product summary
Loading...
company name :
HUABIO
product type :
antibody
product name :
LKB1
catalog :
HA751283
quantity :
100μl
price :
649.00 USD
clonality :
monoclonal
host :
domestic rabbit
conjugate :
nonconjugated
clone name :
PSH09-29
reactivity :
human, mouse, rat
application :
western blot, immunoprecipitation, immunohistochemistry - paraffin section
more info or order :
image
image 1 :

Western blot analysis of LKB1 on different lysates with Rabbit anti-LKB1 antibody (HA751283) at 1/2,000 dilution.
Lane 1: K-562 cell lysate (20 µg/Lane)
Lane 2: Jurkat cell lysate (20 µg/Lane)
Lane 3: HeLa cell lysate (negative) (20 µg/Lane)
Lane 4: HEK-293 cell lysate (20 µg/Lane)
Lane 5: COS-1 cell lysate (20 µg/Lane)
Lane 6: Mouse brain tissue lysate (40 µg/Lane)
Lane 7: Mouse testis tissue lysate (40 µg/Lane)
Lane 8: Rat testis tissue lysate (40 µg/Lane)
Predicted band size: 49 kDa
Observed band size: 56/50 kDa
Exposure time: 20 seconds; ECL: K1802;
4-20% SDS-PAGE gel.
Proteins were transferred to a PVDF membrane and blocked with 5% NFDM/TBST for 1 hour at room temperature. The primary antibody (HA751283) at 1/2,000 dilution was used in 5% NFDM/TBST at 4℃ overnight. Goat Anti-Rabbit IgG - HRP Secondary Antibody (HA1001) at 1/50,000 dilution was used for 1 hour at room temperature.
image 2 :

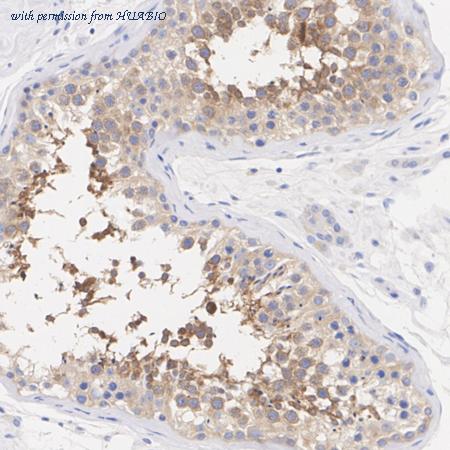
Immunohistochemical analysis of paraffin-embedded human testis tissue with Rabbit anti-LKB1 antibody (HA751283) at 1/200 dilution.
The section was pre-treated using heat mediated antigen retrieval with Tris-EDTA buffer (pH 9.0) for 20 minutes. The tissues were blocked in 1% BSA for 20 minutes at room temperature, washed with ddH2O and PBS, and then probed with the primary antibody (HA751283) at 1/200 dilution for 1 hour at room temperature. The detection was performed using an HRP conjugated compact polymer system. DAB was used as the chromogen. Tissues were counterstained with hematoxylin and mounted with DPX.
image 3 :

