product summary
Loading...
company name :
HUABIO
product type :
antibody
product name :
DDX4
catalog :
HA751229
quantity :
100μl
price :
649.00 USD
clonality :
monoclonal
host :
domestic rabbit
conjugate :
nonconjugated
clone name :
PSH08-54
reactivity :
human, mouse, rat
application :
western blot, immunohistochemistry - paraffin section, immunohistochemistry - frozen section
more info or order :
image
image 1 :

Immunofluorescence analysis of frozen mouse testis tissue with Rabbit anti-DDX4 antibody (HA751229) at 1/500 dilution.
The section was pre-treated using heat mediated antigen retrieval with sodium citrate buffer (pH 6.0) for about 2 minutes in microwave oven. The tissues were blocked in 10% negative goat serum for 1 hour at room temperature, washed with PBS, and then probed with the primary antibody (HA751229, green) at 1/500 dilution overnight at 4 ℃, washed with PBS. Goat Anti-Rabbit IgG H&L (iFluor™ 488, HA1121) was used as the secondary antibody at 1/1,000 dilution. Nuclei were counterstained with DAPI (blue).
image 2 :

Western blot analysis of DDX4 on different lysates with Rabbit anti-DDX4 antibody (HA751229) at 1/2,000 dilution.
Lane 1: Mouse testis tissue lysate
Lane 2: Mouse spleen tissue lysate (negative)
Lane 3: Mouse brain tissue lysate (negative)
Lane 4: Rat testis tissue lysate
Lane 5: Rat spleen tissue lysate (negative)
Lane 6: Rat brain tissue lysate (negative)
Lysates/proteins at 20 µg/Lane.
Predicted band size: 79 kDa
Observed band size: 75 kDa
Exposure time: 4 seconds; ECL: K1801;
4-20% SDS-PAGE gel.
Proteins were transferred to a PVDF membrane and blocked with 5% NFDM/TBST for 1 hour at room temperature. The primary antibody (HA751229) at 1/2,000 dilution was used in 5% NFDM/TBST at 4℃ overnight. Goat Anti-Rabbit IgG - HRP Secondary Antibody (HA1001) at 1/50,000 dilution was used for 1 hour at room temperature.
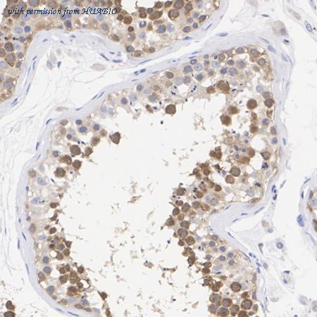
image 3 :

Immunohistochemical analysis of paraffin-embedded human testis tissue with Rabbit anti-DDX4 antibody (HA751229) at 1/1,000 dilution.
The section was pre-treated using heat mediated antigen retrieval with Tris-EDTA buffer (pH 9.0) for 20 minutes. The tissues were blocked in 1% BSA for 20 minutes at room temperature, washed with ddH2O and PBS, and then probed with the primary antibody (HA751229) at 1/1,000 dilution for 1 hour at room temperature. The detection was performed using an HRP conjugated compact polymer system. DAB was used as the chromogen. Tissues were counterstained with hematoxylin and mounted with DPX.
product information
SKU :
HA751229
Target name :
DDX4
Species reactivity :
Human,Mouse,Rat
Applications :
WB,IHC-P,IHC-Fr
Conjugate :
Non-conjugated
Immunogen :
Recombinant protein within human DDX4 aa 201-724.
Uniprot id :
Q9NQI0>SwissProt: Q9NQI0 Human;SwissProt: Q61496 Mouse;SwissProt: Q64060 Rat
Host :
Rabbit
Clone number :
PSH08-54
Isotype :
IgG
Size :
100μl
List Price :
649.00 USD
Storage Buffer :
PBS (pH7.4).
Form :
Liquid
Storage Instruction :
Store at +4℃ after thawing. Aliquot store at -20℃. Avoid repeated freeze / thaw cycles.
Purity :
Protein A affinity purified.
Product type :
Recombinant Rabbit monoclonal Antibody
Positive control :
Mouse testis tissue lysate, Rat testis tissue lysate, human testis tissue, mouse testis tissue, mouse ovary tissue.
Molecular wt :
Predicted band size: 79 kDa
Subcellular location :
Cytoplasm, perinuclear region.
Concentration :
1 mg/mL.
Recommended dilutions :
WB: 1:2,000
;IHC-P: 1:1,000-1:5,000
;IHC-Fr: 1:500
Advanced Validation :
Relative expression (RE)
Pic img4 :
https://storage.huabio.cn/huabio/productImg/HA751229_4.jpg
Pic legend4 :
Immunohistochemical analysis of paraffin-embedded mouse testis tissue with Rabbit anti-DDX4 antibody (HA751229) at 1/5,000 dilution.
The section was pre-treated using heat mediated antigen retrieval with Tris-EDTA buffer (pH 9.0) for 20 minutes. The tissues were blocked in 1% BSA for 20 minutes at room temperature, washed with ddH2O and PBS, and then probed with the primary antibody (HA751229) at 1/5,000 dilution for 1 hour at room temperature. The detection was performed using an HRP conjugated compact polymer system. DAB was used as the chromogen. Tissues were counterstained with hematoxylin and mounted with DPX.
Pic img5 :
https://storage.huabio.cn/huabio/productImg/HA751229_5.jpg
Pic legend5 :
Immunohistochemical analysis of paraffin-embedded mouse ovary tissue with Rabbit anti-DDX4 antibody (HA751229) at 1/1,000 dilution.
The section was pre-treated using heat mediated antigen retrieval with Tris-EDTA buffer (pH 9.0) for 20 minutes. The tissues were blocked in 1% BSA for 20 minutes at room temperature, washed with ddH2O and PBS, and then probed with the primary antibody (HA751229) at 1/1,000 dilution for 1 hour at room temperature. The detection was performed using an HRP conjugated compact polymer system. DAB was used as the chromogen. Tissues were counterstained with hematoxylin and mounted with DPX.
more info or order :
company information

HUABIO
Founded in 2007, HUABIO is dedicated to developing high-quality antibodies that advance innovation. We are passionate about the accuracy, efficiency, and consistency of our products. That is why we have invested in new production platforms, like recombinant rabbit monoclonals, alpaca nanobodies, and adopted aggressive QA standards to deliver cutting-edge antibodies with uncompromised quality.
We hope to see you at your next discovery!
We hope to see you at your next discovery!
related products
browse more products
questions and comments
