product summary
Loading...
company name :
HUABIO
product type :
antibody
product name :
Axin1
catalog :
HA750855
quantity :
100μl
price :
649.00 USD
clonality :
monoclonal
host :
domestic rabbit
conjugate :
nonconjugated
clone name :
PSH03-00
reactivity :
human
application :
western blot, immunohistochemistry - paraffin section
more info or order :
image
image 1 :

Western blot analysis of Axin1 on different lysates with Rabbit anti-Axin1 antibody (HA750855) at 1/2,000 dilution.
Lane 1: SW480 cell lysate (10 µg/Lane)
Lane 2: HeLa cell lysate (10 µg/Lane)
Lane 3: 293T cell lysate (10 µg/Lane)
Lane 4: K-562 cell lysate (10 µg/Lane)
Lane 5: Huh7 cell lysate (10 µg/Lane)
Predicted band size: 96 kDa
Observed band size: 110 kDa
Exposure time: 3 minutes;
4-20% SDS-PAGE gel.
Proteins were transferred to a PVDF membrane and blocked with 5% NFDM/TBST for 1 hour at room temperature. The primary antibody (HA750855) at 1/2,000 dilution was used in 5% NFDM/TBST at 4℃ overnight. Goat Anti-Rabbit IgG - HRP Secondary Antibody (HA1001) at 1/50,000 dilution was used for 1 hour at room temperature.
image 2 :

Western blot analysis of Axin1 on different lysates with Rabbit anti-Axin1 antibody (HA750855) at 1/2,000 dilution.
Lane 1: HAP1-parental cell lysate
Lane 2: HAP1-Axin1 KD cell lysate
Lysates/proteins at 10 µg/Lane.
Predicted band size: 96 kDa
Observed band size: 110 kDa
Exposure time: 140 seconds; ECL: K1801;
4-20% SDS-PAGE gel.
Proteins were transferred to a PVDF membrane and blocked with 5% NFDM/TBST for 1 hour at room temperature. The primary antibody (HA750855) at 1/2,000 dilution was used in K1803 at 4℃ overnight. Goat Anti-Rabbit IgG - HRP Secondary Antibody (HA1001) at 1/50,000 dilution was used for 1 hour at room temperature.
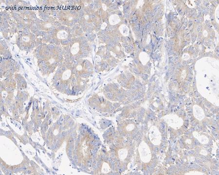
image 3 :

Immunohistochemical analysis of paraffin-embedded human colon cancer tissue with Rabbit anti-Axin1 antibody (HA750855) at 1/2,000 dilution.
The section was pre-treated using heat mediated antigen retrieval with sodium citrate buffer (pH 6.0) (high pressure) for 2 minutes. The tissues were blocked in 1% BSA for 20 minutes at room temperature, washed with ddH2O and PBS, and then probed with the primary antibody (HA750855) at 1/2,000 dilution for 1 hour at room temperature. The detection was performed using an HRP conjugated compact polymer system. DAB was used as the chromogen. Tissues were counterstained with hematoxylin and mounted with DPX.
product information
SKU :
HA750855
Target name :
Axin1
Species reactivity :
Human
Applications :
WB,IHC-P
Conjugate :
Non-conjugated
Immunogen :
Synthetic peptide within Human Axin1 aa 1-400 / 862.
Uniprot id :
O15169>SwissProt: O15169 Human
Host :
Rabbit
Clone number :
PSH03-00
Isotype :
IgG
Size :
100μl
List Price :
649.00 USD
Storage Buffer :
PBS (pH7.4).
Form :
Liquid
Storage Instruction :
Store at +4℃ after thawing. Aliquot store at -20℃. Avoid repeated freeze / thaw cycles.
Purity :
Protein A affinity purified.
Product type :
Recombinant Rabbit monoclonal Antibody
Positive control :
SW480 cell lysate, HeLa cell lysate, 293T cell lysate, K-562 cell lysate, Huh7 cell lysate, human colon cancer tissue.
Molecular wt :
Predicted band size: 95.6 kDa
Subcellular location :
Cytoplasm. Nucleus. Membrane. Cell membrane.
Concentration :
1 mg/mL.
Recommended dilutions :
WB: 1:2,000
;IHC-P: 1:500-1:2,000
Advanced Validation :
Knockdown (KD)
more info or order :
company information

HUABIO
Founded in 2007, HUABIO is dedicated to developing high-quality antibodies that advance innovation. We are passionate about the accuracy, efficiency, and consistency of our products. That is why we have invested in new production platforms, like recombinant rabbit monoclonals, alpaca nanobodies, and adopted aggressive QA standards to deliver cutting-edge antibodies with uncompromised quality.
We hope to see you at your next discovery!
We hope to see you at your next discovery!
related products
browse more products
questions and comments
