product summary
Loading...
company name :
HUABIO
product type :
antibody
product name :
HNRNPA0
catalog :
HA750832
quantity :
100μl
price :
649.00 USD
clonality :
monoclonal
host :
domestic rabbit
conjugate :
nonconjugated
clone name :
PSH02-77
reactivity :
human, mouse
application :
western blot, flow cytometry, immunohistochemistry - paraffin section
more info or order :
image
image 1 :

Western blot analysis of HNRNPA0 on different lysates with Rabbit anti-HNRNPA0 antibody (HA750832) at 1/2,000 dilution and competitor's antibody at 1/2,000 dilution.
Lane 1: HeLa cell lysate
Lane 2: 293T cell lysate
Lane 3: A549 cell lysate
Lane 4: Jurkat cell lysate
Lane 5: A431 cell lysate
Lane 6: COS-1 cell lysate
Lane 7: PC-12 cell lysate
Lane 8: Human brain tissue lysate
Lane 9: Mouse brain tissue lysate
Lane 10: Mouse testis tissue lysate
Lane 11: Rat brain tissue lysate
Lane 12: RAW264.7 cell lysate
Lysates/proteins at 30 µg/Lane.
Predicted band size: 31 kDa
Observed band size: 34/36 kDa
Exposure time: Lane 1-12 (left): 10 seconds; Lane 1-12 (right): 42 seconds; ECL: K1802;
4-20% SDS-PAGE gel.
Proteins were transferred to a PVDF membrane and blocked with 5% NFDM/TBST for 1 hour at room temperature. The primary antibody (HA750832) at 1/2,000 dilution and competitor's antibody at 1/2,000 dilution were used in 5% NFDM/TBST at 4℃ overnight. Goat Anti-Rabbit IgG - HRP Secondary Antibody (HA1001) at 1/50,000 dilution was used for 1 hour at room temperature.
image 2 :

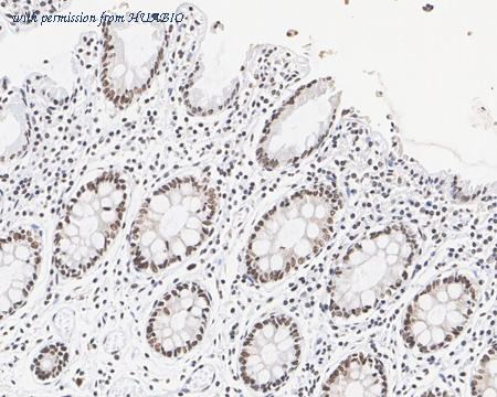
Immunohistochemical analysis of paraffin-embedded human colon tissue with Rabbit anti-HNRNPA0 antibody (HA750832) at 1/2,000 dilution.
The section was pre-treated using heat mediated antigen retrieval with sodium citrate buffer (pH 6.0) (high pressure) for 2 minutes. The tissues were blocked in 1% BSA for 20 minutes at room temperature, washed with ddH2O and PBS, and then probed with the primary antibody (HA750832) at 1/2,000 dilution for 1 hour at room temperature. The detection was performed using an HRP conjugated compact polymer system. DAB was used as the chromogen. Tissues were counterstained with hematoxylin and mounted with DPX.
image 3 :

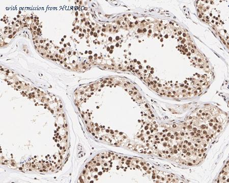
Immunohistochemical analysis of paraffin-embedded human testis tissue with Rabbit anti-HNRNPA0 antibody (HA750832) at 1/2,000 dilution.
The section was pre-treated using heat mediated antigen retrieval with sodium citrate buffer (pH 6.0) (high pressure) for 2 minutes. The tissues were blocked in 1% BSA for 20 minutes at room temperature, washed with ddH2O and PBS, and then probed with the primary antibody (HA750832) at 1/2,000 dilution for 1 hour at room temperature. The detection was performed using an HRP conjugated compact polymer system. DAB was used as the chromogen. Tissues were counterstained with hematoxylin and mounted with DPX.
product information
SKU :
HA750832
Target name :
HNRNPA0
Species reactivity :
Human,Mouse,Rat,Monkey
Applications :
WB,IF-Cell,IHC-P,FC
Conjugate :
Non-conjugated
Immunogen :
Recombinant protein within human HNRNPA0 aa 1-250 / 305.