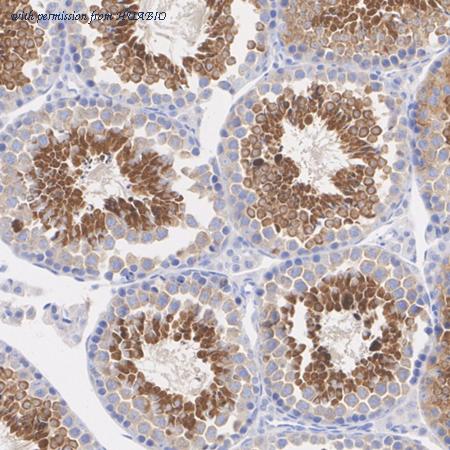
Immunohistochemical analysis of paraffin-embedded mouse testis tissue with Rabbit anti-LKB1 antibody (HA751283) at 1/1,000 dilution.
The section was pre-treated using heat mediated antigen retrieval with Tris-EDTA buffer (pH 9.0) for 20 minutes. The tissues were blocked in 1% BSA for 20 minutes at room temperature, washed with ddH2O and PBS, and then probed with the primary antibody (HA751283) at 1/1,000 dilution for 1 hour at room temperature. The detection was performed using an HRP conjugated compact polymer system. DAB was used as the chromogen. Tissues were counterstained with hematoxylin and mounted with DPX.
product information
SKU :
HA751283
Target name :
LKB1
Species reactivity :
Human,Mouse,Rat,Monkey
Applications :
WB,IHC-P,IP
Conjugate :
Non-conjugated
Immunogen :
Recombinant protein within human LKB1 aa 1-400.
Uniprot id :
Q15831>SwissProt: Q15831 Human;SwissProt: Q9WTK7 Mouse;SwissProt: D4AE59 Rat
Host :
Rabbit
Clone number :
PSH09-29
Isotype :
IgG
Size :
100μl
List Price :
649.00 USD
Storage Buffer :
PBS (pH7.4).
Form :
Liquid
Storage Instruction :
Store at +4℃ after thawing. Aliquot store at -20℃. Avoid repeated freeze / thaw cycles.
Purity :
Protein A affinity purified.
Product type :
Recombinant Rabbit monoclonal Antibody
Positive control :
K-562 cell lysate, Jurkat cell lysate, HEK-293 cell lysate, COS-1 cell lysate, Mouse brain tissue lysate, Mouse testis tissue lysate, Rat testis tissue lysate, human testis tissue, mouse testis tissue, rat testis tissue.
Molecular wt :
Predicted band size: 49 kDa
Subcellular location :
Nucleus, Cytoplasm, Membrane, Mitochondrion.
Concentration :
1 mg/mL.
Recommended dilutions :
WB: 1:2,000
;IHC-P: 1:200-1:1,000
;IP: 1-2μg/sample
Advanced Validation :
Relative expression (RE)
Pic img4 :
https://storage.huabio.cn/huabio/productImg/HA751283_4.jpg
Pic legend4 :
Immunohistochemical analysis of paraffin-embedded rat testis tissue with Rabbit anti-LKB1 antibody (HA751283) at 1/1,000 dilution.
The section was pre-treated using heat mediated antigen retrieval with Tris-EDTA buffer (pH 9.0) for 20 minutes. The tissues were blocked in 1% BSA for 20 minutes at room temperature, washed with ddH2O and PBS, and then probed with the primary antibody (HA751283) at 1/1,000 dilution for 1 hour at room temperature. The detection was performed using an HRP conjugated compact polymer system. DAB was used as the chromogen. Tissues were counterstained with hematoxylin and mounted with DPX.
Pic img5 :
https://storage.huabio.cn/huabio/productImg/HA751283_5.jpg
Pic legend5 :
LKB1 was immunoprecipitated from 0.2 mg HEK-293 cell lysate with HA751283 at 2 µg/10 µl beads. Western blot was performed from the immunoprecipitate using HA751283 at 1/1,000 dilution. Mouse Anti-Rabbit IgG kappa light chain secondary antibody (M1208-2) at 1/5,000 dilution was used for 1 hour at room temperature.
Lane 1: HEK-293 cell lysate (input)
Lane 2: HA751283 IP in HEK-293 cell lysate
Lane 3: Rabbit IgG instead of HA751283 in HEK-293 cell lysate
Blocking/Dilution buffer: 5% NFDM/TBST
Exposure time: 3 minutes; ECL: K1801
more info or order :
company information

HUABIO
Founded in 2007, HUABIO is dedicated to developing high-quality antibodies that advance innovation. We are passionate about the accuracy, efficiency, and consistency of our products. That is why we have invested in new production platforms, like recombinant rabbit monoclonals, alpaca nanobodies, and adopted aggressive QA standards to deliver cutting-edge antibodies with uncompromised quality.
We hope to see you at your next discovery!
We hope to see you at your next discovery!
browse more products
questions and comments
