product summary
Loading...
company name :
HUABIO
product type :
antibody
product name :
Rab1A
catalog :
HA750896
quantity :
100μl
price :
649.00 USD
clonality :
monoclonal
host :
domestic rabbit
conjugate :
nonconjugated
clone name :
PSH03-62
reactivity :
human, mouse, rat
application :
western blot, flow cytometry, immunohistochemistry - paraffin section
more info or order :
image
image 1 :

Western blot analysis of Rab1A on different lysates with Rabbit anti-Rab1A antibody (HA750896) at 1/2,000 dilution and competitor's antibody at 1/2,000 dilution.
Lane 1: U-87 MG cell lysate
Lane 2: U-2 OS cell lysate
Lane 3: A549 cell lysate
Lane 4: HCT 116 cell lysate
Lane 5: NIH/3T3 cell lysate
Lane 6: C2C12 cell lysate
Lane 7: C6 cell lysate
Lane 8: Mouse brain tissue lysate
Lane 9: Mouse liver tissue lysate (low expression)
Lane 10: Rat brain tissue lysate
Lane 11: Rat liver tissue lysate (low expression)
Lysates/proteins at 20 µg/Lane.
Predicted band size: 23 kDa
Observed band size: 23 kDa
Exposure time: Lane 1-11 (left): 10 seconds; Lane 1-11 (right): 28 seconds; ECL: K1801;
4-20% SDS-PAGE gel.
Proteins were transferred to a PVDF membrane and blocked with 5% NFDM/TBST for 1 hour at room temperature. The primary antibody (HA750896) at 1/2,000 dilution and competitor's antibody at 1/2,000 dilution were used in 5% NFDM/TBST at 4℃ overnight. Goat Anti-Rabbit IgG - HRP Secondary Antibody (HA1001) at 1/50,000 dilution was used for 1 hour at room temperature.
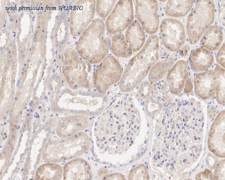
image 2 :

Immunohistochemical analysis of paraffin-embedded human kidney tissue with Rabbit anti-Rab1A antibody (HA750896) at 1/200 dilution.
The section was pre-treated using heat mediated antigen retrieval with Tris-EDTA buffer (pH 9.0) for 20 minutes. The tissues were blocked in 1% BSA for 20 minutes at room temperature, washed with ddH2O and PBS, and then probed with the primary antibody (HA750896) at 1/200 dilution for 1 hour at room temperature. The detection was performed using an HRP conjugated compact polymer system. DAB was used as the chromogen. Tissues were counterstained with hematoxylin and mounted with DPX.
image 3 :

Western blot analysis of Rab1A on different lysates with Rabbit anti-Rab1A antibody (HA750896) at 1/5,000 dilution.
Lane 1: HAP1-parental cell lysate
Lane 2: HAP1-Rab1A KD cell lysate
Lysates/proteins at 10 µg/Lane.
Predicted band size: 23 kDa
Observed band size: 23 kDa
Exposure time: 1 minute; ECL: K1801;
4-20% SDS-PAGE gel.
Proteins were transferred to a PVDF membrane and blocked with 5% NFDM/TBST for 1 hour at room temperature. The primary antibody (HA750896) at 1/5,000 dilution was used in primary antibody dilution (K1803) at 4℃ overnight. Goat Anti-Rabbit IgG - HRP Secondary Antibody (HA1001) at 1/50,000 dilution was used for 1 hour at room temperature.
product information
SKU :
HA750896
Target name :
Rab1A
Species reactivity :
Human,Mouse,Rat
Applications :
WB,IHC-P,IF-Cell,FC
Conjugate :
Non-conjugated
Immunogen :
Synthetic peptide within human Rab1A aa 156-205 / 205.
Uniprot id :
P62820>SwissProt: P62820 Human;SwissProt: P62821 Mouse;SwissProt: Q6NYB7 Rat
Host :
Rabbit
Clone number :
PSH03-62
Isotype :
IgG
Size :
100μl
List Price :
649.00 USD
Storage Buffer :
PBS (pH7.4).
Form :
Liquid
Storage Instruction :
Store at +4℃ after thawing. Aliquot store at -20℃. Avoid repeated freeze / thaw cycles.
Purity :
Protein A affinity purified.
