product summary
Loading...
company name :
HUABIO
product type :
antibody
product name :
Emerin
catalog :
HA750759
quantity :
100μl
price :
649.00 USD
clonality :
monoclonal
host :
domestic rabbit
conjugate :
nonconjugated
clone name :
PSH01-85
reactivity :
human
application :
western blot, flow cytometry, immunohistochemistry - paraffin section
more info or order :
image
image 1 :

Western blot analysis of Emerin on different lysates with Rabbit anti-Emerin antibody (HA750759) at 1/1,000 dilution.
Lane 1: HeLa cell lysate
Lane 2: HEK-293 cell lysate
Lane 3: HepG2 cell lysate
Lane 4: MCF7 cell lysate
Lane 5: A549 cell lysate
Lane 6: K-562 cell lysate
Lane 7: Jurkat cell lysate
Lane 8: Daudi cell lysate
Lysates/proteins at 20 µg/Lane.
Predicted band size: 29 kDa
Observed band size: 35 kDa
Exposure time: 5 minutes;
4-20% SDS-PAGE gel.
Proteins were transferred to a PVDF membrane and blocked with 5% NFDM/TBST for 1 hour at room temperature. The primary antibody (HA750759) at 1/1,000 dilution was used in 5% NFDM/TBST at room temperature for 2 hours. Goat Anti-Rabbit IgG - HRP Secondary Antibody (HA1001) at 1/50,000 dilution was used for 1 hour at room temperature.
image 2 :

Immunohistochemical analysis of paraffin-embedded human breast tissue with Rabbit anti-Emerin antibody (HA750759) at 1/1,000 dilution.
The section was pre-treated using heat mediated antigen retrieval with sodium citrate buffer (pH 6.0) (high pressure) for 2 minutes. The tissues were blocked in 1% BSA for 20 minutes at room temperature, washed with ddH2O and PBS, and then probed with the primary antibody (HA750759) at 1/1,000 dilution for 1 hour at room temperature. The detection was performed using an HRP conjugated compact polymer system. DAB was used as the chromogen. Tissues were counterstained with hematoxylin and mounted with DPX.
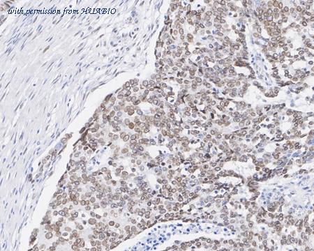
image 3 :

Immunohistochemical analysis of paraffin-embedded human ovary cancer tissue with Rabbit anti-Emerin antibody (HA750759) at 1/1,000 dilution.
The section was pre-treated using heat mediated antigen retrieval with sodium citrate buffer (pH 6.0) (high pressure) for 2 minutes. The tissues were blocked in 1% BSA for 20 minutes at room temperature, washed with ddH2O and PBS, and then probed with the primary antibody (HA750759) at 1/1,000 dilution for 1 hour at room temperature. The detection was performed using an HRP conjugated compact polymer system. DAB was used as the chromogen. Tissues were counterstained with hematoxylin and mounted with DPX.
product information
SKU :
HA750759
Target name :
Emerin
Species reactivity :
Human
Applications :
WB,IHC-P,IF-Cell,FC
Conjugate :
Non-conjugated
Immunogen :
Recombinant protein within human Emerin aa 1-200 / 254.
Uniprot id :
P50402>SwissProt: P50402 Human
Host :
Rabbit
Clone number :
PSH01-85
Isotype :
IgG
Size :
100μl
List Price :
649.00 USD
Storage Buffer :
PBS (pH7.4).
Form :
Liquid
Storage Instruction :
Store at +4℃ after thawing. Aliquot store at -20℃. Avoid repeated freeze / thaw cycles.
Purity :
Protein A affinity purified.
Product type :
Recombinant Rabbit monoclonal Antibody
Positive control :
HeLa cell lysate, HEK-293 cell lysate, HepG2 cell lysate, MCF7 cell lysate, A549 cell lysate, K-562 cell lysate, Jurkat cell lysate, Daudi cell lysate, human breast tissue, human ovary cancer tissue, human thyroid tissue, HeLa.
Molecular wt :
Predicted band size: 29 kDa
Subcellular location :
Nucleus inner membrane, Nucleus outer membrane.
Concentration :
1 mg/mL.
Recommended dilutions :
WB: 1:1,000
;IHC-P: 1:200-1:1,000
;IF-Cell: 1:100
;FC: 1:1,000
Pic img4 :
https://storage.huabio.cn/huabio/productImg/HA750759_4.jpg
Pic legend4 :
Immunohistochemical analysis of paraffin-embedded human thyroid tissue with Rabbit anti-Emerin antibody (HA750759) at 1/200 dilution.
The section was pre-treated using heat mediated antigen retrieval with sodium citrate buffer (pH 6.0) (high pressure) for 2 minutes. The tissues were blocked in 1% BSA for 20 minutes at room temperature, washed with ddH2O and PBS, and then probed with the primary antibody (HA750759) at 1/200 dilution for 1 hour at room temperature. The detection was performed using an HRP conjugated compact polymer system. DAB was used as the chromogen. Tissues were counterstained with hematoxylin and mounted with DPX.
Pic img5 :
https://storage.huabio.cn/huabio/productImg/HA750759_5.jpg
Pic legend5 :
Immunocytochemistry analysis of HeLa cells labeling Emerin with Rabbit anti-Emerin antibody (HA750759) at 1/100 dilution.
Cells were fixed in 4% paraformaldehyde for 20 minutes at room temperature, permeabilized with 0.1% Triton X-100 in PBS for 5 minutes at room temperature, then blocked with 1% BSA in 10% negative goat serum for 1 hour at room temperature. Cells were then incubated with Rabbit anti-Emerin antibody (HA750759) at 1/100 dilution in 1% BSA in PBST overnight at 4 ℃. Goat Anti-Rabbit IgG H&L (iFluor™ 488, HA1121) was used as the secondary antibody at 1/1,000 dilution. PBS instead of the primary antibody was used as the secondary antibody only control. Nuclear DNA was labelled in blue with DAPI.
Beta tubulin (M1305-2, red) was stained at 1/100 dilution overnight at +4℃. Goat Anti-Mouse IgG H&L (iFluor™ 594, HA1126) was used as the secondary antibody at 1/1,000 dilution.
Pic img6 :
https://storage.huabio.cn/huabio/productImg/HA750759_6.jpg
Pic legend6 :
Flow cytometric analysis of HeLa cells labeling Emerin.
Cells were fixed and permeabilized. Then stained with the primary antibody (HA750759, 1 /1000) (red) compared with Rabbit IgG Isotype Control (green). After incubation of the primary antibody at +4℃ for an hour, the cells were stained with a iFluor™ 488 conjugate-Goat anti-Rabbit IgG Secondary antibody (HA1121) at 1/1,000 dilution for 30 minutes at +4℃. Unlabelled sample was used as a control (cells without incubation with primary antibody; black).
more info or order :
company information

HUABIO
Founded in 2007, HUABIO is dedicated to developing high-quality antibodies that advance innovation. We are passionate about the accuracy, efficiency, and consistency of our products. That is why we have invested in new production platforms, like recombinant rabbit monoclonals, alpaca nanobodies, and adopted aggressive QA standards to deliver cutting-edge antibodies with uncompromised quality.
We hope to see you at your next discovery!
We hope to see you at your next discovery!
related products
browse more products
questions and comments