Uniprot id :
Q13151>SwissProt: Q13151 Human;SwissProt: Q9CX86 Mouse;Entrez Gene: 498696 Rat
Host :
Rabbit
Clone number :
PSH02-77
Isotype :
IgG
Size :
100μl
List Price :
649.00 USD
Storage Buffer :
PBS (pH7.4).
Form :
Liquid
Storage Instruction :
Store at +4℃ after thawing. Aliquot store at -20℃. Avoid repeated freeze / thaw cycles.
Purity :
Protein A affinity purified.
Product type :
Recombinant Rabbit monoclonal Antibody
Positive control :
HeLa cell lysate, 293T cell lysate, A549 cell lysate, Jurkat cell lysate, A431 cell lysate, COS-1 cell lysate, PC-12 cell lysate, human brain tissue lysate, mouse brain tissue lysate, mouse testis tissue lysate, rat brain tissue lysate, RAW264.7 cell lysate, 293T, NIH/3T3, PC-12, human colon tissue, human testis tissue, mouse brain tissue, mouse epididymis tissue, mouse testis tissue, rat testis tissue.
Molecular wt :
Predicted band size: 31 kDa
Subcellular location :
Nucleus.
Concentration :
1 mg/mL.
Recommended dilutions :
WB: 1:2,000-1:5,000
;IF-Cell: 1:100
;IHC-P: 1:2,000
;FC: 1:1,000
Advanced Validation :
Knockdown (KD)
Pic img4 :
https://storage.huabio.cn/huabio/productImg/HA750832_4.jpg
Pic legend4 :
Immunohistochemical analysis of paraffin-embedded mouse brain tissue with Rabbit anti-HNRNPA0 antibody (HA750832) at 1/2,000 dilution.
The section was pre-treated using heat mediated antigen retrieval with sodium citrate buffer (pH 6.0) (high pressure) for 2 minutes. The tissues were blocked in 1% BSA for 20 minutes at room temperature, washed with ddH2O and PBS, and then probed with the primary antibody (HA750832) at 1/2,000 dilution for 1 hour at room temperature. The detection was performed using an HRP conjugated compact polymer system. DAB was used as the chromogen. Tissues were counterstained with hematoxylin and mounted with DPX.
Pic img5 :
https://storage.huabio.cn/huabio/productImg/HA750832_5.jpg
Pic legend5 :
Immunohistochemical analysis of paraffin-embedded mouse epididymis tissue with Rabbit anti-HNRNPA0 antibody (HA750832) at 1/2,000 dilution.
The section was pre-treated using heat mediated antigen retrieval with sodium citrate buffer (pH 6.0) (high pressure) for 2 minutes. The tissues were blocked in 1% BSA for 20 minutes at room temperature, washed with ddH2O and PBS, and then probed with the primary antibody (HA750832) at 1/2,000 dilution for 1 hour at room temperature. The detection was performed using an HRP conjugated compact polymer system. DAB was used as the chromogen. Tissues were counterstained with hematoxylin and mounted with DPX.
Pic img6 :
https://storage.huabio.cn/huabio/productImg/HA750832_6.jpg
Pic legend6 :
Immunohistochemical analysis of paraffin-embedded mouse testis tissue with Rabbit anti-HNRNPA0 antibody (HA750832) at 1/2,000 dilution.
The section was pre-treated using heat mediated antigen retrieval with sodium citrate buffer (pH 6.0) (high pressure) for 2 minutes. The tissues were blocked in 1% BSA for 20 minutes at room temperature, washed with ddH2O and PBS, and then probed with the primary antibody (HA750832) at 1/2,000 dilution for 1 hour at room temperature. The detection was performed using an HRP conjugated compact polymer system. DAB was used as the chromogen. Tissues were counterstained with hematoxylin and mounted with DPX.
