product summary
Loading...
company name :
HUABIO
product type :
antibody
product name :
Inhibin alpha
catalog :
HA751016
quantity :
100μl
price :
649.00 USD
clonality :
monoclonal
host :
domestic rabbit
conjugate :
nonconjugated
clone name :
PD01-29
reactivity :
human, mouse, rat
application :
western blot, immunohistochemistry - paraffin section
more info or order :
image
image 1 :

Western blot analysis of Inhibin alpha on different lysates with Rabbit anti-Inhibin alpha antibody (HA751016) at 1/1,000 dilution.
Lane 1: Mouse ovary tissue lysate
Lane 2: Mouse testis tissue lysate
Lane 3: Rat ovary tissue lysate
Lane 4: Rat testis tissue lysate
Lysates/proteins at 20 µg/Lane.
Predicted band size: 40 kDa
Observed band size: 40-45 kDa
Exposure time: 16 seconds; ECL: K1801;
4-20% SDS-PAGE gel.
Proteins were transferred to a PVDF membrane and blocked with 5% NFDM/TBST for 1 hour at room temperature. The primary antibody (HA751016) at 1/1,000 dilution was used in 5% NFDM/TBST at 4℃ overnight. Goat Anti-Rabbit IgG - HRP Secondary Antibody (HA1001) at 1/50,000 dilution was used for 1 hour at room temperature.
image 2 :

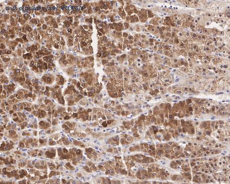
Immunohistochemical analysis of paraffin-embedded human adrenal gland tissue with Rabbit anti-Inhibin alpha antibody (HA751016) at 1/500 dilution.
The section was pre-treated using heat mediated antigen retrieval with Tris-EDTA buffer (pH 9.0) for 20 minutes. The tissues were blocked in 1% BSA for 20 minutes at room temperature, washed with ddH2O and PBS, and then probed with the primary antibody (HA751016) at 1/500 dilution for 1 hour at room temperature. The detection was performed using an HRP conjugated compact polymer system. DAB was used as the chromogen. Tissues were counterstained with hematoxylin and mounted with DPX.
image 3 :

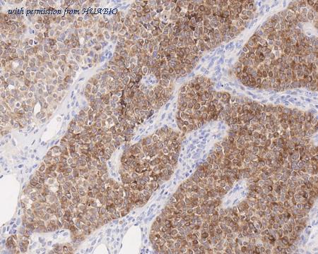
Immunohistochemical analysis of paraffin-embedded human ovary granular cell tumor tissue with Rabbit anti-Inhibin alpha antibody (HA751016) at 1/500 dilution.
The section was pre-treated using heat mediated antigen retrieval with Tris-EDTA buffer (pH 9.0) for 20 minutes. The tissues were blocked in 1% BSA for 20 minutes at room temperature, washed with ddH2O and PBS, and then probed with the primary antibody (HA751016) at 1/500 dilution for 1 hour at room temperature. The detection was performed using an HRP conjugated compact polymer system. DAB was used as the chromogen. Tissues were counterstained with hematoxylin and mounted with DPX.
product information
SKU :
HA751016
Target name :
Inhibin alpha
Species reactivity :
Human,Mouse,Rat
Applications :
IHC-P,WB
Conjugate :
Non-conjugated
Immunogen :
Synthetic peptide within Human Inhibin alpha aa 233-366.
Uniprot id :
P05111>SwissProt: P05111 Human;SwissProt: Q04997 Mouse;SwissProt: P17490 Rat
Host :
Rabbit
Clone number :
PD01-29
Isotype :
IgG
Size :
100μl
List Price :
649.00 USD
Storage Buffer :
PBS (pH7.4).
Form :
Liquid
Storage Instruction :
Store at +4℃ after thawing. Aliquot store at -20℃. Avoid repeated freeze / thaw cycles.
Purity :
Protein A affinity purified.
Product type :
Recombinant Rabbit monoclonal Antibody
Positive control :
Mouse ovary tissue lysate, mouse testis tissue lysate, rat ovary tissue lysate, rat testis tissue lysate, human adrenal gland tissue, human ovary granular cell tumor tissue.
Molecular wt :
Predicted band size: 40 kDa
Subcellular location :
Secreted.
Concentration :
1 mg/mL.
Recommended dilutions :
IHC-P: 1:500-1:1,000
;WB: 1:1,000
more info or order :
company information

HUABIO
Founded in 2007, HUABIO is dedicated to developing high-quality antibodies that advance innovation. We are passionate about the accuracy, efficiency, and consistency of our products. That is why we have invested in new production platforms, like recombinant rabbit monoclonals, alpaca nanobodies, and adopted aggressive QA standards to deliver cutting-edge antibodies with uncompromised quality.
We hope to see you at your next discovery!
We hope to see you at your next discovery!
related products
browse more products
questions and comments
