product summary
Loading...
company name :
HUABIO
product type :
antibody
product name :
Cannabinoid receptor 1
catalog :
HA750808
quantity :
100μl
price :
649.00 USD
clonality :
monoclonal
host :
domestic rabbit
conjugate :
nonconjugated
clone name :
PSH02-43
reactivity :
human, mouse, rat
application :
western blot, immunohistochemistry - paraffin section
more info or order :
image
image 1 :

Western blot analysis of Cannabinoid receptor 1 on different lysates with Rabbit anti-Cannabinoid receptor 1 antibody (HA750808) at 1/1,000 dilution.
Lane 1: Human brain tissue lysate
Lane 2: Human liver tissue lysate (negative control)
Lane 3: Mouse brain tissue lysate
Lane 4: Mouse cerebellum tissue lysate
Lane 5: Mouse liver tissue lysate (negative control)
Lane 6: Rat brain tissue lysate
Lane 7: Rat cerebellum tissue lysate
Lane 8: Rat liver tissue lysate (negative control)
Lysates/proteins at 20 µg/Lane.
Predicted band size: 53 kDa
Observed band size: 53 kDa
Exposure time: 42 seconds;
4-20% SDS-PAGE gel.
Proteins were transferred to a PVDF membrane and blocked with 5% NFDM/TBST for 1 hour at room temperature. The primary antibody (HA750808) at 1/1,000 dilution was used in 5% NFDM/TBST at 4℃ overnight. Goat Anti-Rabbit IgG - HRP Secondary Antibody (HA1001) at 1/50,000 dilution was used for 1 hour at room temperature.
image 2 :

Immunohistochemical analysis of paraffin-embedded mouse brain tissue with Rabbit anti-Cannabinoid receptor 1 antibody (HA750808) at 1/200 dilution.
The section was pre-treated using heat mediated antigen retrieval with Tris-EDTA buffer (pH 9.0) for 20 minutes. The tissues were blocked in 1% BSA for 20 minutes at room temperature, washed with ddH2O and PBS, and then probed with the primary antibody (HA750808) at 1/200 dilution for 1 hour at room temperature. The detection was performed using an HRP conjugated compact polymer system. DAB was used as the chromogen. Tissues were counterstained with hematoxylin and mounted with DPX.
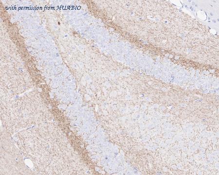
image 3 :

