product summary
Loading...
company name :
HUABIO
product type :
antibody
product name :
Cyclin T1
catalog :
HA751308
quantity :
100μl
price :
649.00 USD
clonality :
monoclonal
host :
domestic rabbit
conjugate :
nonconjugated
clone name :
PSH09-66
reactivity :
human, mouse, rat
application :
western blot, immunoprecipitation, flow cytometry, chromatin immunoprecipitation, immunohistochemistry - paraffin section
more info or order :
image
image 1 :

Western blot analysis of Cyclin T1 on different lysates with Rabbit anti-Cyclin T1 antibody (HA751308) at 1/2,000 dilution.
Lane 1: Jurkat cell lysate (20 µg/Lane)
Lane 2: K-562 cell lysate (20 µg/Lane)
Lane 3: Mouse brain tissue lysate (40 µg/Lane)
Lane 4: Rat brain tissue lysate (40 µg/Lane)
Predicted band size: 81 kDa
Observed band size: 75 kDa
Exposure time: 25 seconds; ECL: K1802;
4-20% SDS-PAGE gel.
Proteins were transferred to a PVDF membrane and blocked with 5% NFDM/TBST for 1 hour at room temperature. The primary antibody (HA751308) at 1/2,000 dilution was used in 5% NFDM/TBST at 4℃ overnight. Goat Anti-Rabbit IgG - HRP Secondary Antibody (HA1001) at 1/50,000 dilution was used for 1 hour at room temperature.
image 2 :

Western blot analysis of Cyclin T1 on different lysates with Rabbit anti-Cyclin T1 antibody (HA751308) at 1/2,000 dilution.
Lane 1: NIH/3T3 cell lysate
Lane 2: C6 cell lysate
Lysates/proteins at 20 µg/Lane.
Predicted band size: 81 kDa
Observed band size: 75 kDa
Exposure time: 1 minute; ECL: K1801;
4-20% SDS-PAGE gel.
Proteins were transferred to a PVDF membrane and blocked with 5% NFDM/TBST for 1 hour at room temperature. The primary antibody (HA751308) at 1/2,000 dilution was used in 5% NFDM/TBST at 4℃ overnight. Goat Anti-Rabbit IgG - HRP Secondary Antibody (HA1001) at 1/50,000 dilution was used for 1 hour at room temperature.
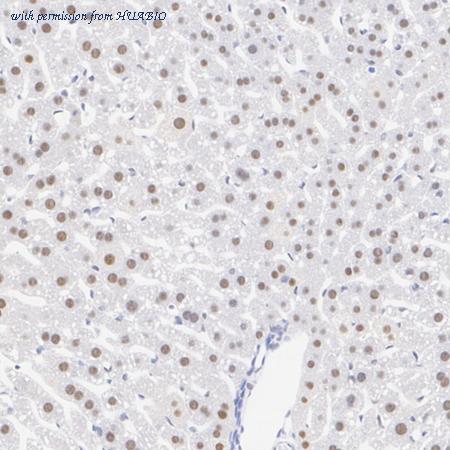
image 3 :

