product summary
Loading...
company name :
HUABIO
product type :
antibody
product name :
TBR2
catalog :
HA751195
quantity :
100μl
price :
649.00 USD
clonality :
monoclonal
host :
domestic rabbit
conjugate :
nonconjugated
clone name :
PSH07-88
reactivity :
human, mouse
application :
western blot, immunohistochemistry - paraffin section, immunohistochemistry - frozen section
more info or order :
image
image 1 :

Application: IHC-Fr
Species: Mouse
Site: E14.5 embryonic brain
Sample: Frozen section
Antibody concentration: 1/500
Antigen retrieval: Not required
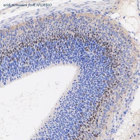
image 2 :

Immunohistochemical analysis of paraffin-embedded E14.5 mouse embryonic brain tissue with Rabbit anti-TBR2 antibody (HA751195) at 1/5,000 dilution.
The section was pre-treated using heat mediated antigen retrieval with Tris-EDTA buffer (pH 9.0) for 20 minutes. The tissues were blocked in 1% BSA for 20 minutes at room temperature, washed with ddH2O and PBS, and then probed with the primary antibody (HA751195) at 1/5,000 dilution for 1 hour at room temperature. The detection was performed using an HRP conjugated compact polymer system. DAB was used as the chromogen. Tissues were counterstained with hematoxylin and mounted with DPX.
image 3 :

Western blot analysis of TBR2 on different lysates with Rabbit anti-TBR2 antibody (HA751195) at 1/1,000 dilution.
Lane 1: NK-92 cell lysate
Lane 2: HeLa cell lysate (negative)
Lysates/proteins at 30 µg/Lane.
Predicted band size: 73 kDa
Observed band size: 73/85 kDa
Exposure time: 14 seconds; ECL: K1801;
4-20% SDS-PAGE gel.
Proteins were transferred to a PVDF membrane and blocked with 5% NFDM/TBST for 1 hour at room temperature. The primary antibody (HA751195) at 1/1,000 dilution was used in 5% NFDM/TBST at 4℃ overnight. Goat Anti-Rabbit IgG - HRP Secondary Antibody (HA1001) at 1/50,000 dilution was used for 1 hour at room temperature.
product information
SKU :
HA751195
Target name :
TBR2
Species reactivity :
Human,Mouse,Cynomolgus monkey,Pig
Applications :
WB,IHC-P,IHC-Fr
Conjugate :
Non-conjugated
Immunogen :
Recombinant protein within human TBR2 aa 1-300.
Uniprot id :
O95936>SwissProt: O95936 Human;SwissProt: O54839 Mouse
Host :
Rabbit
Clone number :
PSH07-88
Isotype :
IgG
Size :
100μl
List Price :
649.00 USD
Storage Buffer :
PBS (pH7.4).
Form :
Liquid
Storage Instruction :
Store at +4℃ after thawing. Aliquot store at -20℃. Avoid repeated freeze / thaw cycles.
Purity :
Protein A affinity purified.
Product type :
Recombinant Rabbit monoclonal Antibody
Positive control :
NK-92 cell lysate, Mouse embryo tissue lysate, E14.5 mouse embryonic brain tissue.
Molecular wt :
Predicted band size: 73 kDa
Subcellular location :
Nucleus.
Concentration :
1 mg/mL.
Recommended dilutions :
WB: 1:1,000
;IHC-P: 1:5,000
;IHC-Fr: 1:500
Advanced Validation :
Relative expression (RE)
Pic img4 :
https://storage.huabio.cn/huabio/productImg/HA751195_4.jpg
Pic legend4 :
Western blot analysis of TBR2 on mouse embryo tissue lysates with Rabbit anti-TBR2 antibody (HA751195) at 1/1,000 dilution.
Lysates/proteins at 30 µg/Lane.
Predicted band size: 73 kDa
Observed band size: 73/85 kDa
Exposure time: 3 minutes; ECL: K1801;
4-20% SDS-PAGE gel.
Proteins were transferred to a PVDF membrane and blocked with 5% NFDM/TBST for 1 hour at room temperature. The primary antibody (HA751195) at 1/1,000 dilution was used in 5% NFDM/TBST at 4℃ overnight. Goat Anti-Rabbit IgG - HRP Secondary Antibody (HA1001) at 1/50,000 dilution was used for 1 hour at room temperature.
more info or order :
company information

HUABIO
Founded in 2007, HUABIO is dedicated to developing high-quality antibodies that advance innovation. We are passionate about the accuracy, efficiency, and consistency of our products. That is why we have invested in new production platforms, like recombinant rabbit monoclonals, alpaca nanobodies, and adopted aggressive QA standards to deliver cutting-edge antibodies with uncompromised quality.
We hope to see you at your next discovery!
We hope to see you at your next discovery!
related products
browse more products
questions and comments