Immunohistochemical analysis of paraffin-embedded mouse hippocampus tissue with Rabbit anti-Cannabinoid receptor 1 antibody (HA750808) at 1/1,000 dilution.
The section was pre-treated using heat mediated antigen retrieval with Tris-EDTA buffer (pH 9.0) for 20 minutes. The tissues were blocked in 1% BSA for 20 minutes at room temperature, washed with ddH2O and PBS, and then probed with the primary antibody (HA750808) at 1/1,000 dilution for 1 hour at room temperature. The detection was performed using an HRP conjugated compact polymer system. DAB was used as the chromogen. Tissues were counterstained with hematoxylin and mounted with DPX.
product information
SKU :
HA750808
Target name :
Cannabinoid receptor 1
Species reactivity :
Human,Mouse,Rat
Applications :
WB,IHC-P
Conjugate :
Non-conjugated
Immunogen :
Recombinant protein within human Cannabinoid receptor 1 aa 1-472 /472.
Uniprot id :
P21554>SwissProt: P21554 Human;SwissProt: P47746 Mouse;SwissProt: P20272 Rat
Host :
Rabbit
Clone number :
PSH02-43
Isotype :
IgG
Size :
100μl
List Price :
649.00 USD
Storage Buffer :
PBS (pH7.4).
Form :
Liquid
Storage Instruction :
Store at +4℃ after thawing. Aliquot store at -20℃. Avoid repeated freeze / thaw cycles.
Purity :
Protein A affinity purified.
Product type :
Recombinant Rabbit monoclonal Antibody
Positive control :
Human brain tissue lysate, mouse brain tissue lysate, mouse cerebellum tissue lysate, rat brain tissue lysate, rat cerebellum tissue lysate, mouse brain tissue, mouse hippocampus tissue, rat brain tissue, rat hippocampus tissue.
Molecular wt :
Predicted band size: 53 kDa
Subcellular location :
Cell membrane, Membrane raft, Mitochondrion outer membrane, Cell projection, axon, Presynapse.
Concentration :
1 mg/mL.
Recommended dilutions :
WB: 1:2,000
;IHC-P: 1:200-1:1,000
Advanced Validation :
Relative expression (RE)
Pic img4 :
https://storage.huabio.cn/huabio/productImg/HA750808_4.jpg
Pic legend4 :
Immunohistochemical analysis of paraffin-embedded mouse liver (negative control) tissue with Rabbit anti-Cannabinoid receptor 1 antibody (HA750808) at 1/1,000 dilution.
The section was pre-treated using heat mediated antigen retrieval with Tris-EDTA buffer (pH 9.0) for 20 minutes. The tissues were blocked in 1% BSA for 20 minutes at room temperature, washed with ddH2O and PBS, and then probed with the primary antibody (HA750808) at 1/1,000 dilution for 1 hour at room temperature. The detection was performed using an HRP conjugated compact polymer system. DAB was used as the chromogen. Tissues were counterstained with hematoxylin and mounted with DPX.
Pic img5 :
https://storage.huabio.cn/huabio/productImg/HA750808_5.jpg
Pic legend5 :
Immunohistochemical analysis of paraffin-embedded rat brain tissue with Rabbit anti-Cannabinoid receptor 1 antibody (HA750808) at 1/1,000 dilution.
The section was pre-treated using heat mediated antigen retrieval with Tris-EDTA buffer (pH 9.0) for 20 minutes. The tissues were blocked in 1% BSA for 20 minutes at room temperature, washed with ddH2O and PBS, and then probed with the primary antibody (HA750808) at 1/1,000 dilution for 1 hour at room temperature. The detection was performed using an HRP conjugated compact polymer system. DAB was used as the chromogen. Tissues were counterstained with hematoxylin and mounted with DPX.
Pic img6 :
https://storage.huabio.cn/huabio/productImg/HA750808_6.jpg
Pic legend6 :
Immunohistochemical analysis of paraffin-embedded rat hippocampus tissue with Rabbit anti-Cannabinoid receptor 1 antibody (HA750808) at 1/1,000 dilution.
The section was pre-treated using heat mediated antigen retrieval with Tris-EDTA buffer (pH 9.0) for 20 minutes. The tissues were blocked in 1% BSA for 20 minutes at room temperature, washed with ddH2O and PBS, and then probed with the primary antibody (HA750808) at 1/1,000 dilution for 1 hour at room temperature. The detection was performed using an HRP conjugated compact polymer system. DAB was used as the chromogen. Tissues were counterstained with hematoxylin and mounted with DPX.
Pic img7 :
https://storage.huabio.cn/huabio/productImg/HA750808_7.jpg
Pic legend7 :
Immunohistochemical analysis of paraffin-embedded rat liver (negative control) tissue with Rabbit anti-Cannabinoid receptor 1 antibody (HA750808) at 1/1,000 dilution.
The section was pre-treated using heat mediated antigen retrieval with Tris-EDTA buffer (pH 9.0) for 20 minutes. The tissues were blocked in 1% BSA for 20 minutes at room temperature, washed with ddH2O and PBS, and then probed with the primary antibody (HA750808) at 1/1,000 dilution for 1 hour at room temperature. The detection was performed using an HRP conjugated compact polymer system. DAB was used as the chromogen. Tissues were counterstained with hematoxylin and mounted with DPX.
more info or order :
company information

HUABIO
Founded in 2007, HUABIO is dedicated to developing high-quality antibodies that advance innovation. We are passionate about the accuracy, efficiency, and consistency of our products. That is why we have invested in new production platforms, like recombinant rabbit monoclonals, alpaca nanobodies, and adopted aggressive QA standards to deliver cutting-edge antibodies with uncompromised quality.
We hope to see you at your next discovery!
We hope to see you at your next discovery!
related products
browse more products
questions and comments
