product summary
Loading...
company name :
HUABIO
product type :
antibody
product name :
MALT1
catalog :
HA750563
quantity :
100μl
price :
649.00 USD
clonality :
monoclonal
host :
domestic rabbit
conjugate :
nonconjugated
clone name :
PSH02-31
reactivity :
human, mouse, rat
application :
western blot, immunohistochemistry - paraffin section
more info or order :
image
image 1 :

Western blot analysis of MALT1 on different lysates with Rabbit anti-MALT1 antibody (HA750563) at 1/5,000 dilution and competitor's antibody at 1/1,000 dilution.
Lane 1: HCT 116 cell lysate (15 µg/Lane)
Lane 2: HeLa cell lysate (15 µg/Lane)
Lane 3: Ramos cell lysate (15 µg/Lane)
Lane 4: Daudi cell lysate (15 µg/Lane)
Lane 5: K-562 cell lysate (15 µg/Lane)
Lane 6: Mouse thymus tissue lysate (30 µg/Lane)
Lane 7: Rat thymus tissue lysate (30 µg/Lane)
Predicted band size: 92 kDa
Observed band size: 92 kDa
Exposure time: 2 minutes 6 seconds; ECL: K1801;
4-20% SDS-PAGE gel.
Proteins were transferred to a PVDF membrane and blocked with 5% NFDM/TBST for 1 hour at room temperature. The primary antibody (HA750563) at 1/5,000 dilution and competitor's antibody at 1/1,000 dilution were used in 5% NFDM/TBST at 4℃ overnight. Goat Anti-Rabbit IgG - HRP Secondary Antibody (HA1001) at 1/50,000 dilution was used for 1 hour at room temperature.
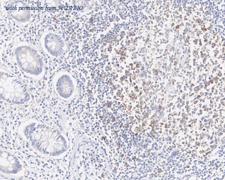
image 2 :

Immunohistochemical analysis of paraffin-embedded human colon tissue with Rabbit anti-MALT1 antibody (HA750563) at 1/200 dilution.
The section was pre-treated using heat mediated antigen retrieval with Tris-EDTA buffer (pH 9.0) for 20 minutes. The tissues were blocked in 1% BSA for 20 minutes at room temperature, washed with ddH2O and PBS, and then probed with the primary antibody (HA750563) at 1/200 dilution for 1 hour at room temperature. The detection was performed using an HRP conjugated compact polymer system. DAB was used as the chromogen. Tissues were counterstained with hematoxylin and mounted with DPX.
image 3 :

