product summary
Loading...
company name :
HUABIO
product type :
antibody
product name :
DYKDDDDK Tag (FLAG)
catalog :
HA751129
quantity :
100μl
price :
649.00 USD
clonality :
monoclonal
host :
domestic rabbit
conjugate :
nonconjugated
clone name :
PSH07-02
application :
western blot, immunoprecipitation, flow cytometry, chromatin immunoprecipitation, immunohistochemistry - paraffin section
more info or order :
image
image 1 :

Western blot analysis of DYKDDDDK Tag (FLAG) on different lysates with Rabbit anti-DYKDDDDK Tag (FLAG) antibody (HA751129) at 1/20,000 dilution.
Lane 1: 293T transfected with FLAG-tagged empty control cell lysate
Lane 2: 293T transfected with FLAG-tagged MYRF (N-terminal) cell lysate
Lane 3: 293T transfected with FLAG-tagged PAF1 (C-terminal) cell lysate
Lane 4: 293T transfected with FLAG-tagged Histone H3 (C-terminal) cell lysate
Lysates/proteins at 10 µg/Lane.
Exposure time: 2 seconds; ECL: K1801;
4-20% SDS-PAGE gel.
Proteins were transferred to a PVDF membrane and blocked with 5% NFDM/TBST for 1 hour at room temperature. The primary antibody (HA751129) at 1/20,000 dilution was used in 5% NFDM/TBST at 4℃ overnight. Goat Anti-Rabbit IgG - HRP Secondary Antibody (HA1001) at 1/50,000 dilution was used for 1 hour at room temperature.
image 2 :

Immunocytochemistry analysis of HeLa cells labeling DYKDDDDK Tag (FLAG) with Rabbit anti-DYKDDDDK Tag (FLAG) antibody (HA751129) at 1/10,000 dilution.
HeLa cells, transfected with FLAG-tagged empty control, Claudin 18.2 (C-terminal) or Histone H3.1 (N-terminal) expression vector, respectively, were fixed in 4% paraformaldehyde for 10 minutes at room temperature, permeabilized with 0.1% Triton X-100 in PBS for 15 minutes at room temperature, then blocked with 1% BSA in 10% negative goat serum for 1 hour at room temperature. Cells were then incubated with Rabbit anti-DYKDDDDK Tag (FLAG) antibody (HA751129) at 1/10,000 dilution in 1% BSA in PBST overnight at 4 ℃. Goat Anti-Rabbit IgG H&L (iFluor™ 488, HA1121) was used as the secondary antibody at 1/1,000 dilution. PBS instead of the primary antibody was used as the secondary antibody only control. Nuclear DNA was labelled in blue with DAPI.
Beta tubulin (M1305-2, red) was stained at 1/100 dilution overnight at +4℃. Goat Anti-Mouse IgG H&L (iFluor™ 594, HA1126) was used as the secondary antibody at 1/1,000 dilution.
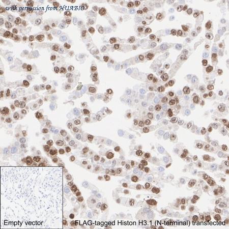
image 3 :

