product summary
Loading...
company name :
HUABIO
product type :
antibody
product name :
MX1
catalog :
HA751043
quantity :
100μl
price :
649.00 USD
clonality :
monoclonal
host :
domestic rabbit
conjugate :
nonconjugated
clone name :
PSH06-03
reactivity :
human
application :
western blot, immunohistochemistry - paraffin section
more info or order :
image
image 1 :

Western blot analysis of MX1 on different lysates with Rabbit anti-MX1 antibody (HA751043) at 1/5,000 dilution.
Lane 1: HeLa cell lysate
Lane 2: HeLa treated with 10ng/mL IFN-α1 for 16 hours cell lysate
Lane 3: Daudi cell lysate
Lane 4: Daudi treated with 10ng/mL IFN-α1 for 16 hours cell lysate
Lysates/proteins at 20 µg/Lane.
Predicted band size: 76 kDa
Observed band size: 70 kDa
Exposure time: 17 seconds; ECL: K1801;
4-20% SDS-PAGE gel.
Proteins were transferred to a PVDF membrane and blocked with 5% NFDM/TBST for 1 hour at room temperature. The primary antibody (HA751043) at 1/5,000 dilution was used in 5% NFDM/TBST at 4℃ overnight. Goat Anti-Rabbit IgG - HRP Secondary Antibody (HA1001) at 1/50,000 dilution was used for 1 hour at room temperature.
image 2 :

Immunocytochemistry analysis of Daudi cells treated with 10ng/mL IFN-α1 for 16 hours labeling MX1 with Rabbit anti-MX1 antibody (HA751043) at 1/50 dilution.
Cells were fixed in 4% paraformaldehyde for 20 minutes at room temperature, permeabilized with 0.1% Triton X-100 in PBS for 5 minutes at room temperature, then blocked with 1% BSA in 10% negative goat serum for 1 hour at room temperature. Cells were then incubated with Rabbit anti-MX1 antibody (HA751043) at 1/50 dilution in 1% BSA in PBST overnight at 4 ℃. Goat Anti-Rabbit IgG H&L (iFluor™ 488, HA1121) was used as the secondary antibody at 1/1,000 dilution. PBS instead of the primary antibody was used as the secondary antibody only control. Nuclear DNA was labelled in blue with DAPI.
Beta tubulin (M1305-2, red) was stained at 1/100 dilution overnight at +4℃. Goat Anti-Mouse IgG H&L (iFluor™ 594, HA1126) was used as the secondary antibody at 1/1,000 dilution.
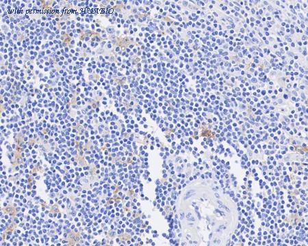
image 3 :

Immunohistochemical analysis of paraffin-embedded human spleen tissue with Rabbit anti-MX1 antibody (HA751043) at 1/200 dilution.
The section was pre-treated using heat mediated antigen retrieval with Tris-EDTA buffer (pH 9.0) for 20 minutes. The tissues were blocked in 1% BSA for 20 minutes at room temperature, washed with ddH2O and PBS, and then probed with the primary antibody (HA751043) at 1/200 dilution for 1 hour at room temperature. The detection was performed using an HRP conjugated compact polymer system. DAB was used as the chromogen. Tissues were counterstained with hematoxylin and mounted with DPX.
product information
SKU :
HA751043
Target name :
MX1
Species reactivity :
Human
Applications :
WB,IF-Cell,IHC-P
Conjugate :
Non-conjugated
Immunogen :
Recombinant protein within human MX1 aa 351-662.
Uniprot id :
P20591>SwissProt: P20591 Human
Host :
Rabbit
Clone number :
PSH06-03
Isotype :
IgG
Size :
100μl
List Price :
649.00 USD
Storage Buffer :
PBS (pH7.4).
Form :
Liquid
Storage Instruction :
Store at +4℃ after thawing. Aliquot store at -20℃. Avoid repeated freeze / thaw cycles.
Purity :
Protein A affinity purified.
Product type :
Recombinant Rabbit monoclonal Antibody
Positive control :
HeLa treated with 10ng/mL IFN-α1 for 16 hours cell lysate, Daudi treated with 10ng/mL IFN-α1 for 16 hours cell lysate, Daudi treated with 10ng/mL IFN-α1 for 16 hours, human spleen tissue.
Molecular wt :
Predicted band size: 76 kDa
Subcellular location :
Cytoplasm, Endoplasmic reticulum membrane, Cytoplasm, perinuclear region; Cytoplasm, Nucleus.
Concentration :
1 mg/mL.
Recommended dilutions :
WB: 1:5,000
;IF-Cell: 1:50
;IHC-P: 1:200
Advanced Validation :
Cell treatment (CT)
more info or order :
company information

HUABIO
Founded in 2007, HUABIO is dedicated to developing high-quality antibodies that advance innovation. We are passionate about the accuracy, efficiency, and consistency of our products. That is why we have invested in new production platforms, like recombinant rabbit monoclonals, alpaca nanobodies, and adopted aggressive QA standards to deliver cutting-edge antibodies with uncompromised quality.
We hope to see you at your next discovery!
We hope to see you at your next discovery!
related products
browse more products
questions and comments
