product summary
Loading...
company name :
HUABIO
product type :
antibody
product name :
Mucolipin-1
catalog :
HA751262
quantity :
100μl
price :
649.00 USD
clonality :
monoclonal
host :
domestic rabbit
conjugate :
nonconjugated
clone name :
PSH09-01
reactivity :
human, mouse, rat
application :
western blot, immunohistochemistry - paraffin section
more info or order :
image
image 1 :

Western blot analysis of Mucolipin-1 on different lysates with Rabbit anti-Mucolipin-1 antibody (HA751262) at 1/2,000 dilution.
Lane 1: SK-MEL-28 cell lysate
Lane 2: NCI-H226 cell lysate
Lane 3: Ramos cell lysate (negative)
Lane 4: TT cell lysate
Lane 5: Mouse brain tissue lysate
Lane 6: Rat brain tissue lysate
Lysates/proteins at 20 µg/Lane.
Predicted band size: 65 kDa
Observed band size: 35-40 kDa (PMID: 16257972)
Exposure time: 3 minutes; ECL: K1801;
4-20% SDS-PAGE gel.
Proteins were transferred to a PVDF membrane and blocked with 5% NFDM/TBST for 1 hour at room temperature. The primary antibody (HA751262) at 1/2,000 dilution was used in 5% NFDM/TBST at 4℃ overnight. Goat Anti-Rabbit IgG - HRP Secondary Antibody (HA1001) at 1/50,000 dilution was used for 1 hour at room temperature.
image 2 :

Immunohistochemical analysis of paraffin-embedded human brain tissue with Rabbit anti-Mucolipin-1 antibody (HA751262) at 1/1,000 dilution.
The section was pre-treated using heat mediated antigen retrieval with Tris-EDTA buffer (pH 9.0) for 20 minutes. The tissues were blocked in 1% BSA for 20 minutes at room temperature, washed with ddH2O and PBS, and then probed with the primary antibody (HA751262) at 1/1,000 dilution for 1 hour at room temperature. The detection was performed using an HRP conjugated compact polymer system. DAB was used as the chromogen. Tissues were counterstained with hematoxylin and mounted with DPX.
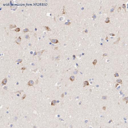
image 3 :

Immunohistochemical analysis of paraffin-embedded mouse brain tissue with Rabbit anti-Mucolipin-1 antibody (HA751262) at 1/1,000 dilution.
The section was pre-treated using heat mediated antigen retrieval with Tris-EDTA buffer (pH 9.0) for 20 minutes. The tissues were blocked in 1% BSA for 20 minutes at room temperature, washed with ddH2O and PBS, and then probed with the primary antibody (HA751262) at 1/1,000 dilution for 1 hour at room temperature. The detection was performed using an HRP conjugated compact polymer system. DAB was used as the chromogen. Tissues were counterstained with hematoxylin and mounted with DPX.
product information
SKU :
HA751262
Target name :
Mucolipin-1
Species reactivity :
Human,Mouse,Rat
Applications :
WB,IHC-P
Conjugate :
Non-conjugated
Immunogen :
Recombinant protein within human Mucolipin-1 aa 66-321.
Uniprot id :
Q9GZU1>SwissProt: Q9GZU1 Human;SwissProt: Q99J21 Mouse
Host :
Rabbit
Clone number :
PSH09-01
Isotype :
IgG
Size :
100μl
List Price :
649.00 USD
Storage Buffer :
PBS (pH7.4).
Form :
Liquid
Storage Instruction :
Store at +4℃ after thawing. Aliquot store at -20℃. Avoid repeated freeze / thaw cycles.
Purity :
Protein A affinity purified.
Product type :
Recombinant Rabbit monoclonal Antibody
Positive control :
SK-MEL-28 cell lysate, NCI-H226 cell lysate, TT cell lysate, Mouse brain tissue lysate, Rat brain tissue lysate, human brain tissue, mouse brain tissue, rat brain tissue.
Molecular wt :
Predicted band size: 65 kDa
Subcellular location :
Late endosome membrane, Lysosome membrane, Cytoplasmic vesicle membrane, Cell projection, phagocytic cup, Cytoplasmic vesicle, phagosome membrane, Cell membrane.
Concentration :
1 mg/mL.
Recommended dilutions :
WB: 1:2,000
;IHC-P:1:1,000
Advanced Validation :
Relative expression (RE)
Pic img4 :
https://storage.huabio.cn/huabio/productImg/HA751262_4.jpg
Pic legend4 :
Immunohistochemical analysis of paraffin-embedded rat brain tissue with Rabbit anti-Mucolipin-1 antibody (HA751262) at 1/1,000 dilution.
The section was pre-treated using heat mediated antigen retrieval with Tris-EDTA buffer (pH 9.0) for 20 minutes. The tissues were blocked in 1% BSA for 20 minutes at room temperature, washed with ddH2O and PBS, and then probed with the primary antibody (HA751262) at 1/1,000 dilution for 1 hour at room temperature. The detection was performed using an HRP conjugated compact polymer system. DAB was used as the chromogen. Tissues were counterstained with hematoxylin and mounted with DPX.
more info or order :
company information

HUABIO
Founded in 2007, HUABIO is dedicated to developing high-quality antibodies that advance innovation. We are passionate about the accuracy, efficiency, and consistency of our products. That is why we have invested in new production platforms, like recombinant rabbit monoclonals, alpaca nanobodies, and adopted aggressive QA standards to deliver cutting-edge antibodies with uncompromised quality.
We hope to see you at your next discovery!
We hope to see you at your next discovery!
related products
browse more products
questions and comments