Pic img7 :
https://storage.huabio.cn/huabio/productImg/HA750832_7.jpg
Pic legend7 :
Immunohistochemical analysis of paraffin-embedded rat testis tissue with Rabbit anti-HNRNPA0 antibody (HA750832) at 1/2,000 dilution.
The section was pre-treated using heat mediated antigen retrieval with sodium citrate buffer (pH 6.0) (high pressure) for 2 minutes. The tissues were blocked in 1% BSA for 20 minutes at room temperature, washed with ddH2O and PBS, and then probed with the primary antibody (HA750832) at 1/2,000 dilution for 1 hour at room temperature. The detection was performed using an HRP conjugated compact polymer system. DAB was used as the chromogen. Tissues were counterstained with hematoxylin and mounted with DPX.
Pic img8 :
https://storage.huabio.cn/huabio/productImg/HA750832_8.jpg
Pic legend8 :
Immunocytochemistry analysis of 293T cells labeling HNRNPA0 with Rabbit anti-HNRNPA0 antibody (HA750832) at 1/100 dilution.
Cells were fixed in 4% paraformaldehyde for 20 minutes at room temperature, permeabilized with 0.1% Triton X-100 in PBS for 5 minutes at room temperature, then blocked with 1% BSA in 10% negative goat serum for 1 hour at room temperature. Cells were then incubated with Rabbit anti-HNRNPA0 antibody (HA750832) at 1/100 dilution in 1% BSA in PBST overnight at 4 ℃. Goat Anti-Rabbit IgG H&L (iFluor™ 488, HA1121) was used as the secondary antibody at 1/1,000 dilution. PBS instead of the primary antibody was used as the secondary antibody only control. Nuclear DNA was labelled in blue with DAPI.
Beta tubulin (M1305-2, red) was stained at 1/100 dilution overnight at +4℃. Goat Anti-Mouse IgG H&L (iFluor™ 594, HA1126) was used as the secondary antibody at 1/1,000 dilution.
Pic img9 :
https://storage.huabio.cn/huabio/productImg/HA750832_9.jpg
Pic legend9 :
Immunocytochemistry analysis of NIH/3T3 cells labeling HNRNPA0 with Rabbit anti-HNRNPA0 antibody (HA750832) at 1/100 dilution.
Cells were fixed in 4% paraformaldehyde for 20 minutes at room temperature, permeabilized with 0.1% Triton X-100 in PBS for 5 minutes at room temperature, then blocked with 1% BSA in 10% negative goat serum for 1 hour at room temperature. Cells were then incubated with Rabbit anti-HNRNPA0 antibody (HA750832) at 1/100 dilution in 1% BSA in PBST overnight at 4 ℃. Goat Anti-Rabbit IgG H&L (iFluor™ 488, HA1121) was used as the secondary antibody at 1/1,000 dilution. PBS instead of the primary antibody was used as the secondary antibody only control. Nuclear DNA was labelled in blue with DAPI.
Beta tubulin (M1305-2, red) was stained at 1/100 dilution overnight at +4℃. Goat Anti-Mouse IgG H&L (iFluor™ 594, HA1126) was used as the secondary antibody at 1/1,000 dilution.
Pic img10 :
https://storage.huabio.cn/huabio/productImg/HA750832_10.jpg
Pic legend10 :
Immunocytochemistry analysis of PC-12 cells labeling HNRNPA0 with Rabbit anti-HNRNPA0 antibody (HA750832) at 1/100 dilution.
Cells were fixed in 4% paraformaldehyde for 20 minutes at room temperature, permeabilized with 0.1% Triton X-100 in PBS for 5 minutes at room temperature, then blocked with 1% BSA in 10% negative goat serum for 1 hour at room temperature. Cells were then incubated with Rabbit anti-HNRNPA0 antibody (HA750832) at 1/100 dilution in 1% BSA in PBST overnight at 4 ℃. Goat Anti-Rabbit IgG H&L (iFluor™ 488, HA1121) was used as the secondary antibody at 1/1,000 dilution. PBS instead of the primary antibody was used as the secondary antibody only control. Nuclear DNA was labelled in blue with DAPI.
