product summary
Loading...
company name :
HUABIO
product type :
antibody
product name :
LAMC2
catalog :
HA751148
quantity :
100μl
price :
649.00 USD
clonality :
monoclonal
host :
domestic rabbit
conjugate :
nonconjugated
clone name :
PSH07-27
reactivity :
human, mouse, rat
application :
western blot, immunoprecipitation, flow cytometry, immunohistochemistry - paraffin section
more info or order :
image
image 1 :

Western blot analysis of LAMC2 on different lysates with Rabbit anti-LAMC2 antibody (HA751148) at 1/5,000 dilution.
Lane 1: A431 cell lysate (20 µg/Lane)
Lane 2: A549 cell lysate (low expression) (20 µg/Lane)
Lane 3: HepG2 cell lysate (low expression) (20 µg/Lane)
Lane 4: HaCaT cell lysate (low expression) (20 µg/Lane)
Lane 5: NCI-H441 cell lysate (20 µg/Lane)
Lane 6: Mouse skin tissue lysate (40 µg/Lane)
Lane 7: Mouse stomach tissue lysate (40 µg/Lane)
Lane 8: Rat skin tissue lysate (40 µg/Lane)
Lane 9: Rat stomach tissue lysate (40 µg/Lane)
Predicted band size: 131 kDa
Observed band size: 100/140 kDa
Exposure time: 2 minutes; ECL: K1801;
4-20% SDS-PAGE gel.
Proteins were transferred to a PVDF membrane and blocked with 5% NFDM/TBST for 1 hour at room temperature. The primary antibody (HA751148) at 1/5,000 dilution was used in 5% NFDM/TBST at 4℃ overnight. Goat Anti-Rabbit IgG - HRP Secondary Antibody (HA1001) at 1/50,000 dilution was used for 1 hour at room temperature.
image 2 :

Western blot analysis of LAMC2 on different lysates with Rabbit anti-LAMC2 antibody (HA751148) at 1/5,000 dilution.
Lane 1: KYSE-150-parental cell lysate
Lane 2: KYSE-150-LAMC2 KD cell lysate
Lysates/proteins at 10 µg/Lane.
Predicted band size: 140/90 kDa
Observed band size: 140/90 kDa
Exposure time: 15 seconds; ECL: K1801;
4-20% SDS-PAGE gel.
Proteins were transferred to a PVDF membrane and blocked with 5% NFDM/TBST for 1 hour at room temperature. The primary antibody (HA751148)) at 1/5,000 dilution was used in primary antibody dilution (K1803) at 4℃ overnight. Goat Anti-Rabbit IgG - HRP Secondary Antibody (HA1001) at 1/50,000 dilution was used for 1 hour at room temperature.
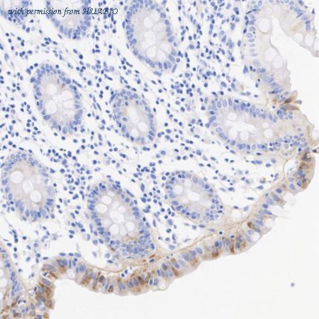
image 3 :