Immunohistochemical analysis of paraffin-embedded mouse liver tissue with Rabbit anti-Cyclin T1 antibody (HA751308) at 1/2,000 dilution.
The section was pre-treated using heat mediated antigen retrieval with Tris-EDTA buffer (pH 9.0) for 20 minutes. The tissues were blocked in 1% BSA for 20 minutes at room temperature, washed with ddH2O and PBS, and then probed with the primary antibody (HA751308) at 1/2,000 dilution for 1 hour at room temperature. The detection was performed using an HRP conjugated compact polymer system. DAB was used as the chromogen. Tissues were counterstained with hematoxylin and mounted with DPX.
product information
SKU :
HA751308
Target name :
Cyclin T1
Species reactivity :
Human,Mouse,Rat
Applications :
WB,IHC-P,IF-Cell,FC,IP,ChIP
Conjugate :
Non-conjugated
Immunogen :
Recombinant protein within human Cyclin T1 aa 251-530.
Uniprot id :
O60563>SwissProt: O60563 Human;SwissProt: Q9QWV9 Mouse;Entrez Gene: 315291 Rat
Host :
Rabbit
Clone number :
PSH09-66
Isotype :
IgG
Size :
100μl
List Price :
649.00 USD
Storage Buffer :
PBS (pH7.4).
Form :
Liquid
Storage Instruction :
Store at +4℃ after thawing. Aliquot store at -20℃. Avoid repeated freeze / thaw cycles.
Purity :
Protein A affinity purified.
Product type :
Recombinant Rabbit monoclonal Antibody
Positive control :
Jurkat cell lysate, K-562 cell lysate, Mouse brain tissue lysate, Rat brain tissue lysate, NIH/3T3 cell lysate, C6 cell lysate, mouse liver tissue, rat liver tissue, NIH/3T3, C6.
Molecular wt :
Predicted band size: 81 kDa
Subcellular location :
Nucleus.
Concentration :
1 mg/mL.
Recommended dilutions :
WB: 1:2,000
;IHC-P: 1:2,000
;IF-Cell: 1:100
;FC: 1:1,000
;IP: 1-2μg/sample
;ChIP: Use 2~5 μg for 25 μg of chromatin.
Pic img4 :
https://storage.huabio.cn/huabio/productImg/HA751308_4.jpg
Pic legend4 :
Immunohistochemical analysis of paraffin-embedded rat liver tissue with Rabbit anti-Cyclin T1 antibody (HA751308) at 1/2,000 dilution.
The section was pre-treated using heat mediated antigen retrieval with Tris-EDTA buffer (pH 9.0) for 20 minutes. The tissues were blocked in 1% BSA for 20 minutes at room temperature, washed with ddH2O and PBS, and then probed with the primary antibody (HA751308) at 1/2,000 dilution for 1 hour at room temperature. The detection was performed using an HRP conjugated compact polymer system. DAB was used as the chromogen. Tissues were counterstained with hematoxylin and mounted with DPX.
Pic img5 :
https://storage.huabio.cn/huabio/productImg/HA751308_5.jpg
Pic legend5 :
Immunocytochemistry analysis of NIH/3T3 cells labeling Cyclin T1 with Rabbit anti-Cyclin T1 antibody (HA751308) at 1/100 dilution.
Cells were fixed in 4% paraformaldehyde for 15 minutes at room temperature, permeabilized with 0.1% Triton X-100 in PBS for 15 minutes at room temperature, then blocked with 1% BSA in 10% negative goat serum for 1 hour at room temperature. Cells were then incubated with Rabbit anti-Cyclin T1 antibody (HA751308) at 1/100 dilution in 1% BSA in PBST overnight at 4 ℃. Goat Anti-Rabbit IgG H&L (iFluor™ 488, HA1121) was used as the secondary antibody at 1/1,000 dilution. PBS instead of the primary antibody was used as the secondary antibody only control. Nuclear DNA was labelled in blue with DAPI.
Beta tubulin (HA601187, red) was stained at 1/100 dilution overnight at +4℃. Goat Anti-Mouse IgG H&L (iFluor™ 594, HA1126) was used as the secondary antibody at 1/1,000 dilution.
Pic img6 :
https://storage.huabio.cn/huabio/productImg/HA751308_6.jpg
Pic legend6 :
Immunocytochemistry analysis of C6 cells labeling Cyclin T1 with Rabbit anti-Cyclin T1 antibody (HA751308) at 1/100 dilution.
Cells were fixed in 4% paraformaldehyde for 15 minutes at room temperature, permeabilized with 0.1% Triton X-100 in PBS for 15 minutes at room temperature, then blocked with 1% BSA in 10% negative goat serum for 1 hour at room temperature. Cells were then incubated with Rabbit anti-Cyclin T1 antibody (HA751308) at 1/100 dilution in 1% BSA in PBST overnight at 4 ℃. Goat Anti-Rabbit IgG H&L (iFluor™ 488, HA1121) was used as the secondary antibody at 1/1,000 dilution. PBS instead of the primary antibody was used as the secondary antibody only control. Nuclear DNA was labelled in blue with DAPI.
Beta tubulin (HA601187, red) was stained at 1/100 dilution overnight at +4℃. Goat Anti-Mouse IgG H&L (iFluor™ 594, HA1126) was used as the secondary antibody at 1/1,000 dilution.
Pic img7 :
https://storage.huabio.cn/huabio/productImg/HA751308_7.jpg
Pic legend7 :
Flow cytometric analysis of NIH/3T3 cells labeling Cyclin T1.
Cells were fixed and permeabilized. Then stained with the primary antibody (HA751308, 1/1,000) (red) compared with Rabbit IgG Isotype Control (green). After incubation of the primary antibody at +4℃ for an hour, the cells were stained with a iFluor™ 488 conjugate-Goat anti-Rabbit IgG Secondary antibody (HA1121) at 1/1,000 dilution for 30 minutes at +4℃. Unlabelled sample was used as a control (cells without incubation with primary antibody; black).
Pic img8 :
https://storage.huabio.cn/huabio/productImg/HA751308_8.jpg
Pic legend8 :
Cyclin T1 was immunoprecipitated from 0.2 mg Jurkat cell lysate with HA751308 at 2 µg/10 µl beads. Western blot was performed from the immunoprecipitate using HA751308 at 1/1,000 dilution. Anti-Rabbit IgG for IP Nano-secondary antibody (NBI01H) at 1/5,000 dilution was used for 1 hour at room temperature.
Lane 1: Jurkat cell lysate (input)
Lane 2: HA751308 IP in Jurkat cell lysate
Lane 3: Rabbit IgG instead of HA751308 in Jurkat cell lysate
Blocking/Dilution buffer: 5% NFDM/TBST
Exposure time: 37 seconds; ECL: K1802
Pic img9 :
https://storage.huabio.cn/huabio/productImg/HA751308_9.jpg
Pic legend9 :
Chromatin immunoprecipitations were performed with cross-linked chromatin from HeLa cells with Cyclin T1 (HA751308) or Normal Rabbit IgG according to the ChIP protocol. The enriched DNA was quantified by real-time PCR using indicated primers. The amount of immunoprecipitated DNA in each sample is represented as signal relative to the total amount of input chromatin, which is equivalent to one.
more info or order :
company information

HUABIO
Founded in 2007, HUABIO is dedicated to developing high-quality antibodies that advance innovation. We are passionate about the accuracy, efficiency, and consistency of our products. That is why we have invested in new production platforms, like recombinant rabbit monoclonals, alpaca nanobodies, and adopted aggressive QA standards to deliver cutting-edge antibodies with uncompromised quality.
We hope to see you at your next discovery!
We hope to see you at your next discovery!
browse more products
questions and comments