Beta tubulin (M1305-2, red) was stained at 1/100 dilution overnight at +4℃. Goat Anti-Mouse IgG H&L (iFluor™ 594, HA1126) was used as the secondary antibody at 1/1,000 dilution.
Pic img11 :
https://storage.huabio.cn/huabio/productImg/HA750832_11.jpg
Pic legend11 :
Flow cytometric analysis of 293T cells labeling HNRNPA0.
Cells were fixed and permeabilized. Then stained with the primary antibody (HA750832, 1μg/mL) (red) compared with Rabbit IgG Isotype Control (green). After incubation of the primary antibody at +4℃ for an hour, the cells were stained with a iFluor™ 488 conjugate-Goat anti-Rabbit IgG Secondary antibody (HA1121) at 1/1,000 dilution for 30 minutes at +4℃. Unlabelled sample was used as a control (cells without incubation with primary antibody; black).
Pic img12 :
https://storage.huabio.cn/huabio/productImg/HA750832_12.jpg
Pic legend12 :
Flow cytometric analysis of NIH/3T3 cells labeling HNRNPA0.
Cells were fixed and permeabilized. Then stained with the primary antibody (HA750832, 1μg/mL) (red) compared with Rabbit IgG Isotype Control (green). After incubation of the primary antibody at +4℃ for an hour, the cells were stained with a iFluor™ 488 conjugate-Goat anti-Rabbit IgG Secondary antibody (HA1121) at 1/1,000 dilution for 30 minutes at +4℃. Unlabelled sample was used as a control (cells without incubation with primary antibody; black).
Pic img13 :
https://storage.huabio.cn/huabio/productImg/HA750832_13.jpg
Pic legend13 :
Flow cytometric analysis of PC-12 cells labeling HNRNPA0.
Cells were fixed and permeabilized. Then stained with the primary antibody (HA750832, 1μg/mL) (red) compared with Rabbit IgG Isotype Control (green). After incubation of the primary antibody at +4℃ for an hour, the cells were stained with a iFluor™ 488 conjugate-Goat anti-Rabbit IgG Secondary antibody (HA1121) at 1/1,000 dilution for 30 minutes at +4℃. Unlabelled sample was used as a control (cells without incubation with primary antibody; black).
Pic img14 :
https://storage.huabio.cn/huabio/productImg/HA750832_14.jpg
Pic legend14 :
Western blot analysis of HNRNPA0 on different lysates with Rabbit anti-HNRNPA0 antibody (HA750832) at 1/5,000 dilution.
Lane 1: 293T-si NT cell lysate
Lane 2: 293T-si HNRNPA0 cell lysate
Lysates/proteins at 10 µg/Lane.
Predicted band size: 31 kDa
Observed band size: 34/36 kDa
Exposure time: 1 minute 34 seconds; ECL: K1801;
4-20% SDS-PAGE gel.
Proteins were transferred to a PVDF membrane and blocked with 5% NFDM/TBST for 1 hour at room temperature. The primary antibody (HA750832) at 1/5,000 dilution was used in 5% NFDM/TBST at 4℃ overnight. Goat Anti-Rabbit IgG - HRP Secondary Antibody (HA1001) at 1/100,000 dilution was used for 1 hour at room temperature.
more info or order :
company information

HUABIO
Founded in 2007, HUABIO is dedicated to developing high-quality antibodies that advance innovation. We are passionate about the accuracy, efficiency, and consistency of our products. That is why we have invested in new production platforms, like recombinant rabbit monoclonals, alpaca nanobodies, and adopted aggressive QA standards to deliver cutting-edge antibodies with uncompromised quality.
We hope to see you at your next discovery!
We hope to see you at your next discovery!
related products
browse more products
questions and comments
