product summary
Loading...
company name :
HUABIO
product type :
antibody
product name :
BAF180
catalog :
HA750799
quantity :
100μl
price :
649.00 USD
clonality :
monoclonal
host :
domestic rabbit
conjugate :
nonconjugated
clone name :
PSH02-34
reactivity :
human, mouse, rat
application :
western blot, immunohistochemistry - paraffin section
more info or order :
image
image 1 :

Western blot analysis of BAF180 on different lysates with Rabbit anti-BAF180 antibody (HA750799) at 1/2,000 dilution and competitor's antibody at 1/1,000 dilution.
Lane 1: 293T cell lysate
Lane 2: HeLa cell lysate
Lane 3: SK-MEL-28 cell lysate
Lane 4: Jurkat cell lysate
Lane 5: NIH/3T3 cell lysate
Lane 6: C6 cell lysate
Lane 7: COS-1 cell lysate
Lysates/proteins at 15 µg/Lane.
Predicted band size: 193 kDa
Observed band size: 193 kDa
Exposure time: 1 minute 2 seconds; ECL: K1801;
4-20% SDS-PAGE gel.
Proteins were transferred to a PVDF membrane and blocked with 5% NFDM/TBST for 1 hour at room temperature. The primary antibody (HA750799) at 1/2,000 dilution and competitor's antibody at 1/1,000 dilution were used in 5% BSA at 4℃ overnight. Goat Anti-Rabbit IgG - HRP Secondary Antibody (HA1001) at 1/50,000 dilution was used for 1 hour at room temperature.
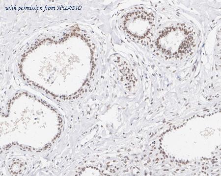
image 2 :

Immunohistochemical analysis of paraffin-embedded human breast tissue with Rabbit anti-BAF180 antibody (HA750799) at 1/200 dilution.
The section was pre-treated using heat mediated antigen retrieval with sodium citrate buffer (pH 6.0) (high pressure) for 2 minutes. The tissues were blocked in 1% BSA for 20 minutes at room temperature, washed with ddH2O and PBS, and then probed with the primary antibody (HA750799) at 1/200 dilution for 1 hour at room temperature. The detection was performed using an HRP conjugated compact polymer system. DAB was used as the chromogen. Tissues were counterstained with hematoxylin and mounted with DPX.
image 3 :

