product summary
Loading...
company name :
HUABIO
product type :
antibody
product name :
PSMB10
catalog :
HA750734
quantity :
100μl
price :
649.00 USD
clonality :
monoclonal
host :
domestic rabbit
conjugate :
nonconjugated
clone name :
PSH01-58
reactivity :
human, mouse
application :
western blot, immunohistochemistry - paraffin section
more info or order :
image
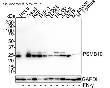
image 1 :

Western blot analysis of PSMB10 on different lysates with Rabbit anti-PSMB10 antibody (HA750734) at 1/1,000 dilution.
Lane 1: HeLa treated with 100ng/mL IFN-γ for 48 hours cell lysate (20 µg/Lane)
Lane 2: HeLa cell lysate (20 µg/Lane)
Lane 3: Daudi cell lysate (20 µg/Lane)
Lane 4: Raji cell lysate (20 µg/Lane)
Lane 5: THP-1 cell lysate (20 µg/Lane)
Lane 6: Ramos cell lysate (20 µg/Lane)
Lane 7: U-937 cell lysate (20 µg/Lane)
Lane 8: HL-60 cell lysate (20 µg/Lane)
Lane 9: Jurkat cell lysate (20 µg/Lane)
Lane 10: SiHa cell lysate (20 µg/Lane)
Lane 11: Mouse spleen tissue lysate (40 µg/Lane)
Lane 12: Mouse thymus tissue lysate (40 µg/Lane)
Predicted band size: 29 kDa
Observed band size: 25/29 kDa
Exposure time: 43 seconds;
4-20% SDS-PAGE gel.
Proteins were transferred to a PVDF membrane and blocked with 5% NFDM/TBST for 1 hour at room temperature. The primary antibody (HA750734) at 1/1,000 dilution was used in 5% NFDM/TBST at room temperature for 2 hours. Goat Anti-Rabbit IgG - HRP Secondary Antibody (HA1001) at 1/50,000 dilution was used for 1 hour at room temperature.
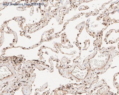
image 2 :

Immunohistochemical analysis of paraffin-embedded human lung tissue with Rabbit anti-PSMB10 antibody (HA750734) at 1/1,000 dilution.
The section was pre-treated using heat mediated antigen retrieval with Tris-EDTA buffer (pH 9.0) for 20 minutes. The tissues were blocked in 1% BSA for 20 minutes at room temperature, washed with ddH2O and PBS, and then probed with the primary antibody (HA750734) at 1/1,000 dilution for 1 hour at room temperature. The detection was performed using an HRP conjugated compact polymer system. DAB was used as the chromogen. Tissues were counterstained with hematoxylin and mounted with DPX.
product information
SKU :
HA750734
Target name :
PSMB10
Species reactivity :
Human,Mouse
Applications :
WB,IHC-P
Conjugate :
Non-conjugated
Immunogen :
Recombinant protein within human PSMB10 aa 1-273.
Uniprot id :
P40306>SwissProt: P40306 Human;SwissProt: O35955 Mouse
Host :
Rabbit
Clone number :
PSH01-58
Isotype :
IgG
Size :
100μl
List Price :
649.00 USD
Storage Buffer :
PBS (pH7.4).
Form :
Liquid
Storage Instruction :
Store at +4℃ after thawing. Aliquot store at -20℃. Avoid repeated freeze / thaw cycles.
Purity :
Protein A affinity purified.
Product type :
Recombinant Rabbit monoclonal Antibody
Positive control :
HeLa treated with 100ng/mL IFN-γ for 48 hours cell lysate, HeLa cell lysate, Daudi cell lysate, Raji cell lysate, THP-1 cell lysate, Ramos cell lysate, U-937 cell lysate, HL-60 cell lysate, Jurkat cell lysate, SiHa cell lysate, mouse spleen tissue lysate, mouse thymus tissue lysate, human lung tissue.
Molecular wt :
Predicted band size: 29 kDa
Subcellular location :
Cytoplasm, Nucleus.
Concentration :
1 mg/mL.
Recommended dilutions :
WB: 1:1,000
;IHC-P: 1:1,000
Advanced Validation :
Cell treatment (CT)
more info or order :
company information

HUABIO
Founded in 2007, HUABIO is dedicated to developing high-quality antibodies that advance innovation. We are passionate about the accuracy, efficiency, and consistency of our products. That is why we have invested in new production platforms, like recombinant rabbit monoclonals, alpaca nanobodies, and adopted aggressive QA standards to deliver cutting-edge antibodies with uncompromised quality.
We hope to see you at your next discovery!
We hope to see you at your next discovery!
browse more products
questions and comments