Immunohistochemical analysis of paraffin-embedded HeLa transfected with FLAG-tagged Histon H3.1 (N-terminal) cells with Rabbit anti-DYKDDDDK Tag (FLAG) antibody (HA751129) at 1/1,000 dilution.
The section was pre-treated using heat mediated antigen retrieval with Tris-EDTA buffer (pH 9.0) for 20 minutes. The tissues were blocked in 1% BSA for 20 minutes at room temperature, washed with ddH2O and PBS, and then probed with the primary antibody (HA751129) at 1/1,000 dilution for 1 hour at room temperature. The detection was performed using an HRP conjugated compact polymer system. DAB was used as the chromogen. Tissues were counterstained with hematoxylin and mounted with DPX.
product information
SKU :
HA751129
Target name :
DYKDDDDK Tag (FLAG)
Species reactivity :
Species independent
Applications :
WB,IHC-P,IF-Cell,FC,IP,ChIP
Conjugate :
Non-conjugated
Uniprot id :
>
Host :
Rabbit
Clone number :
PSH07-02
Isotype :
IgG
Size :
100μl
List Price :
649.00 USD
Storage Buffer :
PBS (pH7.4).
Form :
Liquid
Storage Instruction :
Store at +4℃ after thawing. Aliquot store at -20℃. Avoid repeated freeze / thaw cycles.
Purity :
Protein A affinity purified.
Product type :
Recombinant Rabbit monoclonal Antibody
Concentration :
1 mg/mL.
Recommended dilutions :
WB: 1:20,000-1:50,000
;IHC-P: 1:1,000
;IF-Cell: 1:10,000
;FC: 1:1,000
;IP: 1-2μg/sample
;ChIP: Use 0.5~2 μg for 25 μg of chromatin.
Pic img4 :
https://storage.huabio.cn/huabio/productImg/HA751129_4.jpg
Pic legend4 :
Immunohistochemical analysis of paraffin-embedded HeLa transfected with FLAG-tagged Claudin 18.2 (C-terminal) cells with Rabbit anti-DYKDDDDK Tag (FLAG) antibody (HA751129) at 1/1,000 dilution.
The section was pre-treated using heat mediated antigen retrieval with Tris-EDTA buffer (pH 9.0) for 20 minutes. The tissues were blocked in 1% BSA for 20 minutes at room temperature, washed with ddH2O and PBS, and then probed with the primary antibody (HA751129) at 1/1,000 dilution for 1 hour at room temperature. The detection was performed using an HRP conjugated compact polymer system. DAB was used as the chromogen. Tissues were counterstained with hematoxylin and mounted with DPX.
Pic img5 :
https://storage.huabio.cn/huabio/productImg/HA751129_5.jpg
Pic legend5 :
DYKDDDDK Tag (FLAG) was immunoprecipitated in 2µg L-929 transfected with FLAG-tagged CD5 (C-terminal) cell lysate with HA751129. Western blot was performed from the immunoprecipitate using DYKDDDDK Tag (FLAG) (HA751129) at 1/1,000 dilution. Mouse anti Rabbit IgG heavy chain (Fc) secondary antibody (M1003-7) at 1/100,000 dilution was used for 1 hour at room temperature.
Lane 1: L-929 transfected with FLAG-tagged CD5 (C-terminal) cell lysate (input).
Lane 2: Rabbit IgG instead of HA751129 IP in L-929 transfected with FLAG-tagged CD5 (C-terminal) cell lysate.
Lane 3: HA751129 IP in L-929 transfected with FLAG-tagged CD5 (C-terminal) cell lysate.
Blocking/Dilution buffer: 5% NFDM/TBST
Exposure time: 17 seconds; ECL: K1801
Pic img6 :
https://storage.huabio.cn/huabio/productImg/HA751129_6.jpg
Pic legend6 :
DYKDDDDK Tag (FLAG) was immunoprecipitated in 2µg HeLa transfected with FLAG-tagged Histon H3.1 (N-terminal) cell lysate with HA751129. Western blot was performed from the immunoprecipitate using DYKDDDDK Tag (FLAG) (HA751129) at 1/1,000 dilution. Mouse anti Rabbit IgG heavy chain (Fc) secondary antibody (M1003-7) at 1/100,000 dilution was used for 1 hour at room temperature.
Lane 1: HeLa transfected with FLAG-tagged Histon H3.1 (N-terminal) cell lysate (input).
Lane 2: Rabbit IgG instead of HA751129 IP in HeLa transfected with FLAG-tagged Histon H3.1 (N-terminal) cell lysate.
Lane 3: HA751129 IP in HeLa transfected with FLAG-tagged Histon H3.1 (N-terminal) cell lysate.
Blocking/Dilution buffer: 5% NFDM/TBST
Exposure time: 17 seconds; ECL: K1801
Pic img7 :
https://storage.huabio.cn/huabio/productImg/HA751129_7.jpg
Pic legend7 :
Flow cytometric analysis of HeLa cells transfected with FLAG-tagged Otx1 (C-terminal) labeling DYKDDDDK Tag (FLAG).
Cells were fixed and permeabilized. Then stained with the primary antibody (HA751129, 1/1,000) (red) compared with Rabbit IgG Isotype Control (green). After incubation of the primary antibody at +4℃ for an hour, the cells were stained with a iFluor™ 488 conjugate-Goat anti-Rabbit IgG Secondary antibody (HA1121) at 1/1,000 dilution for 30 minutes at +4℃. Unlabelled sample was used as a control (cells without incubation with primary antibody; black).
Pic img8 :
https://storage.huabio.cn/huabio/productImg/HA751129_8.jpg
Pic legend8 :
Flow cytometric analysis of HeLa cells transfected with FLAG-tagged Histon H3.1 (N-terminal) labeling DYKDDDDK Tag (FLAG).
Cells were fixed and permeabilized. Then stained with the primary antibody (HA751129, 1/1,000) (red) compared with Rabbit IgG Isotype Control (green). After incubation of the primary antibody at +4℃ for an hour, the cells were stained with a iFluor™ 488 conjugate-Goat anti-Rabbit IgG Secondary antibody (HA1121) at 1/1,000 dilution for 30 minutes at +4℃. Unlabelled sample was used as a control (cells without incubation with primary antibody; black).
Pic img9 :
https://storage.huabio.cn/huabio/productImg/HA751129_9.jpg
Pic legend9 :
Chromatin immunoprecipitations were performed with cross-linked chromatin from 293T cells transfected with FLAG-tagged empty control (negative) / 293T cells transfected with FLAG-tagged Histone H3 (C-terminal) (positive) with DYKDDDDK Tag (FLAG) (HA751129) or Normal Rabbit IgG according to the ChIP protocol. The enriched DNA was quantified by real-time PCR using indicated primers. The amount of immunoprecipitated DNA in each sample is represented as signal relative to the total amount of input chromatin, which is equivalent to one.
more info or order :
company information

HUABIO
Founded in 2007, HUABIO is dedicated to developing high-quality antibodies that advance innovation. We are passionate about the accuracy, efficiency, and consistency of our products. That is why we have invested in new production platforms, like recombinant rabbit monoclonals, alpaca nanobodies, and adopted aggressive QA standards to deliver cutting-edge antibodies with uncompromised quality.
We hope to see you at your next discovery!
We hope to see you at your next discovery!
browse more products
questions and comments
