product summary
Loading...
company name :
HUABIO
product type :
antibody
product name :
SP110
catalog :
HA750900
quantity :
100μl
price :
649.00 USD
clonality :
monoclonal
host :
domestic rabbit
conjugate :
nonconjugated
clone name :
PSH03-66
reactivity :
human, mouse, rat
application :
western blot, immunohistochemistry - paraffin section
more info or order :
image
image 1 :

Western blot analysis of SP110 on different lysates with Rabbit anti-SP110 antibody (HA750900) at 1/1,000 dilution.
Lane 1: Jurkat cell lysate
Lane 2: HeLa cell lysate
Lane 3: HL-60 cell lysate
Lane 4: SW480 cell lysate
Lane 5: Daudi cell lysate
Lane 6: K-562 cell lysate
Lane 7: PC-3M cell lysate
Lysates/proteins at 20 µg/Lane.
Predicted band size: 78 kDa
Observed band size: 29-78 kDa
Exposure time: 3 minutes;
4-20% SDS-PAGE gel.
Proteins were transferred to a PVDF membrane and blocked with 5% NFDM/TBST for 1 hour at room temperature. The primary antibody (HA750900) at 1/1,000 dilution was used in 5% NFDM/TBST at 4℃ overnight. Goat Anti-Rabbit IgG - HRP Secondary Antibody (HA1001) at 1/50,000 dilution was used for 1 hour at room temperature.
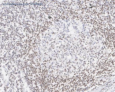
image 2 :

Immunohistochemical analysis of paraffin-embedded human lymph node tissue with Rabbit anti-SP110 antibody (HA750900) at 1/2,000 dilution.
The section was pre-treated using heat mediated antigen retrieval with sodium citrate buffer (pH 6.0) (high pressure) for 2 minutes. The tissues were blocked in 1% BSA for 20 minutes at room temperature, washed with ddH2O and PBS, and then probed with the primary antibody (HA750900) at 1/2,000 dilution for 1 hour at room temperature. The detection was performed using an HRP conjugated compact polymer system. DAB was used as the chromogen. Tissues were counterstained with hematoxylin and mounted with DPX.
product information
SKU :
HA750900
Target name :
SP110
Species reactivity :
Human,Mouse,Rat
Applications :
WB,IHC-P,IF-Tissue
Conjugate :
Non-conjugated
Immunogen :
Recombinant protein within human SP110 aa 301-550 / 689.
Uniprot id :
Q9HB58>SwissProt: Q9HB58 Human
Host :
Rabbit
Clone number :
PSH03-66
Isotype :
IgG1
Size :
100μl
List Price :
649.00 USD
Storage Buffer :
PBS (pH7.4).
Form :
Liquid
Storage Instruction :
Store at +4℃ after thawing. Aliquot store at -20℃. Avoid repeated freeze / thaw cycles.
Purity :
Protein A affinity purified.
Product type :
Recombinant Rabbit monoclonal Antibody
Positive control :
Jurkat cell lysate, HeLa cell lysate, HL-60 cell lysate, SW480 cell lysate, Daudi cell lysate, K-562 cell lysate, PC-3M cell lysate, human lymph node tissue.
Molecular wt :
Predicted band size: 78 kDa
Subcellular location :
Nucleus.
Concentration :
1 mg/mL.
Recommended dilutions :
WB: 1:1,000
;IHC-P: 1:2,000
more info or order :
company information

HUABIO
Founded in 2007, HUABIO is dedicated to developing high-quality antibodies that advance innovation. We are passionate about the accuracy, efficiency, and consistency of our products. That is why we have invested in new production platforms, like recombinant rabbit monoclonals, alpaca nanobodies, and adopted aggressive QA standards to deliver cutting-edge antibodies with uncompromised quality.
We hope to see you at your next discovery!
We hope to see you at your next discovery!
related products
browse more products
questions and comments