Western blot analysis of MALT1 on different lysates with Rabbit anti-MALT1 antibody (HA750563) at 1/1,000 dilution.
Lane 1: HCT 116 cell lysate (20 µg/Lane)
Lane 2: HeLa cell lysate (20 µg/Lane)
Lane 3: Ramos cell lysate (20 µg/Lane)
Lane 4: K-562 cell lysate (20 µg/Lane)
Lane 5: Jurkat cell lysate (20 µg/Lane)
Lane 6: HepG2 cell lysate (20 µg/Lane)
Lane 7: 786-0 cell lysate (20 µg/Lane)
Lane 8: LNCaP cell lysate (20 µg/Lane)
Lane 9: PC-3M cell lysate (20 µg/Lane)
Lane 10: Mouse lymph node tissue lysate (no heat) (40 µg/Lane)
Lane 11: Mouse thymus tissue lysate (40 µg/Lane)
Lane 12: Rat thymus tissue lysate (40 µg/Lane)
Notice: no heat means the lysate is not boiled.
Predicted band size: 92 kDa
Observed band size: 92 kDa
Exposure time: 37 seconds; ECL: K1802;
4-20% SDS-PAGE gel.
Proteins were transferred to a PVDF membrane and blocked with 5% NFDM/TBST for 1 hour at room temperature. The primary antibody (HA750563) at 1/1,000 dilution was used in 5% NFDM/TBST at 4℃ overnight. Goat Anti-Rabbit IgG - HRP Secondary Antibody (HA1001) at 1/50,000 dilution was used for 1 hour at room temperature.
product information
SKU :
HA750563
Target name :
MALT1
Species reactivity :
Human,Mouse,Rat
Applications :
WB,IHC-P
Conjugate :
Non-conjugated
Immunogen :
Recombinant protein within Human MALT1 aa 1-400 / 824 (Q9UDY8).
Uniprot id :
Q9UDY8>SwissProt: Q9UDY8 Human;SwissProt: Q2TBA3 Mouse;Entrez Gene: 307366 Rat
Host :
Rabbit
Clone number :
PSH02-31
Isotype :
IgG
Size :
100μl
List Price :
649.00 USD
Storage Buffer :
PBS (pH7.4).
Form :
Liquid
Storage Instruction :
Store at +4℃ after thawing. Aliquot store at -20℃. Avoid repeated freeze / thaw cycles.
Purity :
Protein A affinity purified.
Product type :
Recombinant Rabbit monoclonal Antibody
Positive control :
HCT 116 cell lysate, HeLa cell lysate, Ramos cell lysate, Daudi cell lysate, K-562 cell lysate, Mouse thymus tissue lysate, Rat thymus tissue lysate, human colon tissue, Jurkat cell lysate, HepG2 cell lysate, 786-0 cell lysate, LNCaP cell lysate, PC-3M cell lysate, Mouse lymph node tissue lysate, human colon cancer tissue.
Molecular wt :
Predicted band size: 92 kDa
Subcellular location :
Cytoplasm, perinuclear region, Nucleus
Concentration :
1 mg/mL.
Recommended dilutions :
WB: 1:1,000-1:5,000
;IHC-P: 1:200
Advanced Validation :
Knockdown (KD)
Pic img4 :
https://storage.huabio.cn/huabio/productImg/HA750563_4.jpg
Pic legend4 :
Immunohistochemical analysis of paraffin-embedded human colon cancer tissue with Rabbit anti-MALT1 antibody (HA750563) at 1/200 dilution.
The section was pre-treated using heat mediated antigen retrieval with Tris-EDTA buffer (pH 9.0) for 20 minutes. The tissues were blocked in 1% BSA for 20 minutes at room temperature, washed with ddH2O and PBS, and then probed with the primary antibody (HA750563) at 1/200 dilution for 1 hour at room temperature. The detection was performed using an HRP conjugated compact polymer system. DAB was used as the chromogen. Tissues were counterstained with hematoxylin and mounted with DPX.
Pic img5 :
https://storage.huabio.cn/huabio/productImg/HA750563_5.jpg
Pic legend5 :
Western blot analysis of MALT1 on different lysates with Rabbit anti-MALT1 antibody (HA750563) at 1/5,000 dilution.
Lane 1: HeLa-si NT cell lysate
Lane 2: HeLa-si MALT1 cell lysate
Lysates/proteins at 10 µg/Lane.
Predicted band size: 92 kDa
Observed band size: 92 kDa
Exposure time: 11 seconds; ECL: K1801;
4-20% SDS-PAGE gel.
Proteins were transferred to a PVDF membrane and blocked with 5% NFDM/TBST for 1 hour at room temperature. The primary antibody (HA750563) at 1/5,000 dilution was used in 5% NFDM/TBST at 4℃ overnight. Goat Anti-Rabbit IgG - HRP Secondary Antibody (HA1001) at 1/50,000 dilution was used for 1 hour at room temperature.
more info or order :
company information

HUABIO
Founded in 2007, HUABIO is dedicated to developing high-quality antibodies that advance innovation. We are passionate about the accuracy, efficiency, and consistency of our products. That is why we have invested in new production platforms, like recombinant rabbit monoclonals, alpaca nanobodies, and adopted aggressive QA standards to deliver cutting-edge antibodies with uncompromised quality.
We hope to see you at your next discovery!
We hope to see you at your next discovery!
related products
browse more products
questions and comments