Product type :
Recombinant Rabbit monoclonal Antibody
Positive control :
U-87 MG cell lysate, U-2 OS cell lysate, A549 cell lysate, HCT 116 cell lysate, NIH/3T3 cell lysate, C2C12 cell lysate, C6 cell lysate, mouse brain tissue lysate, mouse liver tissue lysate, rat brain tissue lysate, rat liver tissue lysate, human kidney tissue, mouse brain tissue, mouse kidney tissue, rat brain tissue, rat kidney tissue, U-87 MG, C2C12, C6.
Molecular wt :
Predicted band size: 23 kDa
Subcellular location :
Golgi apparatus, Endoplasmic reticulum, Early endosome, Cytoplasm, cytosol, Membrane, Melanosome.
Concentration :
1 mg/mL.
Recommended dilutions :
WB: 1:2,000
;IHC-P: 1:200-1:1,000
;IF-Cell: 1:100-1:200
;FC: 1:1,000
Advanced Validation :
Relative expression (RE),Knockdown (KD)
Pic img4 :
https://storage.huabio.cn/huabio/productImg/HA750896_4.jpg
Pic legend4 :
Immunohistochemical analysis of paraffin-embedded mouse brain tissue with Rabbit anti-Rab1A antibody (HA750896) at 1/1,000 dilution.
The section was pre-treated using heat mediated antigen retrieval with Tris-EDTA buffer (pH 9.0) for 20 minutes. The tissues were blocked in 1% BSA for 20 minutes at room temperature, washed with ddH2O and PBS, and then probed with the primary antibody (HA750896) at 1/1,000 dilution for 1 hour at room temperature. The detection was performed using an HRP conjugated compact polymer system. DAB was used as the chromogen. Tissues were counterstained with hematoxylin and mounted with DPX.
Pic img5 :
https://storage.huabio.cn/huabio/productImg/HA750896_5.jpg
Pic legend5 :
Immunohistochemical analysis of paraffin-embedded mouse kidney tissue with Rabbit anti-Rab1A antibody (HA750896) at 1/1,000 dilution.
The section was pre-treated using heat mediated antigen retrieval with Tris-EDTA buffer (pH 9.0) for 20 minutes. The tissues were blocked in 1% BSA for 20 minutes at room temperature, washed with ddH2O and PBS, and then probed with the primary antibody (HA750896) at 1/1,000 dilution for 1 hour at room temperature. The detection was performed using an HRP conjugated compact polymer system. DAB was used as the chromogen. Tissues were counterstained with hematoxylin and mounted with DPX.
Pic img6 :
https://storage.huabio.cn/huabio/productImg/HA750896_6.jpg
Pic legend6 :
Immunohistochemical analysis of paraffin-embedded rat brain tissue with Rabbit anti-Rab1A antibody (HA750896) at 1/200 dilution.
The section was pre-treated using heat mediated antigen retrieval with Tris-EDTA buffer (pH 9.0) for 20 minutes. The tissues were blocked in 1% BSA for 20 minutes at room temperature, washed with ddH2O and PBS, and then probed with the primary antibody (HA750896) at 1/200 dilution for 1 hour at room temperature. The detection was performed using an HRP conjugated compact polymer system. DAB was used as the chromogen. Tissues were counterstained with hematoxylin and mounted with DPX.
Pic img7 :
https://storage.huabio.cn/huabio/productImg/HA750896_7.jpg
Pic legend7 :
Immunohistochemical analysis of paraffin-embedded rat kidney tissue with Rabbit anti-Rab1A antibody (HA750896) at 1/1,000 dilution.
The section was pre-treated using heat mediated antigen retrieval with Tris-EDTA buffer (pH 9.0) for 20 minutes. The tissues were blocked in 1% BSA for 20 minutes at room temperature, washed with ddH2O and PBS, and then probed with the primary antibody (HA750896) at 1/1,000 dilution for 1 hour at room temperature. The detection was performed using an HRP conjugated compact polymer system. DAB was used as the chromogen. Tissues were counterstained with hematoxylin and mounted with DPX.
Pic img8 :
https://storage.huabio.cn/huabio/productImg/HA750896_8.jpg
Pic legend8 :
Immunocytochemistry analysis of U-87 MG cells labeling Rab1A with Rabbit anti-Rab1A antibody (HA750896) at 1/100 dilution.
