product summary
Loading...
company name :
HUABIO
product type :
antibody
product name :
SAMD9
catalog :
HA750830
quantity :
100μl
price :
649.00 USD
clonality :
monoclonal
host :
domestic rabbit
conjugate :
nonconjugated
clone name :
PSH02-75
reactivity :
human
application :
western blot, flow cytometry, immunohistochemistry - paraffin section
more info or order :
image
image 1 :

Western blot analysis of SAMD9 on different lysates with Rabbit anti-SAMD9 antibody (HA750830) at 1/1,000 dilution and competitor's antibody at 1/1,000 dilution.
Lane 1: A549 cell lysate
Lane 2: HeLa cell lysate
Lane 3: A431 cell lysate
Lane 4: Raji cell lysate
Lane 5: MCF7 cell lysate
Lane 6: HepG2 cell lysate
Lane 7: HCT 116 cell lysate
Lane 8: U-87 MG cell lysate
Lysates/proteins at 20 µg/Lane.
Predicted band size: 184 kDa
Observed band size: 184 kDa
Exposure time: 2 minutes; ECL: K1801;
4-20% SDS-PAGE gel.
Proteins were transferred to a PVDF membrane and blocked with 5% NFDM/TBST for 1 hour at room temperature. The primary antibody (HA750830) at 1/1,000 dilution and competitor's antibody at 1/1,000 dilution were used in 5% NFDM/TBST at 4℃ overnight. Goat Anti-Rabbit IgG - HRP Secondary Antibody (HA1001) at 1/50,000 dilution was used for 1 hour at room temperature.
image 2 :

Immunocytochemistry analysis of A431 cells labeling SAMD9 with Rabbit anti-SAMD9 antibody (HA750830) at 1/100 dilution.
Cells were fixed in 4% paraformaldehyde for 20 minutes at room temperature, permeabilized with 0.1% Triton X-100 in PBS for 5 minutes at room temperature, then blocked with 1% BSA in 10% negative goat serum for 1 hour at room temperature. Cells were then incubated with Rabbit anti-SAMD9 antibody (HA750830) at 1/100 dilution in 1% BSA in PBST overnight at 4 ℃. Goat Anti-Rabbit IgG H&L (iFluor™ 488, HA1121) was used as the secondary antibody at 1/1,000 dilution. PBS instead of the primary antibody was used as the secondary antibody only control. Nuclear DNA was labelled in blue with DAPI.
Beta tubulin (M1305-2, red) was stained at 1/100 dilution overnight at +4℃. Goat Anti-Mouse IgG H&L (iFluor™ 594, HA1126) was used as the secondary antibody at 1/1,000 dilution.
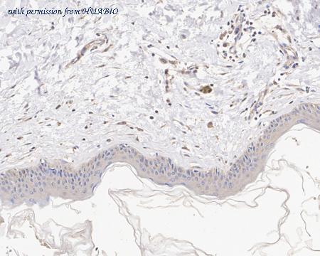
image 3 :

Immunohistochemical analysis of paraffin-embedded human skin tissue with Rabbit anti-SAMD9 antibody (HA750830) at 1/200 dilution.
The section was pre-treated using heat mediated antigen retrieval with Tris-EDTA buffer (pH 9.0) for 20 minutes. The tissues were blocked in 1% BSA for 20 minutes at room temperature, washed with ddH2O and PBS, and then probed with the primary antibody (HA750830) at 1/200 dilution for 1 hour at room temperature. The detection was performed using an HRP conjugated compact polymer system. DAB was used as the chromogen. Tissues were counterstained with hematoxylin and mounted with DPX.
product information
SKU :
HA750830
Target name :
SAMD9
Species reactivity :
Human
Applications :
WB,IF-Cell,IHC-P,FC
Conjugate :
Non-conjugated
Immunogen :
Recombinant protein within human SMAD9 aa 1-250 / 1,589.
Uniprot id :
Q5K651>SwissProt: Q5K651 Human
Host :
Rabbit
Clone number :
PSH02-75
Isotype :
IgG
Size :
100μl
List Price :
649.00 USD
Storage Buffer :
PBS (pH7.4).
Form :
Liquid
Storage Instruction :
Store at +4℃ after thawing. Aliquot store at -20℃. Avoid repeated freeze / thaw cycles.
Purity :
Protein A affinity purified.
Product type :
Recombinant Rabbit monoclonal Antibody
Positive control :
A549 cell lysate, HeLa cell lysate, A431 cell lysate, Raji cell lysate, MCF7 cell lysate, HepG2 cell lysate, HCT 116 cell lysate, U-87 MG cell lysate, A431, human skin tissue.
Molecular wt :
Predicted band size: 184 kDa
Subcellular location :
Cytoplasm
Concentration :
1 mg/mL.
Recommended dilutions :
WB: 1:1,000
;IF-Cell: 1:100
;IHC-P: 1:200
;FC: 1:1,000
Advanced Validation :
Knockdown (KD)
Pic img4 :
https://storage.huabio.cn/huabio/productImg/HA750830_4.jpg
Pic legend4 :
Flow cytometric analysis of A431 cells labeling SAMD9.
Cells were fixed and permeabilized. Then stained with the primary antibody (HA750830, 1μg/mL) (red) compared with Rabbit IgG Isotype Control (green). After incubation of the primary antibody at +4℃ for an hour, the cells were stained with a iFluor™ 488 conjugate-Goat anti-Rabbit IgG Secondary antibody (HA1121) at 1/1,000 dilution for 30 minutes at +4℃. Unlabelled sample was used as a control (cells without incubation with primary antibody; black).
Pic img5 :
https://storage.huabio.cn/huabio/productImg/HA750830_5.jpg
Pic legend5 :
Western blot analysis of SAMD9 on different lysates with Rabbit anti-SAMD9 antibody (HA750830) at 1/1,000 dilution.
Lane 1: A431-si NT cell lysate
Lane 2: A431-si SAMD9 cell lysate
Lysates/proteins at 10 µg/Lane.
Predicted band size: 184 kDa
Observed band size: 184 kDa
Exposure time: 24 seconds;
4-20% SDS-PAGE gel.
Proteins were transferred to a PVDF membrane and blocked with 5% NFDM/TBST for 1 hour at room temperature. The primary antibody (HA750830) at 1/1,000 dilution was used in 5% NFDM/TBST at 4℃ overnight. Goat Anti-Rabbit IgG - HRP Secondary Antibody (HA1001) at 1/50,000 dilution was used for 1 hour at room temperature.
more info or order :
company information

HUABIO
Founded in 2007, HUABIO is dedicated to developing high-quality antibodies that advance innovation. We are passionate about the accuracy, efficiency, and consistency of our products. That is why we have invested in new production platforms, like recombinant rabbit monoclonals, alpaca nanobodies, and adopted aggressive QA standards to deliver cutting-edge antibodies with uncompromised quality.
We hope to see you at your next discovery!
We hope to see you at your next discovery!
related products
browse more products
questions and comments
