product summary
Loading...
company name :
HUABIO
product type :
antibody
product name :
Jarid2
catalog :
HA750710
quantity :
100μl
price :
649.00 USD
clonality :
monoclonal
host :
domestic rabbit
conjugate :
nonconjugated
clone name :
PSH01-32
reactivity :
human, mouse
application :
immunohistochemistry - paraffin section
more info or order :
image
image 1 :

Immunocytochemistry analysis of NCCIT cells labeling Jarid2 with Rabbit anti-Jarid2 antibody (HA750710) at 1/100 dilution.
Cells were fixed in 4% paraformaldehyde for 20 minutes at room temperature, permeabilized with 0.1% Triton X-100 in PBS for 5 minutes at room temperature, then blocked with 1% BSA in 10% negative goat serum for 1 hour at room temperature. Cells were then incubated with Rabbit anti-Jarid2 antibody (HA750710) at 1/100 dilution in 1% BSA in PBST overnight at 4 ℃. Goat Anti-Rabbit IgG H&L (iFluor™ 488, HA1121) was used as the secondary antibody at 1/1,000 dilution. PBS instead of the primary antibody was used as the secondary antibody only control. Nuclear DNA was labelled in blue with DAPI.
Beta tubulin (M1305-2, red) was stained at 1/100 dilution overnight at +4℃. Goat Anti-Mouse IgG H&L (iFluor™ 594, HA1126) was used as the secondary antibody at 1/1,000 dilution.
image 2 :

Immunohistochemical analysis of paraffin-embedded human cervix tissue with Rabbit anti-Jarid2 antibody (HA750710) at 1/200 dilution.
The section was pre-treated using heat mediated antigen retrieval with sodium citrate buffer (pH 6.0) (high pressure) for 2 minutes. The tissues were blocked in 1% BSA for 20 minutes at room temperature, washed with ddH2O and PBS, and then probed with the primary antibody (HA750710) at 1/200 dilution for 1 hour at room temperature. The detection was performed using an HRP conjugated compact polymer system. DAB was used as the chromogen. Tissues were counterstained with hematoxylin and mounted with DPX.
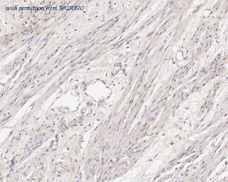
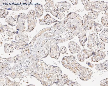
image 3 :

Immunohistochemical analysis of paraffin-embedded human placenta tissue with Rabbit anti-Jarid2 antibody (HA750710) at 1/1,000 dilution.
The section was pre-treated using heat mediated antigen retrieval with sodium citrate buffer (pH 6.0) (high pressure) for 2 minutes. The tissues were blocked in 1% BSA for 20 minutes at room temperature, washed with ddH2O and PBS, and then probed with the primary antibody (HA750710) at 1/1,000 dilution for 1 hour at room temperature. The detection was performed using an HRP conjugated compact polymer system. DAB was used as the chromogen. Tissues were counterstained with hematoxylin and mounted with DPX.
product information
SKU :
HA750710
Target name :
Jarid2
Species reactivity :
Human,Mouse
Applications :
IHC-P,IF-Cell
Conjugate :
Non-conjugated
Immunogen :
Recombinant protein within human Jarid2 aa 501-1,050 / 1,246.
Uniprot id :
Q92833>SwissProt: Q92833 Human;SwissProt: Q62315 Mouse
Host :
Rabbit
Clone number :
PSH01-32
Isotype :
IgG
Size :
100μl
List Price :
649.00 USD
Storage Buffer :
PBS (pH7.4).
Form :
Liquid
Storage Instruction :
Store at +4℃ after thawing. Aliquot store at -20℃. Avoid repeated freeze / thaw cycles.
Purity :
Protein A affinity purified.
Product type :
Recombinant Rabbit monoclonal Antibody
Positive control :
NCCIT, human cervix tissue, human placenta tissue, human thyroid tissue, mouse esophagus tissue.
Molecular wt :
Predicted band size: 139 kDa
Subcellular location :
Nucleus.
Concentration :
1 mg/mL.
Recommended dilutions :
IHC-P: 1:200-1:1,000
;IF-Cell: 1:100
Pic img4 :
https://storage.huabio.cn/huabio/productImg/HA750710_4.jpg
Pic legend4 :
Immunohistochemical analysis of paraffin-embedded human thyroid tissue with Rabbit anti-Jarid2 antibody (HA750710) at 1/1,000 dilution.
The section was pre-treated using heat mediated antigen retrieval with sodium citrate buffer (pH 6.0) (high pressure) for 2 minutes. The tissues were blocked in 1% BSA for 20 minutes at room temperature, washed with ddH2O and PBS, and then probed with the primary antibody (HA750710) at 1/1,000 dilution for 1 hour at room temperature. The detection was performed using an HRP conjugated compact polymer system. DAB was used as the chromogen. Tissues were counterstained with hematoxylin and mounted with DPX.
Pic img5 :
https://storage.huabio.cn/huabio/productImg/HA750710_5.jpg
Pic legend5 :
Immunohistochemical analysis of paraffin-embedded mouse esophagus tissue with Rabbit anti-Jarid2 antibody (HA750710) at 1/1,000 dilution.
The section was pre-treated using heat mediated antigen retrieval with sodium citrate buffer (pH 6.0) (high pressure) for 2 minutes. The tissues were blocked in 1% BSA for 20 minutes at room temperature, washed with ddH2O and PBS, and then probed with the primary antibody (HA750710) at 1/1,000 dilution for 1 hour at room temperature. The detection was performed using an HRP conjugated compact polymer system. DAB was used as the chromogen. Tissues were counterstained with hematoxylin and mounted with DPX.
more info or order :
company information

HUABIO
Founded in 2007, HUABIO is dedicated to developing high-quality antibodies that advance innovation. We are passionate about the accuracy, efficiency, and consistency of our products. That is why we have invested in new production platforms, like recombinant rabbit monoclonals, alpaca nanobodies, and adopted aggressive QA standards to deliver cutting-edge antibodies with uncompromised quality.
We hope to see you at your next discovery!
We hope to see you at your next discovery!
related products
browse more products
questions and comments
