product summary
Loading...
company name :
HUABIO
product type :
antibody
product name :
CYR61 / CCN1
catalog :
HA751266
quantity :
100μl
price :
649.00 USD
clonality :
monoclonal
host :
domestic rabbit
conjugate :
nonconjugated
clone name :
PSH09-12
reactivity :
human
application :
western blot, immunohistochemistry - paraffin section
more info or order :
image
image 1 :

Western blot analysis of CYR61 / CCN1 on different lysates with Rabbit anti-CYR61 / CCN1 antibody (HA751266) at 1/2,000 dilution.
Lane 1: Saos-2 cell lysate
Lane 2: 786-0 cell lysate
Lane 3: MCF7 cell lysate (negative)
Lysates/proteins at 15 µg/Lane.
Predicted band size: 42 kDa
Observed band size: 42 kDa
Exposure time: 27 seconds; ECL: K1802;
4-20% SDS-PAGE gel.
Proteins were transferred to a PVDF membrane and blocked with 5% NFDM/TBST for 1 hour at room temperature. The primary antibody (HA751266) at 1/2,000 dilution was used in 5% NFDM/TBST at 4℃ overnight. Goat Anti-Rabbit IgG - HRP Secondary Antibody (HA1001) at 1/50,000 dilution was used for 1 hour at room temperature.
image 2 :

Immunocytochemistry analysis of untreated Saos-2 (top, positive) / Saos-2 treated with 10μg/mL BFA overnight (middle, positive) / MCF7 (bottom, negative) labeling CYR61 / CCN1 with Rabbit anti-CYR61 / CCN1 antibody (HA751266) at 1/2,000 dilution.
Cells were fixed in 4% paraformaldehyde for 15 minutes at room temperature, permeabilized with 0.1% Triton X-100 in PBS for 15 minutes at room temperature, then blocked with 1% BSA in 10% negative goat serum for 1 hour at room temperature. Cells were then incubated with Rabbit anti-CYR61 / CCN1 antibody (HA751266) at 1/2,000 dilution in 1% BSA in PBST overnight at 4 ℃. Goat Anti-Rabbit IgG H&L (iFluor™ 488, HA1121) was used as the secondary antibody at 1/1,000 dilution. PBS instead of the primary antibody was used as the secondary antibody only control. Nuclear DNA was labelled in blue with DAPI.
Beta tubulin (HA601187, red) was stained at 1/100 dilution overnight at +4℃. Goat Anti-Mouse IgG H&L (iFluor™ 594, HA1126) was used as the secondary antibody at 1/1,000 dilution.
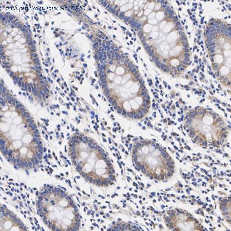
image 3 :

Immunohistochemical analysis of paraffin-embedded human colon tissue with Rabbit anti-CYR61 / CCN1 antibody (HA751266) at 1/200 dilution.
The section was pre-treated using heat mediated antigen retrieval with Tris-EDTA buffer (pH 9.0) for 20 minutes. The tissues were blocked in 1% BSA for 20 minutes at room temperature, washed with ddH2O and PBS, and then probed with the primary antibody (HA751266) at 1/200 dilution for 1 hour at room temperature. The detection was performed using an HRP conjugated compact polymer system. DAB was used as the chromogen. Tissues were counterstained with hematoxylin and mounted with DPX.
product information
SKU :
HA751266
Target name :
CYR61 / CCN1
Species reactivity :
Human
Applications :
WB,IF-Cell,IHC-P,IF-Tissue
Conjugate :
Non-conjugated
Immunogen :
Recombinant protein within human CCN1 aa 1-381.
Uniprot id :
O00622>SwissProt: O00622 Human
Host :
Rabbit
Clone number :
PSH09-12
Isotype :
IgG
Size :
100μl
List Price :
649.00 USD
Storage Buffer :
PBS (pH7.4).
Form :
Liquid
Storage Instruction :
Store at +4℃ after thawing. Aliquot store at -20℃. Avoid repeated freeze / thaw cycles.
Purity :
Protein A affinity purified.
Product type :
Recombinant Rabbit monoclonal Antibody
Positive control :
Saos-2 cell lysate, 786-0 cell lysate, Saos-2, human colon tissue, human skin tissue.
Molecular wt :
Predicted band size: 42 kDa
Subcellular location :
Secreted.
Concentration :
1 mg/mL.
Recommended dilutions :
WB: 1:2,000
;IF-Cell: 1:2,000
;IHC-P: 1:200
;IF-Tissue: 1:50
Advanced Validation :
Relative expression (RE),Cell treatment (CT)
Pic img4 :
https://storage.huabio.cn/huabio/productImg/HA751266_4.jpg
Pic legend4 :
Immunohistochemical analysis of paraffin-embedded human skin tissue with Rabbit anti-CYR61 / CCN1 antibody (HA751266) at 1/200 dilution.
The section was pre-treated using heat mediated antigen retrieval with Tris-EDTA buffer (pH 9.0) for 20 minutes. The tissues were blocked in 1% BSA for 20 minutes at room temperature, washed with ddH2O and PBS, and then probed with the primary antibody (HA751266) at 1/200 dilution for 1 hour at room temperature. The detection was performed using an HRP conjugated compact polymer system. DAB was used as the chromogen. Tissues were counterstained with hematoxylin and mounted with DPX.
Pic img5 :
https://storage.huabio.cn/huabio/productImg/HA751266_5.jpg
Pic legend5 :
Application: IF-Tissue
Species: Human
Site: colon
Sample: Paraffin-embedded section
Antibody concentration: 1/50
more info or order :
company information

HUABIO
Founded in 2007, HUABIO is dedicated to developing high-quality antibodies that advance innovation. We are passionate about the accuracy, efficiency, and consistency of our products. That is why we have invested in new production platforms, like recombinant rabbit monoclonals, alpaca nanobodies, and adopted aggressive QA standards to deliver cutting-edge antibodies with uncompromised quality.
We hope to see you at your next discovery!
We hope to see you at your next discovery!
related products
browse more products
questions and comments
