product summary
Loading...
company name :
HUABIO
product type :
antibody
product name :
CREBBP
catalog :
HA751014
quantity :
100μl
price :
649.00 USD
clonality :
monoclonal
host :
domestic rabbit
conjugate :
nonconjugated
clone name :
PS01-16
reactivity :
human, mouse
application :
immunohistochemistry - paraffin section
more info or order :
image
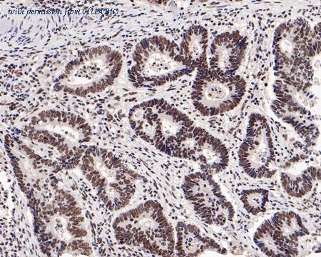
image 1 :

Immunohistochemical analysis of paraffin-embedded human colon carcinoma tissue with Rabbit anti-CREBBP antibody (HA751014) at 1/1,000 dilution.
The section was pre-treated using heat mediated antigen retrieval with sodium citrate buffer (pH 6.0) (high pressure) for 2 minutes. The tissues were blocked in 1% BSA for 20 minutes at room temperature, washed with ddH2O and PBS, and then probed with the primary antibody (HA751014) at 1/1,000 dilution for 1 hour at room temperature. The detection was performed using an HRP conjugated compact polymer system. DAB was used as the chromogen. Tissues were counterstained with hematoxylin and mounted with DPX.
image 2 :

Immunohistochemical analysis of paraffin-embedded human breast carcinoma tissue with Rabbit anti-CREBBP antibody (HA751014) at 1/1,000 dilution.
The section was pre-treated using heat mediated antigen retrieval with sodium citrate buffer (pH 6.0) (high pressure) for 2 minutes. The tissues were blocked in 1% BSA for 20 minutes at room temperature, washed with ddH2O and PBS, and then probed with the primary antibody (HA751014) at 1/1,000 dilution for 1 hour at room temperature. The detection was performed using an HRP conjugated compact polymer system. DAB was used as the chromogen. Tissues were counterstained with hematoxylin and mounted with DPX.
image 3 :

Immunohistochemical analysis of paraffin-embedded mousse testis tissue with Rabbit anti-CREBBP antibody (HA751014) at 1/200 dilution.
The section was pre-treated using heat mediated antigen retrieval with sodium citrate buffer (pH 6.0) (high pressure) for 2 minutes. The tissues were blocked in 1% BSA for 20 minutes at room temperature, washed with ddH2O and PBS, and then probed with the primary antibody (HA751014) at 1/200 dilution for 1 hour at room temperature. The detection was performed using an HRP conjugated compact polymer system. DAB was used as the chromogen. Tissues were counterstained with hematoxylin and mounted with DPX.
product information
SKU :
HA751014
Target name :
CREBBP
Species reactivity :
Human,Mouse
Applications :
IHC-P
Conjugate :
Non-conjugated
Immunogen :
Synthetic peptide within Human CREBBP aa 2400-2500.
Uniprot id :
Q92793>SwissProt: Q92793 Human;SwissProt: P45481 Mouse
Host :
Rabbit
Clone number :
PS01-16
Isotype :
IgG
Size :
100μl
List Price :
649.00 USD
Storage Buffer :
PBS (pH7.4).
Form :
Liquid
Storage Instruction :
Store at +4℃ after thawing. Aliquot store at -20℃. Avoid repeated freeze / thaw cycles.
Purity :
Protein A affinity purified.
Product type :
Recombinant Rabbit monoclonal Antibody
Positive control :
Human colon carcinoma tissue, human breast carcinoma tissue, mousse testis tissue.
Molecular wt :
Predicted band size: 265 kDa
Subcellular location :
Cytoplasm, Nucleus.
Concentration :
1 mg/mL.
Recommended dilutions :
IHC-P: 1:200-1:1,000
more info or order :
company information

HUABIO
Founded in 2007, HUABIO is dedicated to developing high-quality antibodies that advance innovation. We are passionate about the accuracy, efficiency, and consistency of our products. That is why we have invested in new production platforms, like recombinant rabbit monoclonals, alpaca nanobodies, and adopted aggressive QA standards to deliver cutting-edge antibodies with uncompromised quality.
We hope to see you at your next discovery!
We hope to see you at your next discovery!
related products
browse more products
questions and comments