Cells were fixed in 4% paraformaldehyde for 20 minutes at room temperature, permeabilized with 0.1% Triton X-100 in PBS for 5 minutes at room temperature, then blocked with 1% BSA in 10% negative goat serum for 1 hour at room temperature. Cells were then incubated with Rabbit anti-Rab1A antibody (HA750896) at 1/100 dilution in 1% BSA in PBST overnight at 4 ℃. Goat Anti-Rabbit IgG H&L (iFluor™ 488, HA1121) was used as the secondary antibody at 1/1,000 dilution. PBS instead of the primary antibody was used as the secondary antibody only control. Nuclear DNA was labelled in blue with DAPI.
Beta tubulin (M1305-2, red) was stained at 1/100 dilution overnight at +4℃. Goat Anti-Mouse IgG H&L (iFluor™ 594, HA1126) was used as the secondary antibody at 1/1,000 dilution.
Pic img9 :
https://storage.huabio.cn/huabio/productImg/HA750896_9.jpg
Pic legend9 :
Immunocytochemistry analysis of C2C12 cells labeling Rab1A with Rabbit anti-Rab1A antibody (HA750896) at 1/200 dilution.
Cells were fixed in 4% paraformaldehyde for 20 minutes at room temperature, permeabilized with 0.1% Triton X-100 in PBS for 5 minutes at room temperature, then blocked with 1% BSA in 10% negative goat serum for 1 hour at room temperature. Cells were then incubated with Rabbit anti-Rab1A antibody (HA750896) at 1/200 dilution in 1% BSA in PBST overnight at 4 ℃. Goat Anti-Rabbit IgG H&L (iFluor™ 488, HA1121) was used as the secondary antibody at 1/1,000 dilution. PBS instead of the primary antibody was used as the secondary antibody only control. Nuclear DNA was labelled in blue with DAPI.
Beta tubulin (M1305-2, red) was stained at 1/100 dilution overnight at +4℃. Goat Anti-Mouse IgG H&L (iFluor™ 594, HA1126) was used as the secondary antibody at 1/1,000 dilution.
Pic img10 :
https://storage.huabio.cn/huabio/productImg/HA750896_10.jpg
Pic legend10 :
Immunocytochemistry analysis of C6 cells labeling Rab1A with Rabbit anti-Rab1A antibody (HA750896) at 1/100 dilution.
Cells were fixed in 4% paraformaldehyde for 20 minutes at room temperature, permeabilized with 0.1% Triton X-100 in PBS for 5 minutes at room temperature, then blocked with 1% BSA in 10% negative goat serum for 1 hour at room temperature. Cells were then incubated with Rabbit anti-Rab1A antibody (HA750896) at 1/100 dilution in 1% BSA in PBST overnight at 4 ℃. Goat Anti-Rabbit IgG H&L (iFluor™ 488, HA1121) was used as the secondary antibody at 1/1,000 dilution. PBS instead of the primary antibody was used as the secondary antibody only control. Nuclear DNA was labelled in blue with DAPI.
Beta tubulin (M1305-2, red) was stained at 1/100 dilution overnight at +4℃. Goat Anti-Mouse IgG H&L (iFluor™ 594, HA1126) was used as the secondary antibody at 1/1,000 dilution.
Pic img11 :
https://storage.huabio.cn/huabio/productImg/HA750896_11.jpg
Pic legend11 :
Flow cytometric analysis of U-87 MG cells labeling Rab1A.
Cells were fixed and permeabilized. Then stained with the primary antibody (HA750896, 1μg/mL) (red) compared with Rabbit IgG Isotype Control (green). After incubation of the primary antibody at +4℃ for an hour, the cells were stained with a iFluor™ 488 conjugate-Goat anti-Rabbit IgG Secondary antibody (HA1121) at 1/1,000 dilution for 30 minutes at +4℃. Unlabelled sample was used as a control (cells without incubation with primary antibody; black).
more info or order :
company information

HUABIO
Founded in 2007, HUABIO is dedicated to developing high-quality antibodies that advance innovation. We are passionate about the accuracy, efficiency, and consistency of our products. That is why we have invested in new production platforms, like recombinant rabbit monoclonals, alpaca nanobodies, and adopted aggressive QA standards to deliver cutting-edge antibodies with uncompromised quality.
We hope to see you at your next discovery!
We hope to see you at your next discovery!
browse more products
questions and comments
