product summary
Loading...
company name :
HUABIO
product type :
antibody
product name :
Lipoamide Dehydrogenase
catalog :
HA750663
quantity :
100μl
price :
649.00 USD
clonality :
monoclonal
host :
domestic rabbit
conjugate :
nonconjugated
clone name :
PSH0-83
reactivity :
human, mouse
application :
western blot, immunohistochemistry - paraffin section
more info or order :
image
image 1 :

Western blot analysis of Lipoamide Dehydrogenase on different lysates with Rabbit anti-Lipoamide Dehydrogenase antibody (HA750663) at 1/1,000 dilution.
Lane 1: Jurkat cell lysate (20 µg/Lane)
Lane 2: HeLa cell lysate (20 µg/Lane)
Lane 3: 293T cell lysate (20 µg/Lane)
Lane 4: MCF7 cell lysate (20 µg/Lane)
Lane 5: K-562 cell lysate (20 µg/Lane)
Lane 6: SK-Br-3 cell lysate (20 µg/Lane)
Lane 7: U-937 cell lysate (20 µg/Lane)
Lane 8: HepG2 cell lysate (20 µg/Lane)
Lane 9: NIH/3T3 cell lysate (20 µg/Lane)
Lane 10: Mouse liver tissue lysate (40 µg/Lane)
Predicted band size: 54 kDa
Observed band size: 54 kDa
Exposure time: 1 minute;
4-20% SDS-PAGE gel.
Proteins were transferred to a PVDF membrane and blocked with 5% NFDM/TBST for 1 hour at room temperature. The primary antibody (HA750663) at 1/1,000 dilution was used in 5% NFDM/TBST at room temperature for 2 hours. Goat Anti-Rabbit IgG - HRP Secondary Antibody (HA1001) at 1:100,000 dilution was used for 1 hour at room temperature.
image 2 :

Immunohistochemical analysis of paraffin-embedded human colon tissue with Rabbit anti-Lipoamide Dehydrogenase antibody (HA750663) at 1/5,000 dilution.
The section was pre-treated using heat mediated antigen retrieval with sodium citrate buffer (pH 6.0) (high pressure) for 2 minutes. The tissues were blocked in 1% BSA for 20 minutes at room temperature, washed with ddH2O and PBS, and then probed with the primary antibody (HA750663) at 1/5,000 dilution for 1 hour at room temperature. The detection was performed using an HRP conjugated compact polymer system. DAB was used as the chromogen. Tissues were counterstained with hematoxylin and mounted with DPX.
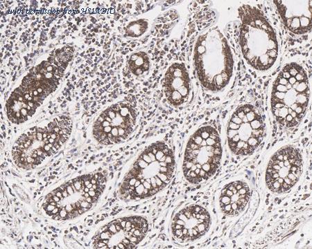
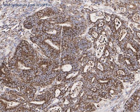
image 3 :

Immunohistochemical analysis of paraffin-embedded human colon carcinoma tissue with Rabbit anti-Lipoamide Dehydrogenase antibody (HA750663) at 1/5,000 dilution.
The section was pre-treated using heat mediated antigen retrieval with sodium citrate buffer (pH 6.0) (high pressure) for 2 minutes. The tissues were blocked in 1% BSA for 20 minutes at room temperature, washed with ddH2O and PBS, and then probed with the primary antibody (HA750663) at 1/5,000 dilution for 1 hour at room temperature. The detection was performed using an HRP conjugated compact polymer system. DAB was used as the chromogen. Tissues were counterstained with hematoxylin and mounted with DPX.
product information
SKU :
HA750663
Target name :
Lipoamide Dehydrogenase
Species reactivity :
Human,Mouse
Applications :
WB,IHC-P,IF-Cell
Conjugate :
Non-conjugated
Immunogen :
Recombinant protein within human Lipoamide Dehydrogenase 21-509 / 509.
Uniprot id :
P09622>SwissProt: P09622 Human;SwissProt: O08749 Mouse
Host :
Rabbit
Clone number :
PSH0-83
Isotype :
IgG
Size :
100μl
List Price :
649.00 USD
Storage Buffer :
PBS (pH7.4).
Form :
Liquid
Storage Instruction :
Store at +4℃ after thawing. Aliquot store at -20℃. Avoid repeated freeze / thaw cycles.
Purity :
Protein A affinity purified.
Product type :
Recombinant Rabbit monoclonal Antibody
Positive control :
Jurkat cell lysate, HeLa cell lysate, 293T cell lysate, MCF7 cell lysate, K-562 cell lysate, SK-Br-3 cell lysate, U-937 cell lysate, HepG2 cell lysate, NIH/3T3 cell lysate, mouse liver tissue lysate, human colon tissue, human colon carcinoma tissue, HeLa.
Molecular wt :
Predicted band size: 54 kDa
Subcellular location :
Mitochondrion matrix, Nucleus, Cell projection, cilium, flagellum, Cytoplasmic vesicle, secretory vesicle, acrosome.
Concentration :
1 mg/mL.
Recommended dilutions :
WB: 1:1,000
;IHC-P: 1:5,000
;IF-Cell: 1:200
Pic img4 :
https://storage.huabio.cn/huabio/productImg/HA750663_4.jpg
Pic legend4 :
Immunocytochemistry analysis of HeLa cells labeling Lipoamide Dehydrogenase with Rabbit anti-Lipoamide Dehydrogenase antibody (HA750663) at 1/200 dilution.
Cells were fixed in 100% precooled methanol for 5 minutes at room temperature, then blocked with 1% BSA in 10% negative goat serum for 1 hour at room temperature. Cells were then incubated with Rabbit anti-Lipoamide Dehydrogenase antibody (HA750663) at 1/200 dilution in 1% BSA in PBST overnight at 4 ℃. Goat Anti-Rabbit IgG H&L (iFluor™ 488, HA1121) was used as the secondary antibody at 1/1,000 dilution. PBS instead of the primary antibody was used as the secondary antibody only control. Nuclear DNA was labelled in blue with DAPI.
more info or order :
company information

HUABIO
Founded in 2007, HUABIO is dedicated to developing high-quality antibodies that advance innovation. We are passionate about the accuracy, efficiency, and consistency of our products. That is why we have invested in new production platforms, like recombinant rabbit monoclonals, alpaca nanobodies, and adopted aggressive QA standards to deliver cutting-edge antibodies with uncompromised quality.
We hope to see you at your next discovery!
We hope to see you at your next discovery!
related products
browse more products
questions and comments