Immunohistochemical analysis of paraffin-embedded human colon tissue with Rabbit anti-LAMC2 antibody (HA751148) at 1/200 dilution.
The section was pre-treated using heat mediated antigen retrieval with Tris-EDTA buffer (pH 9.0) for 20 minutes. The tissues were blocked in 1% BSA for 20 minutes at room temperature, washed with ddH2O and PBS, and then probed with the primary antibody (HA751148) at 1/200 dilution for 1 hour at room temperature. The detection was performed using an HRP conjugated compact polymer system. DAB was used as the chromogen. Tissues were counterstained with hematoxylin and mounted with DPX.
product information
SKU :
HA751148
Target name :
LAMC2
Species reactivity :
Human,Mouse,Rat
Applications :
WB,IF-Cell,IHC-P,FC,IF-Tissue,IP
Conjugate :
Non-conjugated
Immunogen :
Recombinant protein within human LAMC2 aa 550-1,193.
Uniprot id :
Q13753>SwissProt: Q13753 Human;SwissProt: Q61092 Mouse;Entrez Gene: 192362 Rat
Host :
Rabbit
Clone number :
PSH07-27
Isotype :
IgG
Size :
100μl
List Price :
649.00 USD
Storage Buffer :
PBS (pH7.4).
Form :
Liquid
Storage Instruction :
Store at +4℃ after thawing. Aliquot store at -20℃. Avoid repeated freeze / thaw cycles.
Purity :
Protein A affinity purified.
Product type :
Recombinant Rabbit monoclonal Antibody
Positive control :
A431 cell lysate, A549 cell lysate, HaCaT cell lysate, NCI-H441 cell lysate, Mouse skin tissue lysate, Mouse stomach tissue lysate, Rat skin tissue lysate, Rat stomach tissue lysate, human colon tissue, mouse colon tissue, rat colon tissue, A431.
Molecular wt :
Predicted band size: 131 kDa
Subcellular location :
Secreted, extracellular space, extracellular matrix, basement membrane.
Concentration :
1 mg/mL.
Recommended dilutions :
WB: 1:5,000
;IF-Cell: 1:100
;IHC-P: 1:200
;FC: 1:5,000
;IF-Tissue: 1:50
;IP: 1-2μg/sample
Advanced Validation :
Relative expression (RE)
Pic img4 :
https://storage.huabio.cn/huabio/productImg/HA751148_4.jpg
Pic legend4 :
Immunohistochemical analysis of paraffin-embedded mouse colon tissue with Rabbit anti-LAMC2 antibody (HA751148) at 1/200 dilution.
The section was pre-treated using heat mediated antigen retrieval with Tris-EDTA buffer (pH 9.0) for 20 minutes. The tissues were blocked in 1% BSA for 20 minutes at room temperature, washed with ddH2O and PBS, and then probed with the primary antibody (HA751148) at 1/200 dilution for 1 hour at room temperature. The detection was performed using an HRP conjugated compact polymer system. DAB was used as the chromogen. Tissues were counterstained with hematoxylin and mounted with DPX.
Pic img5 :
https://storage.huabio.cn/huabio/productImg/HA751148_5.jpg
Pic legend5 :
Immunohistochemical analysis of paraffin-embedded rat colon tissue with Rabbit anti-LAMC2 antibody (HA751148) at 1/200 dilution.
The section was pre-treated using heat mediated antigen retrieval with Tris-EDTA buffer (pH 9.0) for 20 minutes. The tissues were blocked in 1% BSA for 20 minutes at room temperature, washed with ddH2O and PBS, and then probed with the primary antibody (HA751148) at 1/200 dilution for 1 hour at room temperature. The detection was performed using an HRP conjugated compact polymer system. DAB was used as the chromogen. Tissues were counterstained with hematoxylin and mounted with DPX.
Pic img6 :
https://storage.huabio.cn/huabio/productImg/HA751148_6.jpg
Pic legend6 :
Immunocytochemistry analysis of A431 (positive) and A549 (low expression) labeling LAMC2 with Rabbit anti-LAMC2 antibody (HA751148) at 1/100 dilution.
Cells were fixed in 4% paraformaldehyde for 20 minutes at room temperature, permeabilized with 0.1% Triton X-100 in PBS for 5 minutes at room temperature, then blocked with 1% BSA in 10% negative goat serum for 1 hour at room temperature. Cells were then incubated with Rabbit anti-LAMC2 antibody (HA751148) at 1/100 dilution in 1% BSA in PBST overnight at 4 ℃. Goat Anti-Rabbit IgG H&L (iFluor™ 488, HA1121) was used as the secondary antibody at 1/1,000 dilution. PBS instead of the primary antibody was used as the secondary antibody only control. Nuclear DNA was labelled in blue with DAPI.
Beta tubulin (M1305-2, red) was stained at 1/100 dilution overnight at +4℃. Goat Anti-Mouse IgG H&L (iFluor™ 594, HA1126) was used as the secondary antibody at 1/1,000 dilution.
Pic img7 :
https://storage.huabio.cn/huabio/productImg/HA751148_7.jpg
Pic legend7 :
Flow cytometric analysis of A549 (left, low expression) and A431 (right, positive) cells labeling LAMC2.
Cells were fixed and permeabilized. Then stained with the primary antibody (HA751148, 1/5,000) (red) compared with Rabbit IgG Isotype Control (green). After incubation of the primary antibody at +4℃ for an hour, the cells were stained with a iFluor™ 488 conjugate-Goat anti-Rabbit IgG Secondary antibody (HA1121) at 1/1,000 dilution for 30 minutes at +4℃. Unlabelled sample was used as a control (cells without incubation with primary antibody; black).
Pic img8 :
https://storage.huabio.cn/huabio/productImg/HA751148_8.jpg
Pic legend8 :
LAMC2 was immunoprecipitated from 0.2 mg A431 cell lysate with HA751148 at 2 µg/10 µl beads. Western blot was performed from the immunoprecipitate using HA751148 at 1/1,000 dilution. HRP Conjugated Anti-Rabbit IgG for IP Nano-secondary antibody at 1/5,000 dilution was used for 1 hour at room temperature.
Lane 1: A431 cell lysate (input)
Lane 2: HA751148 IP in A431 cell lysate
Lane 3: Rabbit IgG instead of HA751148 in A431 cell lysate
Blocking/Dilution buffer: primary antibody dilution (K1803)
Exposure time: 2 seconds; ECL: K1801
more info or order :
company information

HUABIO
Founded in 2007, HUABIO is dedicated to developing high-quality antibodies that advance innovation. We are passionate about the accuracy, efficiency, and consistency of our products. That is why we have invested in new production platforms, like recombinant rabbit monoclonals, alpaca nanobodies, and adopted aggressive QA standards to deliver cutting-edge antibodies with uncompromised quality.
We hope to see you at your next discovery!
We hope to see you at your next discovery!
related products
browse more products
questions and comments