Western blot analysis of BAF180 on different lysates with Rabbit anti-BAF180 antibody (HA750799) at 1/1,000 dilution.
Lane 1: HEK-293 cell lysate (20 µg/Lane)
Lane 2: HeLa cell lysate (20 µg/Lane)
Lane 3: MCF7 cell lysate (20 µg/Lane)
Lane 4: A549 cell lysate (20 µg/Lane)
Lane 5: SK-MEL-28 cell lysate (20 µg/Lane)
Lane 6: Jurkat cell lysate (20 µg/Lane)
Lane 7: 293T cell lysate (20 µg/Lane)
Lane 8: C6 cell lysate (20 µg/Lane)
Lane 9: COS-1 cell lysate (20 µg/Lane)
Lane 10: Human kidney tissue lysate (40 µg/Lane)
Predicted band size: 193 kDa
Observed band size: 193 kDa
Exposure time: 1 minute 41 seconds; ECL: K1802;
4-20% SDS-PAGE gel.
Proteins were transferred to a PVDF membrane and blocked with 5% NFDM/TBST for 1 hour at room temperature. The primary antibody (HA750799) at 1/1,000 dilution was used in 5% NFDM/TBST at 4℃ overnight. Goat Anti-Rabbit IgG - HRP Secondary Antibody (HA1001) at 1/50,000 dilution was used for 1 hour at room temperature.
product information
SKU :
HA750799
Target name :
BAF180
Species reactivity :
Human,Mouse,Rat,Monkey
Applications :
WB,IHC-P,IF-Tissue
Conjugate :
Non-conjugated
Immunogen :
Recombinant protein within human BAF180 aa 1-300 / 1,689.
Uniprot id :
Q86U86>SwissProt: Q86U86 Human;SwissProt: Q8BSQ9 Mouse;SwissProt: A0A8I5ZMW9 Rat;SwissProt: A0A0D9RLL2 Green monkey
Host :
Rabbit
Clone number :
PSH02-34
Isotype :
IgG
Size :
100μl
List Price :
649.00 USD
Storage Buffer :
PBS (pH7.4).
Form :
Liquid
Storage Instruction :
Store at +4℃ after thawing. Aliquot store at -20℃. Avoid repeated freeze / thaw cycles.
Purity :
Protein A affinity purified.
Product type :
Recombinant Rabbit monoclonal Antibody
Positive control :
293T cell lysate, HeLa cell lysate, SK-MEL-28 cell lysate, Jurkat cell lysate, NIH/3T3 cell lysate, C6 cell lysate, COS-1 cell lysate, human breast tissue, HEK-293 cell lysate, MCF7 cell lysate, A549 cell lysate, Human kidney tissue lysate, mouse breast tissue, mouse kidney tissue, rat breast tissue, rat kidney tissue.
Molecular wt :
Predicted band size: 193 kDa
Subcellular location :
Nucleus
Concentration :
1 mg/mL.
Recommended dilutions :
WB: 1:2,000
;IHC-P: 1:200
;IF-Tissue: 1:50
Advanced Validation :
Knockdown (KD)
Pic img4 :
https://storage.huabio.cn/huabio/productImg/HA750799_4.jpg
Pic legend4 :
Immunohistochemical analysis of paraffin-embedded mouse breast tissue with Rabbit anti-BAF180 antibody (HA750799) at 1/200 dilution.
The section was pre-treated using heat mediated antigen retrieval with sodium citrate buffer (pH 6.0) (high pressure) for 2 minutes. The tissues were blocked in 1% BSA for 20 minutes at room temperature, washed with ddH2O and PBS, and then probed with the primary antibody (HA750799) at 1/200 dilution for 1 hour at room temperature. The detection was performed using an HRP conjugated compact polymer system. DAB was used as the chromogen. Tissues were counterstained with hematoxylin and mounted with DPX.
Pic img5 :
https://storage.huabio.cn/huabio/productImg/HA750799_5.jpg
Pic legend5 :
Immunohistochemical analysis of paraffin-embedded mouse kidney tissue with Rabbit anti-BAF180 antibody (HA750799) at 1/200 dilution.
The section was pre-treated using heat mediated antigen retrieval with sodium citrate buffer (pH 6.0) (high pressure) for 2 minutes. The tissues were blocked in 1% BSA for 20 minutes at room temperature, washed with ddH2O and PBS, and then probed with the primary antibody (HA750799) at 1/200 dilution for 1 hour at room temperature. The detection was performed using an HRP conjugated compact polymer system. DAB was used as the chromogen. Tissues were counterstained with hematoxylin and mounted with DPX.
Pic img6 :
https://storage.huabio.cn/huabio/productImg/HA750799_6.jpg
Pic legend6 :
Immunohistochemical analysis of paraffin-embedded rat breast tissue with Rabbit anti-BAF180 antibody (HA750799) at 1/200 dilution.
The section was pre-treated using heat mediated antigen retrieval with sodium citrate buffer (pH 6.0) (high pressure) for 2 minutes. The tissues were blocked in 1% BSA for 20 minutes at room temperature, washed with ddH2O and PBS, and then probed with the primary antibody (HA750799) at 1/200 dilution for 1 hour at room temperature. The detection was performed using an HRP conjugated compact polymer system. DAB was used as the chromogen. Tissues were counterstained with hematoxylin and mounted with DPX.
Pic img7 :
https://storage.huabio.cn/huabio/productImg/HA750799_7.jpg
Pic legend7 :
Immunohistochemical analysis of paraffin-embedded rat kidney tissue with Rabbit anti-BAF180 antibody (HA750799) at 1/200 dilution.
The section was pre-treated using heat mediated antigen retrieval with sodium citrate buffer (pH 6.0) (high pressure) for 2 minutes. The tissues were blocked in 1% BSA for 20 minutes at room temperature, washed with ddH2O and PBS, and then probed with the primary antibody (HA750799) at 1/200 dilution for 1 hour at room temperature. The detection was performed using an HRP conjugated compact polymer system. DAB was used as the chromogen. Tissues were counterstained with hematoxylin and mounted with DPX.
Pic img8 :
https://storage.huabio.cn/huabio/productImg/HA750799_8.jpg
Pic legend8 :
Immunofluorescence analysis of paraffin-embedded human breast tissue labeling BAF180 with Rabbit anti-BAF180 antibody (HA750799) at 1/50 dilution.
The section was pre-treated using heat mediated antigen retrieval with sodium citrate buffer (pH 6.0) (high pressure) for 2 minutes. The tissues were blocked in 10% negative goat serum for 1 hour at room temperature, washed with PBS, and then probed with the primary antibody (HA750799, green) at 1/50 dilution overnight at 4 ℃, washed with PBS. Goat Anti-Rabbit IgG H&L (iFluor™ 488, HA1121) was used as the secondary antibody at 1/1,000 dilution. Nuclei were counterstained with DAPI (blue).
Pic img9 :
https://storage.huabio.cn/huabio/productImg/HA750799_9.jpg
Pic legend9 :
Immunofluorescence analysis of paraffin-embedded mouse breast tissue labeling BAF180 with Rabbit anti-BAF180 antibody (HA750799) at 1/50 dilution.
The section was pre-treated using heat mediated antigen retrieval with sodium citrate buffer (pH 6.0) (high pressure) for 2 minutes. The tissues were blocked in 10% negative goat serum for 1 hour at room temperature, washed with PBS, and then probed with the primary antibody (HA750799, green) at 1/50 dilution overnight at 4 ℃, washed with PBS. Goat Anti-Rabbit IgG H&L (iFluor™ 488, HA1121) was used as the secondary antibody at 1/1,000 dilution. Nuclei were counterstained with DAPI (blue).
Pic img10 :
https://storage.huabio.cn/huabio/productImg/HA750799_10.jpg
Pic legend10 :
Western blot analysis of BAF180 on different lysates with Rabbit anti-BAF180 antibody (HA750799) at 1/2,000 dilution.
Lane 1: 293T-si NT cell lysate
Lane 2: 293T-si BAF180 cell lysate
Lysates/proteins at 10 µg/Lane.
Predicted band size: 193 kDa
Observed band size: 193 kDa
Exposure time: 1 minute 22 seconds; ECL: K1801;
4-20% SDS-PAGE gel.
Proteins were transferred to a PVDF membrane and blocked with 5% NFDM/TBST for 1 hour at room temperature. The primary antibody (HA750799) at 1/2,000 dilution was used in 5% NFDM/TBST at 4℃ overnight. Goat Anti-Rabbit IgG - HRP Secondary Antibody (HA1001) at 1/100,000 dilution was used for 1 hour at room temperature.
more info or order :
company information

HUABIO
Founded in 2007, HUABIO is dedicated to developing high-quality antibodies that advance innovation. We are passionate about the accuracy, efficiency, and consistency of our products. That is why we have invested in new production platforms, like recombinant rabbit monoclonals, alpaca nanobodies, and adopted aggressive QA standards to deliver cutting-edge antibodies with uncompromised quality.
We hope to see you at your next discovery!
We hope to see you at your next discovery!
related products
browse more products
questions and comments
