product summary
Loading...
company name :
HUABIO
product type :
antibody
product name :
CRBN
catalog :
HA750646
quantity :
100μl
price :
649.00 USD
clonality :
monoclonal
host :
domestic rabbit
conjugate :
nonconjugated
clone name :
PSH0-69
reactivity :
human, mouse, rat
application :
western blot, immunoprecipitation, immunohistochemistry - paraffin section
more info or order :
image
image 1 :

Western blot analysis of CRBN on different lysates with Rabbit anti-CRBN antibody (HA750646) at 1/1,000 dilution.
Lane 1: HEK-293 cell lysate
Lane 2: A375 cell lysate
Lane 3: A549 cell lysate
Lane 4: HeLa cell lysate
Lane 5: SH-SY5Y cell lysate
Lane 6: NIH/3T3 cell lysate
Lane 7: MCF7 cell lysate
Lane 8: Mouse brain tissue lysate
Lane 9: Rat testis tissue lysate
Lysates/proteins at 20 µg/Lane.
Predicted band size: 51 kDa
Observed band size: 51 kDa
Exposure time: 40 seconds;
4-20% SDS-PAGE gel.
Proteins were transferred to a PVDF membrane and blocked with 5% NFDM/TBST for 1 hour at room temperature. The primary antibody (HA750646) at 1/1,000 dilution was used in 5% NFDM/TBST at room temperature for 2 hours. Goat Anti-Rabbit IgG - HRP Secondary Antibody (HA1001) at 1:100,000 dilution was used for 1 hour at room temperature.
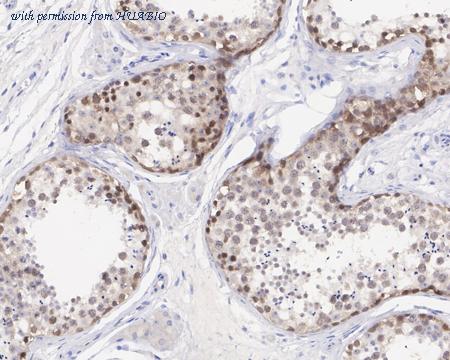
image 2 :

Immunohistochemical analysis of paraffin-embedded human testis tissue with Rabbit anti-CRBN antibody (HA750646) at 1/200 dilution.
The section was pre-treated using heat mediated antigen retrieval with sodium citrate buffer (pH 6.0) (high pressure) for 2 minutes. The tissues were blocked in 1% BSA for 20 minutes at room temperature, washed with ddH2O and PBS, and then probed with the primary antibody (HA750646) at 1/200 dilution for 1 hour at room temperature. The detection was performed using an HRP conjugated compact polymer system. DAB was used as the chromogen. Tissues were counterstained with hematoxylin and mounted with DPX.
image 3 :

Immunohistochemical analysis of paraffin-embedded human brain tissue with Rabbit anti-CRBN antibody (HA750646) at 1/200 dilution.
The section was pre-treated using heat mediated antigen retrieval with sodium citrate buffer (pH 6.0) (high pressure) for 2 minutes. The tissues were blocked in 1% BSA for 20 minutes at room temperature, washed with ddH2O and PBS, and then probed with the primary antibody (HA750646) at 1/200 dilution for 1 hour at room temperature. The detection was performed using an HRP conjugated compact polymer system. DAB was used as the chromogen. Tissues were counterstained with hematoxylin and mounted with DPX.
product information
SKU :
HA750646
Target name :
CRBN
Species reactivity :
Human,Mouse,Rat
Applications :
WB,IHC-P,IP
Conjugate :
Non-conjugated
Immunogen :
Recombinant protein within human CRBN aa 1-442 / 442.
Uniprot id :
Q96SW2>SwissProt: Q96SW2 Human;SwissProt: Q8C7D2 Mouse;SwissProt: Q56AP7 Rat
Host :
Rabbit
Clone number :
PSH0-69
Isotype :
IgG
Size :
100μl
List Price :
649.00 USD
Storage Buffer :
PBS (pH7.4).
Form :
Liquid
Storage Instruction :
Store at +4℃ after thawing. Aliquot store at -20℃. Avoid repeated freeze / thaw cycles.
Purity :
Protein A affinity purified.
Product type :
Recombinant Rabbit monoclonal Antibody
Positive control :
HEK-293 cell lysate, A375 cell lysate, A549 cell lysate, HeLa cell lysate, SH-SY5Y cell lysate, NIH/3T3 cell lysate, MCF7 cell lysate, mouse brain tissue lysate, rat testis tissue lysate, human testis tissue, human brain tissue.
Molecular wt :
Predicted band size: 51 kDa
Subcellular location :
Cytoplasm, Nucleus, Membrane.
Concentration :
1 mg/mL.
Recommended dilutions :
WB: 1:1,000
;IHC-P: 1:200
;IP: 1-2μg/sample
Advanced Validation :
Knockdown (KD)
Pic img4 :
https://storage.huabio.cn/huabio/productImg/HA750646_4.jpg
Pic legend4 :
Western blot analysis of CRBN on different lysates with Rabbit anti-CRBN antibody (HA750646) at 1/1,000 dilution.
Lane 1: HeLa-si NT cell lysate
Lane 2: HeLa-si CRBN cell lysate
Lysates/proteins at 10 µg/Lane.
Predicted band size: 51 kDa
Observed band size: 51 kDa
Exposure time: 2 minutes;
4-20% SDS-PAGE gel.
Proteins were transferred to a PVDF membrane and blocked with 5% NFDM/TBST for 1 hour at room temperature. The primary antibody (HA750646) at 1/1,000 dilution was used in 5% NFDM/TBST at 4℃ overnight. Goat Anti-Rabbit IgG - HRP Secondary Antibody (HA1001) at 1/50,000 dilution was used for 1 hour at room temperature.
Pic img5 :
https://storage.huabio.cn/huabio/productImg/HA750646_5.jpg
Pic legend5 :
CRBN was immunoprecipitated in 0.2mg HeLa cell lysate with HA750646 at 2 µg/10 µl beads. Western blot was performed from the immunoprecipitate using HA750646 at 1/1,000 dilution. Anti-Rabbit IgG for IP Nano-secondary antibody (NBI01H) at 1/5,000 dilution was used for 1 hour at room temperature.
Lane 1: HeLa cell lysate (input)
Lane 2: HA750646 IP in HeLa cell lysate
Lane 3: Rabbit IgG instead of HA750646 in HeLa cell lysate
Blocking/Dilution buffer: 5% NFDM/TBST
Exposure time: 1 minute 10 seconds; ECL: K1802
more info or order :
company information

HUABIO
Founded in 2007, HUABIO is dedicated to developing high-quality antibodies that advance innovation. We are passionate about the accuracy, efficiency, and consistency of our products. That is why we have invested in new production platforms, like recombinant rabbit monoclonals, alpaca nanobodies, and adopted aggressive QA standards to deliver cutting-edge antibodies with uncompromised quality.
We hope to see you at your next discovery!
We hope to see you at your next discovery!
related products
browse more products
questions and comments
