugated
Immunogen :
Recombinant protein within human ENPP1 aa 576-925.
Uniprot id :
P22413>SwissProt: P22413 Human
Host :
Rabbit
Clone number :
PSH12-11
Isotype :
IgG
Size :
100μl
List Price :
649.00 USD
Storage Buffer :
PBS (pH7.4).
Form :
Liquid
Storage Instruction :
Store at +4℃ after thawing. Aliquot store at -20℃. Avoid repeated freeze / thaw cycles.
Purity :
Protein A affinity purified.
Product type :
Recombinant Rabbit monoclonal Antibody
Positive control :
HepG2 cell lysate, MDA-MB-231 cell lysate, Huh7 cell lysate, human liver tissue.
Molecular wt :
Predicted band size: 105 kDa
Subcellular location :
Cell membrane, Basolateral cell membrane, Secreted.
Concentration :
1 mg/mL.
Recommended dilutions :
WB:1:5,000
;IHC:1:1,000
Advanced Validation :
Relative expression (RE)
more info or order :
company information

HUABIO
Founded in 2007, HUABIO is dedicated to developing high-quality antibodies that advance innovation. We are passionate about the accuracy, efficiency, and consistency of our products. That is why we have invested in new production platforms, like recombinant rabbit monoclonals, alpaca nanobodies, and adopted aggressive QA standards to deliver cutting-edge antibodies with uncompromised quality.
We hope to see you at your next discovery!
We hope to see you at your next discovery!
related products
browse more products
questions and comments
